Skip to main navigation
Header navigation
Newsletters
Librairie
Plus
Menu du compte de l'utilisateur
S'abonner
Bookmark page
Sous menu plus
larevuedupracticien
larevuedupracticien
La rédaction
La rédaction
Indépendance
Indépendance
DPC
DPC
JNMG
JNMG
Annonces
Annonces
E-suppléments
E-suppléments
La Revue du Praticien
Navigation principale
Actualités
Vient de paraître
Tests
Culture
Recherche
Cellulite cervico-médiastinale avec abcès rétro-sternal
Lire plus tard
Partager
Imprimer
Ce contenu est exclusivement réservé aux abonnés
Fil d'Ariane
Image
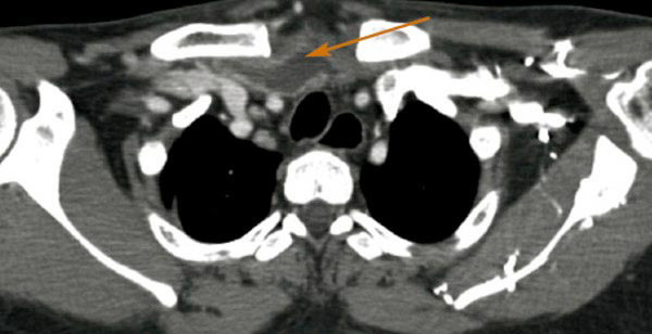
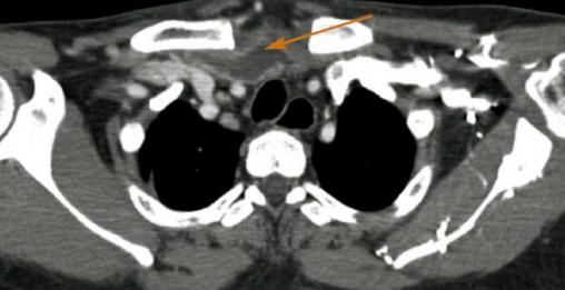
Cellulite cervico-médiastinale avec abcès rétro-sternal
Scanner en coupe axiale d'un patient présentant un abcès latéropharyngé droit.
Lire aussi
Article Web
Angines compliquées : conduite à tenir
Article
Angine à fausses membranes
Article
Pas d’AINS dans l’angine !
Article
Complications des angines