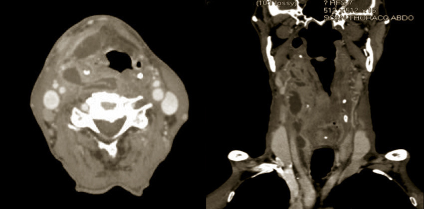
TDM cervicale avec injection de produit de contraste montrant les collections cervicales droites (hypodensité centrale entourée d'une hyperdensité périphérique).