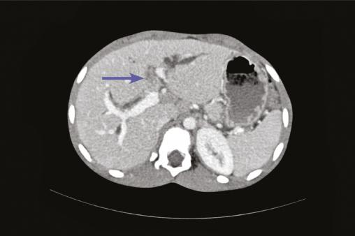
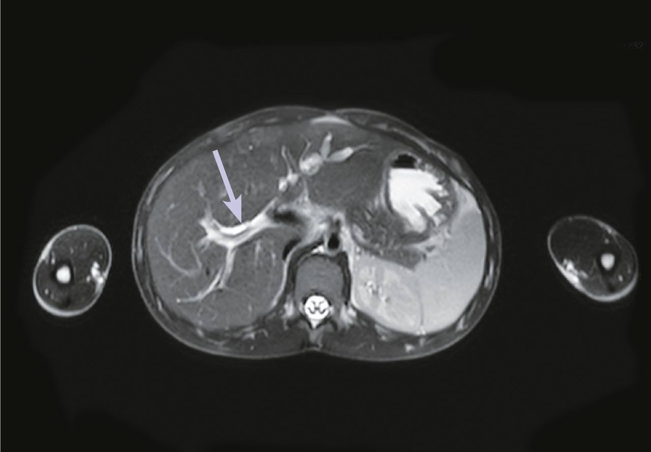
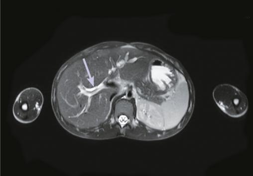
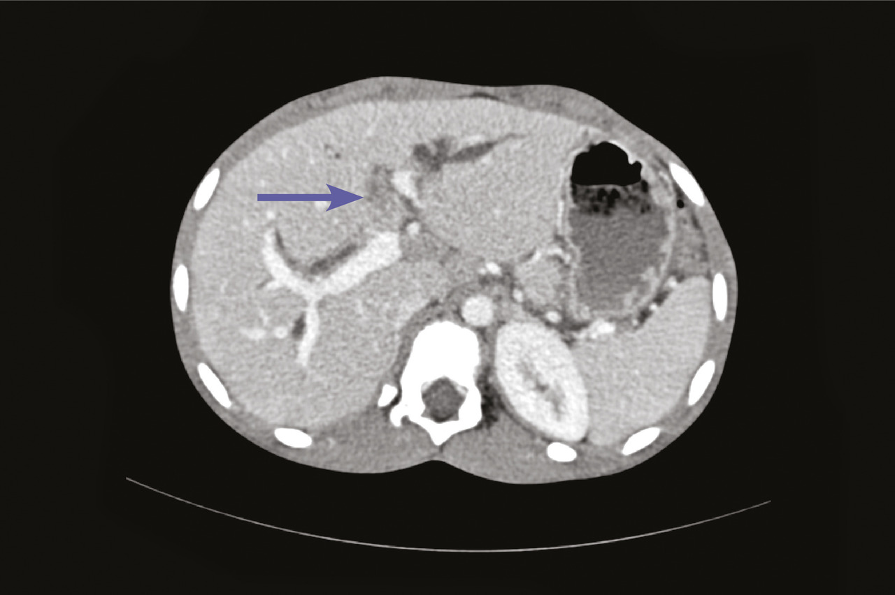
Ce garçon de 16 ans consultait pour des douleurs abdominales et des vomissements. En outre, il décrivait l’élimination de grands vers avec les selles. À l’examen clinique, il était légèrement dénutri. L’hémogramme montrait une hyperéosinophilie à 616/mm3. La tomodensitométrie abdominale montrait une image hyperdense au sein d’une dilatation des voies biliaires intrahépatiques (fig. 1 ). L’imagerie par résonance magnétique hépatique montrait un ascaris en hyposignal linéaire dans les voies biliaires intrahépatiques (fig. 2 ). Le patient était traité avec succès par albendazole.
L’ascaris est un nématode intestinal extrêmement fréquent en zones tropicales. Dans les régions d’endémie, les ascaris sont responsables de 36 % des affections biliaires, de 23 % des pancréatites aiguës et de 14 % des abcès du foie,1 dans lesquels on trouve parfois des ascaris vivants.2 Malgré le caractère étroit et sinueux des voies biliaires, les ascaris s’y insinuent, simulant une lithiase biliaire.3 Bien qu’il s’agisse d’une localisation assez rare des ascaris, il faut néanmoins savoir y penser en zone d’endémie devant un sujet ayant des douleurs abdominales avec des nausées, vomissements et un ictère. Le diagnostic est évoqué devant des images linéaires et mobiles à l’imagerie médicale ; l’examen parasitologique des selles confirme la présence du parasite. Le traitement par l’albendazole est souvent efficace, la cholécystectomie étant nécessaire en cas d’échec du traitement médical.
Références
1. Khuroo MS, Rather AA, Khuroo NS, et al. Hepatobiliary and pancreatic ascariasis. World J Gastroenterol 2016;22:7507-17.
2. Javid G, Wani NA, Gutzar GM et al. Ascaris-induced liver abcess. World J Surg 1999;23:1191-4.
3. Ismaili-Jaha V, Toro H, Spahiu L, et al. Gallbladder ascariasis in Kosovo ; focus on ultrasound and conservative therapy : a case series. J Med Case Rep 2018;12:8.
2. Javid G, Wani NA, Gutzar GM et al. Ascaris-induced liver abcess. World J Surg 1999;23:1191-4.
3. Ismaili-Jaha V, Toro H, Spahiu L, et al. Gallbladder ascariasis in Kosovo ; focus on ultrasound and conservative therapy : a case series. J Med Case Rep 2018;12:8.
Une question, un commentaire ?