Skip to main navigation
Header navigation
Newsletters
Librairie
Plus
Sous menu plus
larevuedupracticien
larevuedupracticien
La rédaction
La rédaction
Indépendance
Indépendance
DPC
DPC
JNMG
JNMG
Annonces
Annonces
E-suppléments
E-suppléments
La Revue du Praticien
Navigation principale
Actualités
Vient de paraître
Tests
Culture
Recherche
Dilatation des voies biliaires
Fil d'Ariane
Image
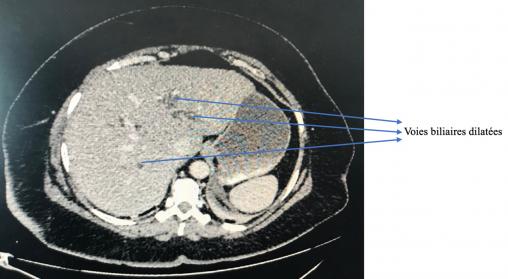
Dilatation des voies biliaires
PACS CHSD, La Revue du Praticien
Foie homogène avec voies biliaires trop bien visibles.
Lire aussi
Article
Des ascaris dans les voies biliaires