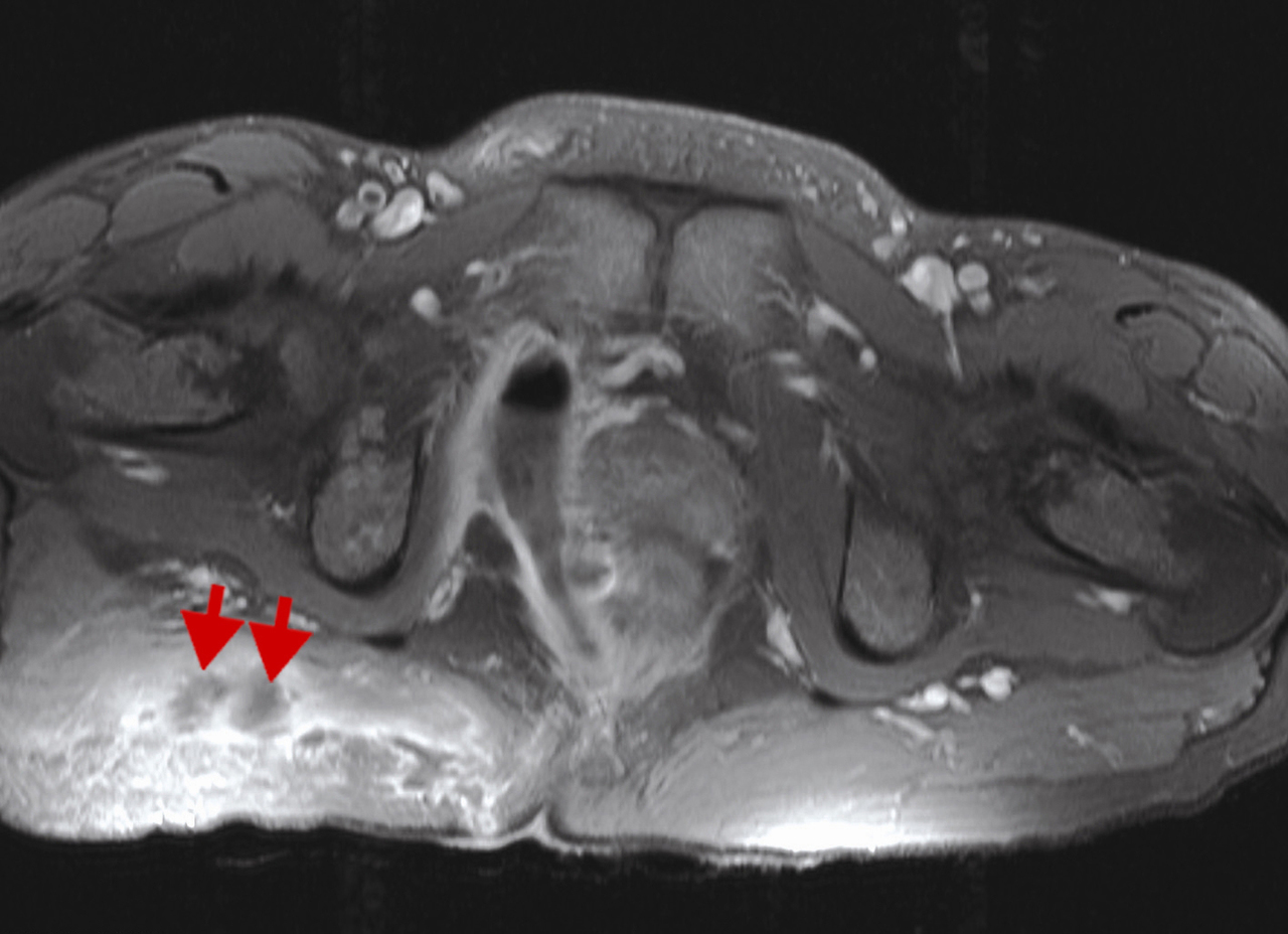
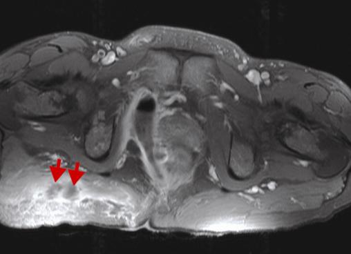
Atteine périnéale sévère avec trajets fistuleux multiples (flèches rouges) au niveau fessier. IRM en séquence T1 avec injection de gadolinium et saturation de graisses.