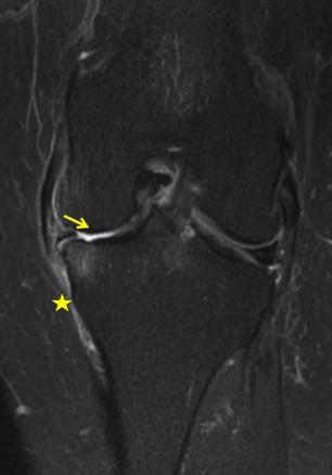
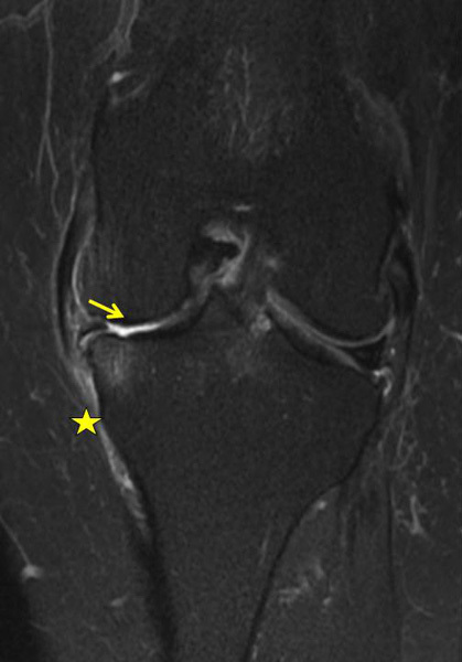
IRM du genou gauche pour une gonalgie gauche interne. Lésions dégénérative et luxation latérale du segment moyen du ménisque interne gauche avec disparition complète du cartilage tibial et condylien interne (flèche jaune. À noter, une ténosynovite des tendons de la patte d’oie (astérisque jaune).
Lire aussi
Article
Article
Exercice
Exercice