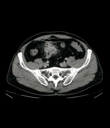
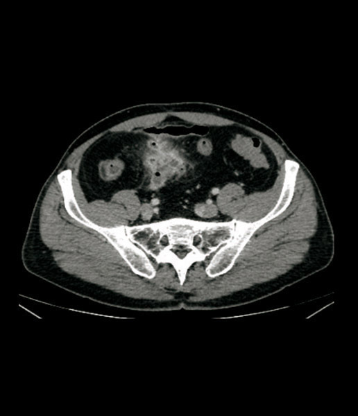
Aspect de collection hydro-aérique au contact de l’iléon correspondant à un abcès, avec hyperhémie du méso (signe du peigne).