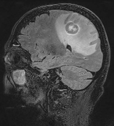
Le lymphome primitif du système nerveux central (SNC) est un lymphome non hodgkinien de haut grade.Il touche l’adulte entre 50 et 60 ans, immunodéprimé et immunocompétent.Le traitement associe chimiothérapie et radiothérapie cérébrale.
Lire aussi
Exercice
Exercice
Exercice
Exercice
Article
Article Web