Skip to main navigation
Header navigation
Newsletters
Librairie
Plus
Menu du compte de l'utilisateur
S'abonner
Bookmark page
Sous menu plus
larevuedupracticien
larevuedupracticien
La rédaction
La rédaction
Indépendance
Indépendance
DPC
DPC
JNMG
JNMG
Annonces
Annonces
E-suppléments
E-suppléments
La Revue du Praticien
Navigation principale
Actualités
Vient de paraître
Tests
Culture
Recherche
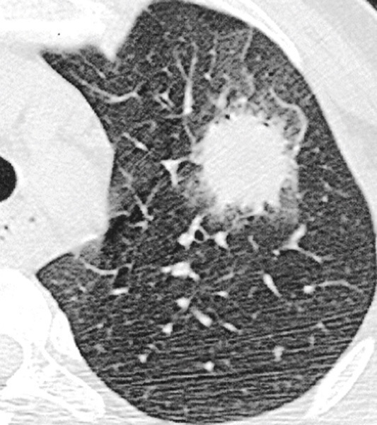
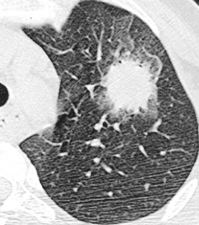
Aspergillose pulmonaire invasive
Lire plus tard
Partager
Imprimer
Ce contenu est exclusivement réservé aux abonnés
Fil d'Ariane
Image
Aspergillose pulmonaire invasive
©La Revue du Praticien
TDM thoracique. Atteinte pulmonaire de l'aspergillose.
Lire aussi
Article
Prise en charge des formes graves de Covid-19 en réanimation
Exercice
Dossier progressif n°70
Article
Pneumonie du sujet âgé : prévenir les complications
Exercice
67 ans, expectorations purulentes et dyspnée (item 151)
Exercice
Dossier progressif n°62