Skip to main navigation
Header navigation
Newsletters
Librairie
Plus
Menu du compte de l'utilisateur
S'abonner
Bookmark page
Sous menu plus
larevuedupracticien
larevuedupracticien
La rédaction
La rédaction
Indépendance
Indépendance
DPC
DPC
JNMG
JNMG
Annonces
Annonces
E-suppléments
E-suppléments
La Revue du Praticien
Navigation principale
Actualités
Vient de paraître
Tests
Culture
Recherche
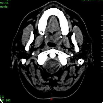
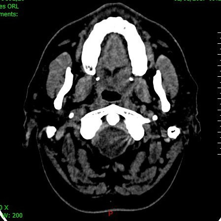
Adénocarcinome polymorphe de bas grade
Lire plus tard
Partager
Imprimer
Ce contenu est exclusivement réservé aux abonnés
Fil d'Ariane
Image
Adénocarcinome polymorphe de bas grade
Collection P. Frances
Lire aussi
Article
Thrombose veineuse jugulaire interne et adénocarcinome œsophagien
Article Web
Tumeurs du pancréas : reconnaître les signes initiaux
Article
Lésion précancéreuse et cancer de la cavité orale
Exercice
Dossier progressif n°184
Article
Traitement chirurgical de l’adénocarcinome du pancréas
Exercice
Dossier progressif n°132