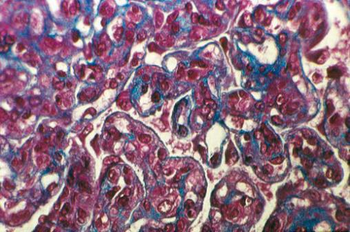
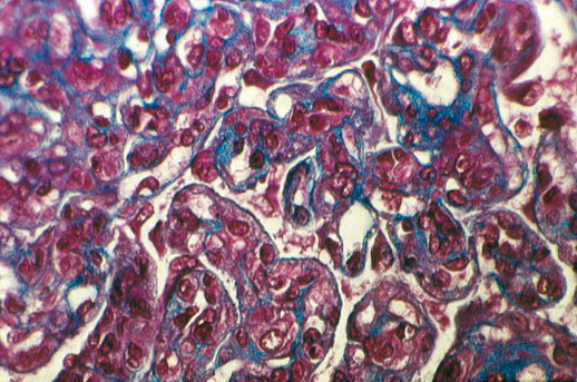
La Revue du Praticien - Christian Jacquot Les anses capillaires sont encombrées des monocytes-macrophages.