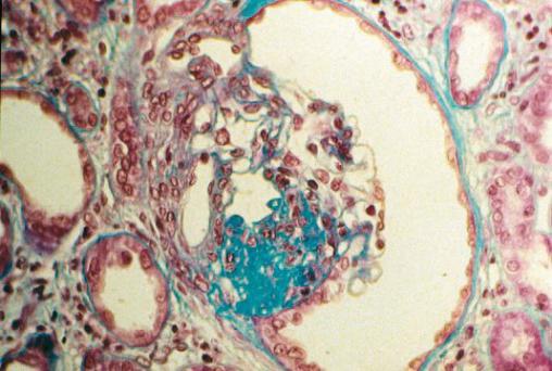
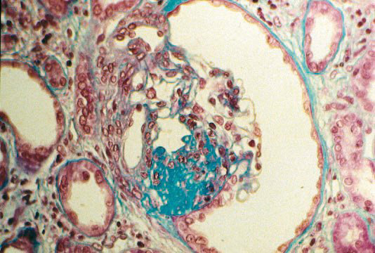
Dans de rares cas de lésions de hyalinose segmentaire et focale, la totalité du floculus est intéressée. Le floculus se rétracte alors sur son pôle vasculaire réalisant un « collapsing glomerulopathy » observée principalement chez les noirs infectés par le VIH.
Lire aussi
Exercice
Article
Article