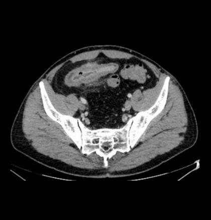
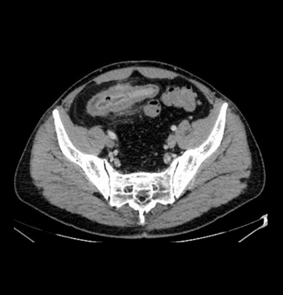
Iléite terminale avec hyperhémie muqueuse, épaississement des parois iléales, diminution de la lumière iléale et infiltration de la graisse adjacente.