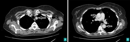
É. Crickx, La Revue du Praticien Scanner thoracique avec injection, montrant une vascularite de l’aorte et de ses branches.