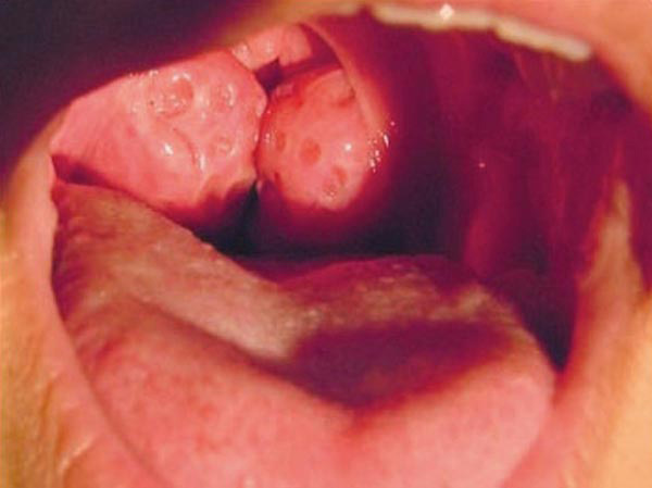
L’amygdale en elle-même est une formation lymphoïde appartenant à l’anneau de Waldeyer. Contrairement aux végétations adénoïdes, elle est présente dès la naissance, de consistance plus ferme, limitée en dehors par une capsule et parsemée de cavités encore appelées cryptes. Entre la capsule et le fascia pharyngo-basilaire, il existe un espace décollable appelé espace péri-amygdalien impliqué dans les complications des angines.
Lire aussi
Article Web
Article
Article
Article