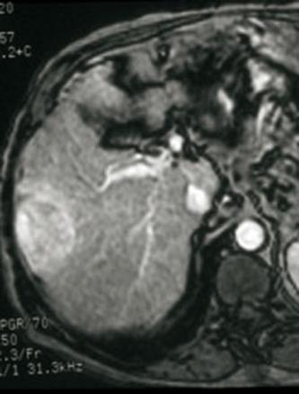
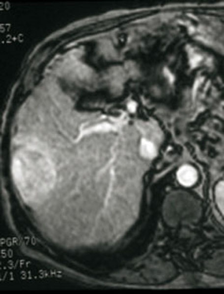
La Revue du Praticien - Eric Assenat Aspect caractéristique IRM triphasique (sans injection, temps artériel = tumeur hypervasculaire, temps portal - wash out).