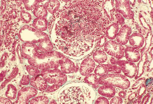
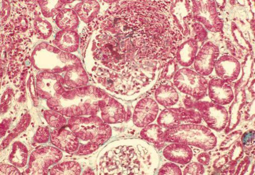
La Revue du Praticien - Christian Jacquot Granulome péri et intraglomérulaire avec nécrose du floculus au cours d’un syndrome de Wegener.