Axel, militaire de 48 ans, consulte pour une douleur devenant invalidante de l’articulation acromioclaviculaire droite évoluant depuis plus de six mois avec des exacerbations régulières qui limitent la mobilité de l’épaule. Le patient évalue la douleur à 6/10 lors de ces épisodes.
L’interrogatoire poussé révèle un traumatisme direct de l’épaule droite datant d’il y a environ dix ans, survenu lors d’une mission en Afghanistan.
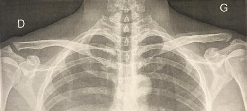
L’examen clinique met en évidence une touche de piano (fig. 1) douloureuse à la palpation et un élargissement visible de l’articulation acromioclaviculaire, sans limitation des amplitudes articulaires.

L’ostéolyse post-traumatique de la clavicule distale (OPTCD) est une pathologie ostéo-articulaire caractérisée par une douleur de l’articulation acromioclaviculaire évoluant sur plusieurs mois.
Deux causes sont à distinguer :
– la forme atraumatique, consécutive à de multiples microtraumatismes, survient essentiellement chez les sportifs pratiquant la musculation, les haltérophiles et les travailleurs manuels. L’anamnèse recense fréquemment une douleur insomniante de l’épaule atteinte, au décours des séances d’entraînement ;1
– la forme post-traumatique est évoquée devant des douleurs persistantes durant plusieurs mois, à la suite d’une disjonction acromioclaviculaire ; sa prévalence est estimée entre 6 et 12 %.2
La physiopathologie de l’OPTCD reste controversée à ce jour ; la théorie la plus communément admise repose sur la survenue d’une ostéolyse secondaire à des microfractures de l’os sous-chondral de l’extrémité distale de la clavicule.3
L’examen clinique révèle une articulation tuméfiée (fig. 1), une douleur à la palpation et à la manœuvre du cross arm (ou test d’adduction forcée). Selon le degré d’ostéolyse, la mobilité de l’épaule peut être limitée.4
Une radiographie comparative centrée sur les articulations acromioclaviculaires est l’examen de première intention en cas de suspicion clinique d’OPTCD (fig. 2). Elle révèle une résorption de l’os sous-chondral de l’extrémité distale de la clavicule, plus rarement de l’acromion. Dans les formes évoluées, il est possible d’observer une véritable ostéolyse de plusieurs centimètres responsable d’un élargissement de l’interligne.
Cependant, du fait d’un retard d’apparition des lésions, jusqu’à 50 % de patients atteints d’OPTCD ont une radiographie normale au stade initial. L’IRM étant plus sensible au stade précoce, elle doit compléter une radiographie normale. Elle peut permettre d’objectiver une fracture sous-chondrale, pathognomonique, et des signes indirects d’atteinte tels qu’un épanchement acromioclaviculaire ou une tuméfaction des parties molles.5
La prise en charge ne fait pas consensus, mais le traitement de première intention reste conservateur.4 Le traitement médicamenteux consiste, dans un premier temps, en une cure courte d’anti-inflammatoire non stéroïdien. En cas d’échec, une infiltration de corticoïdes est indiquée. La suppression des gestes répétitifs en cause (liés à la pratique sportive ou professionnelle) est indispensable, ainsi qu’une ré­éducation progressive, infradouloureuse et individualisée en fonction du stade lésionnel.6
L’indication chirurgicale est retenue devant l’échec d’un traitement conservateur bien mené pendant plusieurs mois. Les patients principalement concernés sont ceux dans l’impossibilité de supprimer les gestes nocifs liés à l’activité sportive ou professionnelle. La résection du quart externe de la clavicule par abord arthroscopique ou à ciel ouvert a démontré son efficacité sur la douleur et permet un retour au niveau d’activité antérieur.4

Références

1. Haupt HA. Upper extremity injuries associated with strength training. Clin Sports Med 2001;20(3):481‑90.
2. Yu JS, Dardani M, Fischer RA. MR observations of postraumatic osteolysis of the distal clavicle after traumatic separation of the acromioclavicular joint. J Comput Assist Tomogr 2000;24(1):159‑64.
3. Cahill BR. Osteolysis of the distal part of the clavicle in male athletes. J Bone Joint Surg Am 1982;64(7):1053‑8.
4. Schwarzkopf R, Ishak C, Elman M, et al. Distal clavicular osteolysis: a review of the literature. Bull NYU Hosp Jt Dis 2008;66(2):94‑101.
5. Le Moigne F, Lamboley JL, de Charry C, et al. Ostéolyse post-traumatique de la clavicule distale. Feuill Radiol 2012;52(1):52‑3.
6. Abdelkader N, deGraauw C. Detailed management of post-traumatic distal clavicle osteolysis in a 24-year-old female: a case report. J Can Chiropr Assoc 2021;65(3):360‑7.

Une question, un commentaire ?