Skip to main navigation
Header navigation
Newsletters
Librairie
Plus
Sous menu plus
larevuedupracticien
larevuedupracticien
La rédaction
La rédaction
Indépendance
Indépendance
DPC
DPC
JNMG
JNMG
Annonces
Annonces
E-suppléments
E-suppléments
La Revue du Praticien
Navigation principale
Actualités
Vient de paraître
Tests
Culture
Recherche
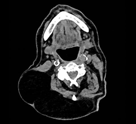
Lipome cervical
Publié le 26 janvier 2024
Fil d'Ariane
Image
Lipome cervical
Le scanner note des images de densité graisseuse (- 100 UH).
Extrait de : Image mystérieuse n°445
Lire aussi
Exercice
Image mystérieuse n°445
Article
Lipome de la cheville