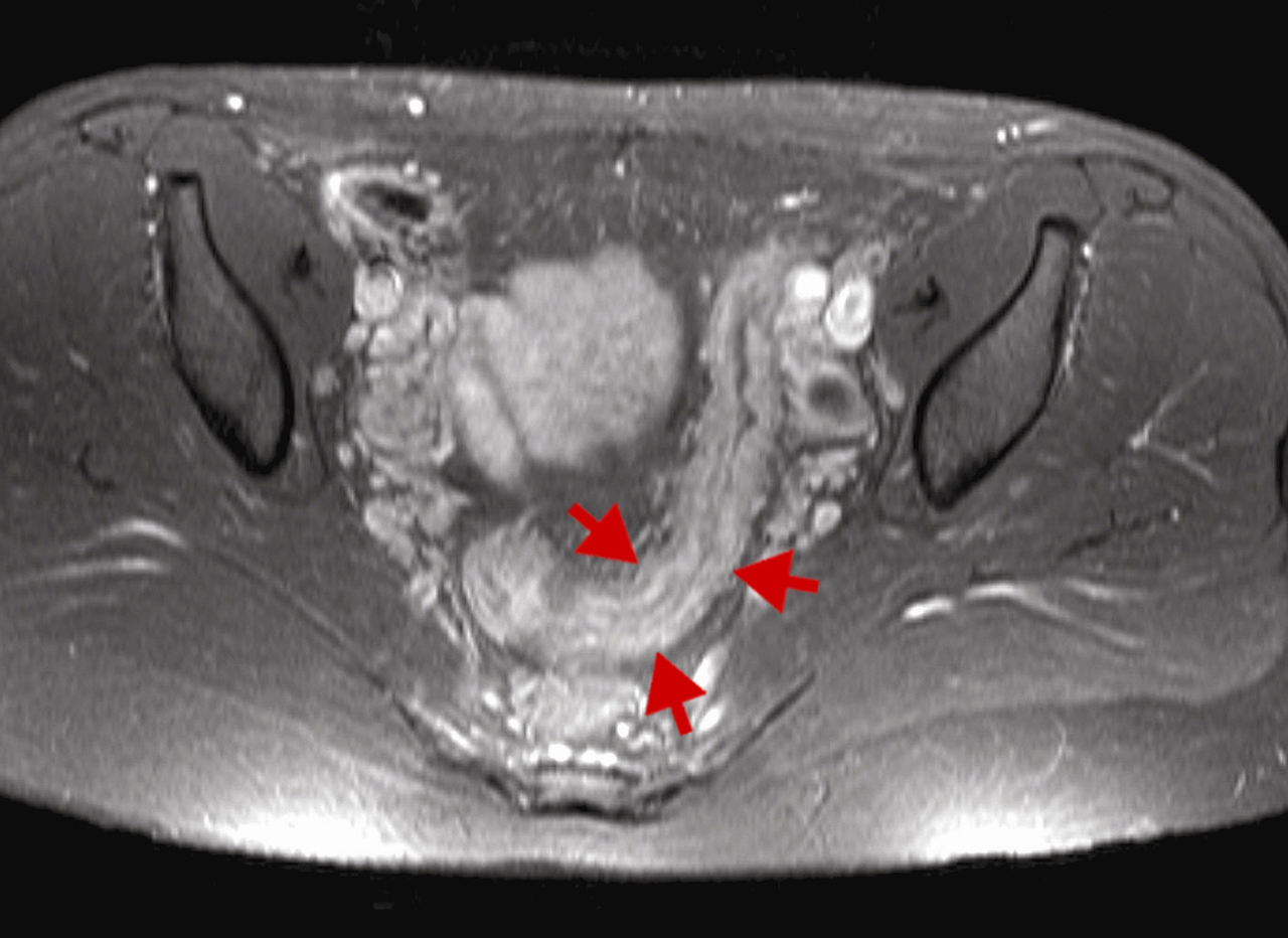
IRM en séquence pondérée T1 avec injection de gadolinium et saturation de graisses revelant un épaississement inflammatoire du sigmoïde (flèches rouges).