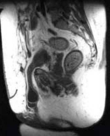
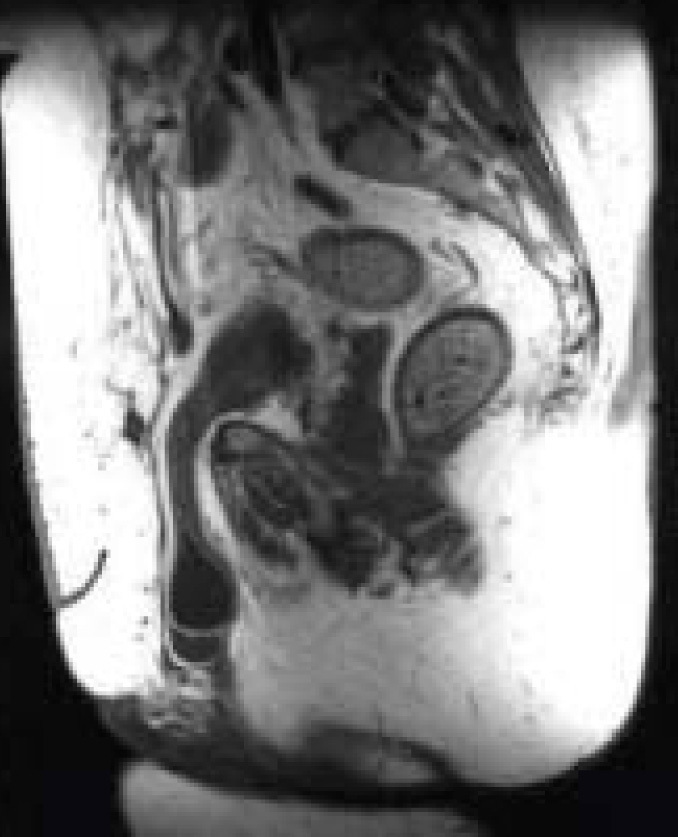
© Serge Rohr, Jean-Philippe Steinmetz, Cécile Brigand, Christian Meyer (La Revue du Praticien)
IRM sagittale. Hernie iguino-scrotale irréductible non étranglée. Voir : Rohr S, Steinmetz JP, Brigand C, Meyer C. Diagnostic et complications des hernies de l'aine. Rev Prat 2003;53(15):1645-50.