Skip to main navigation
Header navigation
Newsletters
Librairie
Plus
Menu du compte de l'utilisateur
S'abonner
Bookmark page
Sous menu plus
larevuedupracticien
larevuedupracticien
La rédaction
La rédaction
Indépendance
Indépendance
DPC
DPC
JNMG
JNMG
Annonces
Annonces
E-suppléments
E-suppléments
La Revue du Praticien
Navigation principale
Actualités
Vient de paraître
Tests
Culture
Recherche
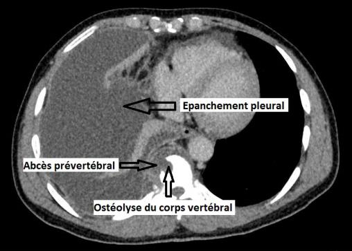
Épanchement pleural droit, ostéolyse vertébrale, abcès prévertébral
Lire plus tard
Partager
Imprimer
Ce contenu est exclusivement réservé aux abonnés
Fil d'Ariane
Image
Épanchement pleural droit, ostéolyse vertébrale, abcès prévertébral
É. Crickx, La Revue du Praticien
Scanner thoracique.
Lire aussi
Exercice
Image mystérieuse n°438
Article
Ostéolyse post-traumatique de la clavicule distale
Article
Abcès de la fesse
Article
Abcès de la marge anale
Article
Abcès de la paupière
Article
Abcès mammaire