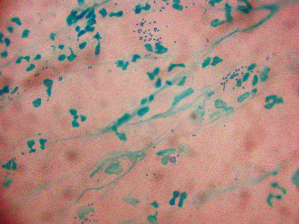
© Collection Tarnier Frottis urétral avec présence de diplocoques intracellulaires très évocateur de gonococcie.