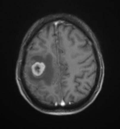
M. Roulleaux Dugage, La Revue du Praticien Lésion en cocarde frontale droite. Extrait de : Dossier progressif n°179