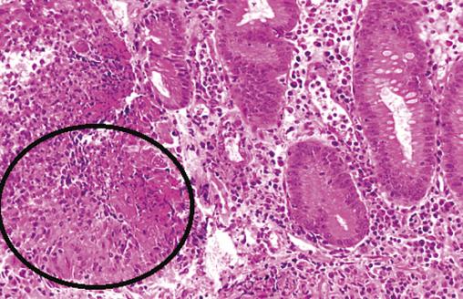
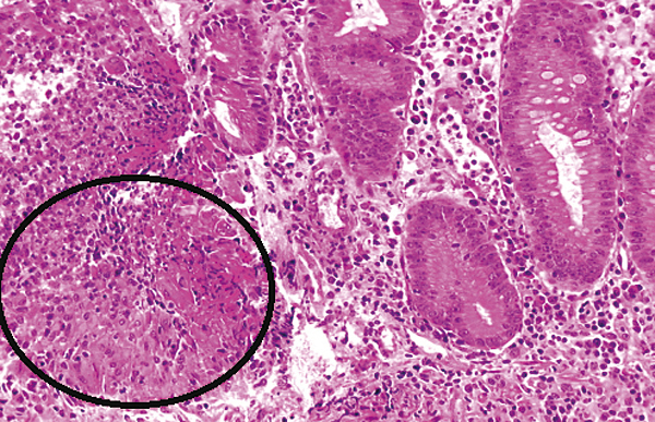
Coll. Pr JF Fléjou, hôpital Saint-Antoine, Paris. Granulome épithélioïde et gigantocellulaire (cercle noir) au cours d'une maladie de Crohn colique.