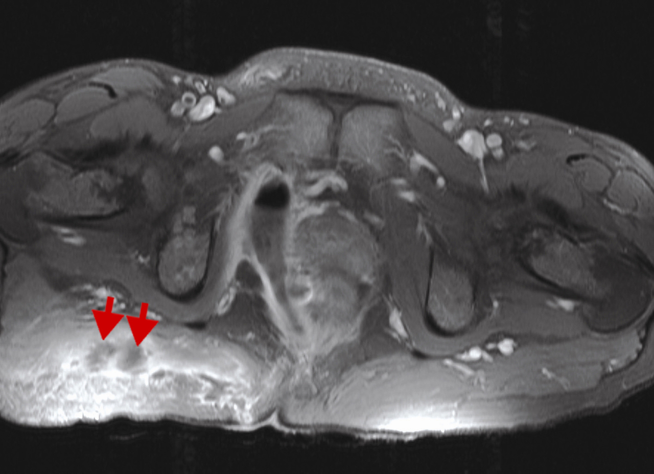
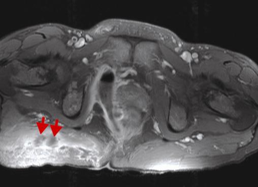
Atteine périnéale sévère avec abcès de la fosse iliaque droite (étoile jaune) et trajets fistuleux multiples (flèches rouges) au niveau fessier. IRM en séquence T1 avec injection de gadolinium et saturation de graisses.