Observation. Monsieur T., âgé de 39 ans, consulte pour des brûlures épigastriques associées à une sensation de satiété précoce à l’origine d’une perte de poids de 8 kg en 2 mois. Il n’a pas d’antécédent médical particulier et dans ses antécédents familiaux on note un diabète chez son père et un cancer du sein chez une tante maternelle. Il a été traité par des antihistaminiques H2 (anti-H2) pendant 6 semaines sans amélioration notable, puis par un inhibiteur de la pompe à protons (IPP) à la demande, avec une amélioration partielle initiale mais transitoire. Devant ces symptômes, une gastroscopie est réalisée, qui ne montre aucune anomalie évidente, en dehors d’une muqueuse discrètement œdématiée et rigide au niveau de l’antre. Des biopsies systématiques révèlent une muqueuse d’aspect normal, et l’absence d’infection à Helicobacter pylori. Devant l’absence de signe objectif à l’endoscopie haute, un traitement symptomatique du syndrome dyspeptique est mis en place, associant IPP systématique pendant 6 semaines et alginates.

Le syndrome dyspeptique : des signes d’alarme ?

La dyspepsie est un symptôme fréquent. Il est essentiel de bien identifier les signes d’alarme relevant d’une exploration systématique. Compte tenu de l’accroissement du risque de lésion cancéreuse digestive haute à partir de 50 ans, une endoscopie première est recommandée. De même, la présence de symptômes d’alarme fait logiquement pratiquer une endoscopie première avant un test thérapeutique. Ces signes sont les suivants : perte de poids non intentionnelle, saignements digestifs, dysphagie, vomis- sements, anémie ferriprive, masse épigastrique. L’inefficacité d’un traitement maximal bien conduit doit également faire envisager une exploration endoscopique.
Un mois et demi plus tard, devant la persistance des symptômes et la perte de 6 kg supplémentaires, une tomodensitométrie est réalisée, qui montre un aspect épaissi de la paroi gastrique mesurant 17 mm d’épaisseur, limité à l’antre gastrique. Une nouvelle endoscopie œsogastroduodénale est alors réalisée, qui ne note pas d’anomalie évidente, si ce n’est toujours un aspect rigide à l’insufflation. Une écho-endoscopie haute est réalisée, qui révèle un épaississement localisé de la paroi gastrique et permet des biopsies guidées qui décè- lent la présence d’un adénocarcinome gastrique avec présence de cellules indépendantes.

Savoir répéter les examens…

Il faut savoir répéter l’exploration endoscopique en cas de persistance de symptômes dyspeptiques et de signes d’alarme. En effet, si la sensibilité de l’endoscopie pour les adénocarcinomes de type lieberkühnien est excellente, elle est moins bonne dans les linites gastriques qui peuvent être ignorées. De plus, les biopsies sont volontiers négatives dans les linites, avec une sensibilité de 50 % uniquement,1 incitant à réaliser des biopsies multiples (minimum 8) en cas de suspicion de cancer, et éventuellement des biopsies en puits, des macrobiopsies ou surtout une ponction-biopsie guidée par l’échoendoscopie.
Un bilan d’extension par tomoden- sitométrie thoraco-abdomino- pelvienne est réalisé et ne montre pas de lésion secondaire hépatique ou pulmonaire et pas de signe évocateur de carcinose péritonéale. Après discussion en réunion de concertation pluridisciplinaire, une résection chirurgicale est décidée, encadrée par une chimiothérapie périopératoire.

Qu’est-ce qu’un adénocarcinome gastrique à cellules indépendantes ?

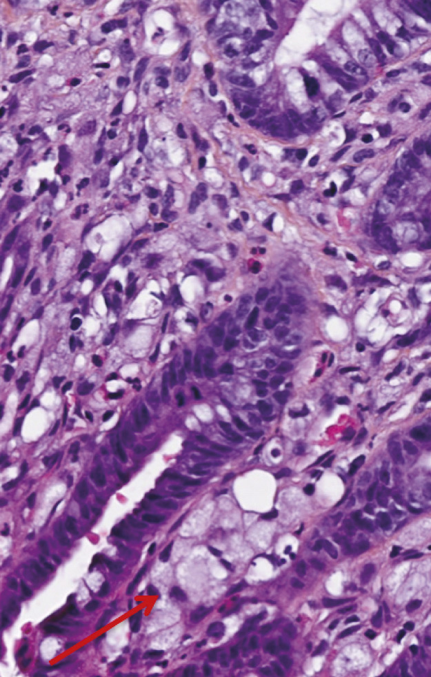
La classification des cancers gastriques est complexe puisque plusieurs types histologiques peuvent coexister au sein d’une même tumeur. Par ailleurs, différentes classifications histologiques sont utilisées en pratique courante et dans les études, avec des valeurs pronostiques variables. L’adéno- carcinome gastrique à cellules indépendantes (ADCI) est défini comme étant un adénocarcinome gastrique comportant un contingent majoritaire (plus de 50 % de la tumeur) de cellules isolées ou de petits groupes de cellules disséminées dans un stroma particulièrement fibreux et contenant de la mucine en intracytoplasmique (fig. 1) [v. encadré2, 3]. Il a une épidémiologie et un pronostic propre. Il est, en effet, plus fréquemment observé chez les sujets jeunes et est diagnostiqué à un stade plus avancé que les autres types histologiques. Il est également associé à un pronostic plus sombre, que ce soit sur la survie globale ou la survie sans récidive.4
Afin de déterminer le type histo- logique des cancers gastriques, notamment le type ADCI, les biopsies préthérapeutiques semblent avoir une excellente valeur prédictive positive (92,7 %) et négative (92,4 %), lorsqu’elles sont contri- butives. Celà permettrait d’adapter les traitements périopératoires, voire le type de chirurgie, en fonction du type histologique.

Pourquoi proposer une chimiothérapie périopératoire ?

La chimiothérapie périopératoire des formes résécables est une référence et doit être systématiquement proposée en adoptant le schéma FLOT (5-fluoro-uracile[5-FU], oxaliplatine, docétaxel), y compris chez les patients ayant un adéno- carcinome gastrique à cellules indépendantes. L’efficacité de cette stratégie est démontrée par deux études randomisées comparant la chimiothérapie périopératoire à la chirurgie seule.5, 6 Les chimiothérapies utilisées étaient l’association épirubicine-cisplatine-5-FU dans le protocole ECF, et l’association 5-FU-cisplatine. Une étude rétrospective de l’Association des gastro- entérologues oncologues (AGEO) suggère qu’une chimiothérapie par FOLFOX (5-FU, oxaliplatine) est une alternative.7 Cependant, le bénéfice de cette stratégie dans le sous-groupe des adénocarcinomes gastriques à cellules indépendantes a été longtemps discuté, celui-ci étant réputé peu chimiosensible,8 tandis que la chimiothérapie périopératoire apparaissait être un facteur indépendant d’une moins bonne survie,9 impact négatif non retrouvé dans une autre étude multicentrique.4 Enfin, un essai randomisé récent comparant le protocole au schéma FLOT (4 cures pré- et postopératoires) a montré une supériorité de ce dernier sur la réponse histologique complète (16 % vs 6 %), la survie sans récidive (30 vs 18 mois) et la survie globale (50 vs 35 mois, soit 45 % vs 36 % de survie à 5 ans) dans une population de patients avec tumeur avancée (81 % de T3/T4, 80 % N+) et dont 25 % avaient plus de 70 ans. L’analyse des sous-groupes suggère un bénéfice conservé pour les tumeurs à cellules indépendantes.10

Quel type de chirurgie proposer ?

Du fait de son caractère infiltrant, les résections chirurgicales des adénocarcinomes gastriques à cellules indépendantes sont le plus souvent incomplètes, avec des marges de résection envahies chez 20,3 % des patients contre 9 % des patients ayant un autre type histologique.3 Afin de limiter ce risque de résection incomplète, certains auteurs ont proposé de réaliser une gastrectomie totale en cas d’adénocarcinome à cellules indépendantes, même de localisation antro-pylorique. Cependant, cette stratégie chirurgicale n’est pas validée par des essais prospectifs, et n’est donc pas recommandée actuellement en pratique courante.11 Une gastrectomie des 4/5e par laparotomie, ou par cœlioscopie dans le cadre d’essais prospectifs, doit donc être proposée chez un patient ayant un adénocarcinome gastrique à cellules indépendantes de l’antre. Seul le cas d’une linite antrale, comme c’est le cas ici, impose la réalisation d’une gastrectomie totale afin de s’assurer d’une résection complète. Cette gastrectomie totale est associée à un risque de dénutrition post-opératoire plus importante qu’une gastrectomie des 4/5e, avec la nécessité de fractionner les repas (syndrome du « petit estomac »), ainsi qu’à une carence en vitamine B12 qu’il est nécessaire de supplémenter à vie (1 mg par mois).
L’examen anatomopathologique de la pièce opératoire montre l’existence d’un adénocarcinome peu différencié de l’antre gastrique, de 42 x 23 mm, avec un contingent majoritaire de cellules isolées en bague à chaton (60 %) dans un stroma fibreux. La lésion est classée pT3N1Mx. La réponse à la chimiothérapie préopératoire est moyenne, estimée selon la classification de Mandard à TRG3. Les marges de résection sont saines d’envahissement tumoral (R0).
Le dossier est discuté en réunion de concertation pluridisciplinaire, et il est décidé de réaliser une chimiothérapie postopératoire selon le schéma FLOT.

Un traitement postopératoire très fréquent

Dans le cadre d’une résection curative d’un adénocarcinome gastrique, la chimiothérapie doit être périopératoire, le protocole entrepris en préopératoire doit donc être repris en postopératoire. Cependant, cette chimiothérapie doit être adaptée à la tolérance initiale et à l’état général et nutritionnel post- opératoire du patient, qui est souvent altéré, en particulier après une gastrectomie totale. En effet, près de 50 % des malades opérés ne peuvent pas recevoir de chimiothérapie postopératoire.
Il n’y a pas d’argument pour un changement de chimiothérapie en postopératoire en fonction des résultats cliniques et histologiques de la chimiothérapie préopératoire. La réalisation d’une radiochimiothérapie en postopératoire chez les patients traités en préopératoire ne semble pas apporter de bénéfice par rapport à une chimiothérapie.
Enfin, si le patient n’a pas reçu de chimiothérapie préopératoire, une chimiothérapie postopératoire est également recommandée.12 La radiochimiothérapie est également une alternative chez ces patients,13 en particulier en cas de résection microscopiquement incomplète (R1). En revanche, l’intérêt de cette radiochimiothérapie postopératoire semble ne pas persister dans les linites gastriques.
Lors du suivi, le patient revient 6 mois après la fin de son traitement adjuvant. La tomodensitométrie thoraco-abdomino-pelvienne révèle l’existence de deux lésions hépatiques hypodenses des segments VII et VIII, de 25 mm et 33 mm de plus grand axe. Une imagerie par résonance magnétique (IRM) hépatique ne montre pas d’autre lésion hépatique, et la tomographie par émission de positons au 18-fluorodésoxuglucose (TEP-TDM au 18FDG) ne révèle aucune fixation pathologique, y compris au niveau hépatique.

Que faire en cas de lésions métastatiques ?

La surveillance des cancers gastriques opérés repose sur l’examen clinique et la réalisation d’une tomodensitométrie thoraco-abdomino-pelvienne tous les 6 mois pendant 3 ans, puis tous les ans pendant 2 ans. En cas de gastrectomie partielle, la surveillance du moignon gastrique doit débuter 10 ans après la chirurgie et comporter une endoscopie digestive haute tous les 2 ans avec biopsies systématiques.
La place de la TEP-TDM au 18FDG n’est pas déterminée dans la prise en charge et la surveillance du cancer gastrique. Cet examen ne doit donc pas être systématique dans le cadre du bilan d’extension. Il peut être discuté au cas par cas, en particulier dans les formes opérables à haut risque. Cependant, dans les adénocarcinomes gastriques à cellules indépendantes, la TEP-TDM a une moins bonne sensibilité et les faux négatifs sont plus fréquents.
Chez les patients ayant une atteinte métastatique, la chimiothérapie palliative a montré son efficacité en termes de survie. Mais il n’existe à ce jour pas de standard interna- tional de première ligne.
Il est tout d’abord indispensable de déterminer le statut HER2 de la tumeur en immunohistochimie avec ou sans hybridation in situ. En cas de surexpression de HER2, la référence est un schéma associant 5-FU, cisplatine et trastuzumab. Le 5-FU et le cisplatine peuvent éventuellement être substitués par la capécitabine (forme orale du 5-FU) et l’oxaliplatine respectivement. En l’absence de surexpression de HER2, plusieurs schémas de référence peuvent être proposés après discussion en réunion de concertation pluridisciplinaire et en tenant compte de l’état général du patient et des traitements éventuellement reçus en périopératoire : CF (cisplatine, 5-FU), ECF (épirubicine, CF), DCF (docétaxel CF), FOLFOX (5-FU, oxaliplatine), TFOX (docétaxel, 5-FU, oxaliplatine) ou FOLFIRI (5-FU + irinotécan).
Une résection des métastases hépatiques peut être discutée au cas par cas et uniquement si toutes les métastases sont résécables, et après une chimiothérapie première permettant un bon contrôle tumoral.10, 14, 15
1. Andriulli A, Recchia S, De Angelis C, et al. Endoscopic ultrasonographic evaluation of patients with biopsy negative gastric linitis plastica. Gastrointest Endosc 1990;36:611-5.
2. Chiaravalli AM, Klersy C, Tava F, et al. Lower- and higher-grade subtypes of diffuse gastric cancer. Hum Pathol 2009;40:1591-9.
3. Piessen G, Messager M, Leteurtre E, Jean-Pierre T, Mariette C. Signet ring cell histology is an independent predictor of poor prognosis in gastric adenocarcinoma regardless of tumoral clinical presentation. Ann Surg 2009;250:878-87.
4. Voron T, Messager M, Duhamel A, et al. Is signet-ring cell carcinoma a specific entity among gastric cancers? Gastric Cancer 2015:1-14.
5. Cunningham D, Allum W, Stenning S, et al. Perioperative chemotherapy versus surgery alone for resectable Gastroesophageal Cancer. N Engl J Med 2006;355:11-20.
6. Ychou M, Boige V, Pignon JP, et al. Perioperative chemotherapy compared with surgery alone for resectable gastroesophageal adenocarcinoma: an FNCLCC and FFCD multicenter phase III trial. J Clin Oncol 2011;29:1715-21.
7. Mary F, Zaanan A, Boige V, et al. Perioperative chemotherapy with FOLFOX in resectable gastroesophageal adenocarcinoma in real life practice: An AGEO multicenter retrospective study. Dig Liver Dis 2016;48:1498-502.
8. Messager M, Lefevre JH, Pichot-Delahaye V, Souadka A, Piessen G, Mariette C. The impact of perioperative chemotherapy on survival in patients with gastric signet ring cell adenocarcinoma: a multicenter comparative study. Ann Surg 2011;254:684-93.
9. Robb WB, Messager M, Gronnier C, et al. High-grade toxicity to neoadjuvant treatment for upper gastrointestinal carcinomas: what is the impact on perioperative and oncologic outcomes? Ann Surg Oncol 2015;22:3632-9.
10. Al-Batran SE, Homann N, Pauligk C, et al. Effect of neoadjuvant chemotherapy followed by surgical resection on survival in patients with limited metastatic gastric or gastroesophageal junction cancer. JAMA Oncol 2017;3:1237.
11. Michel P, Buecher B, Chapelle N, et al. Cancer de l’estomac. Thésaurus National de Cancérologie Digestive, 2017.
12. Paoletti X, Oba K, Burzykowski T, et al. Benefit of adjuvant chemotherapy for resectable gastric cancer. JAMA 2010;303:1729-37.
13. Macdonald J, Smalley S. Chemoradiotherapy after surgery compared with surgery alone for adenocarcinoma of the stomach or gastroesophageal junction. N Engl J Med 2001;345:725-30.
14. Al-Batran SE, Goetze TO, Mueller DW, et al. The RENAISSANCE (AIO-FLOT5) trial: effect of chemotherapy alone vs. chemotherapy followed by surgical resection on survival and quality of life in patients with limited-metastatic adenocarcinoma of the stomach or esophagogastric junction – a phase III trial of the German AIO/CAO-V/CAOGI. BMC Cancer 2017;17:893.
15. Markar SR, Mikhail S, Malietzis G, et al. Influence of surgical resection of hepatic metastases from gastric adenocarcinoma on long-term survival. Ann Surg 2016;263:1092-101.
Encadre

Adénocarcinome gastrique à cellules indépendantes et linite gastrique

Parmi les classifications des cancers gastriques les plus fréquemment utilisées, on peut citer la classification de Lauren, décrite en 1965, qui distingue les cancers de type intestinal, les cancers de type diffus et les cancers de type mixte (ou inclassable), et celle de l’Organisation mondiale de la santé (OMS), décrite en 1990, qui identifie les adénocarcinomes papillaires, tubulaires, mucineux, les adénocarcinomes à cellules indépendantes, les carcinomes adéno-squameux et les carcinomes épidermoïdes.

L’adénocarcinome gastrique à cellules indépendantes (ADCI) défini par la classification de l’OMS est inclus dans les cancers gastriques de type diffus de la classification de Lauren, en raison de l’importance de son stroma fibreux. Cependant, il est important de noter que l’ensemble des tumeurs de type diffus ne sont pas des adénocarcinomes gastriques à cellules indépendantes.2

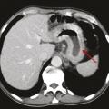
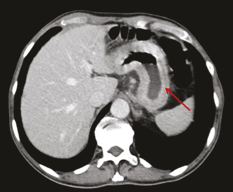
De même, une confusion fréquente est faite entre le type histologique ADCI et la linite gastrique. Cette dernière est définie macroscopiquement, en anatomopathologie, en endoscopie (fig. 2) ou en imagerie (fig. 3), par un aspect épaissi et rigide de la paroi gastrique. L’aspect de linite est fréquemment associé au type histologique ADCI, comme cela a été noté dans une série de 27 linites gastriques analysées par deux anatomopathologistes différents. P armi ces linites, 21 étaient des adénocarcinomes gastriques à cellules indépendantes et 6 d’autres types histologiques selon la classification de l’OMS. Après une troisième lecture des lames, il apparaissait que 4 tumeurs avaient un contingent minoritaire de cellules isolées (< 50 %) et 2 tumeurs étaient des adénocarcinomes tubulaires.3

Références
1. Andriulli A, Recchia S, De Angelis C, et al. Endoscopic ultrasonographic evaluation of patients with biopsy negative gastric linitis plastica. Gastrointest Endosc 1990;36:611-5.

2. Chiaravalli AM, Klersy C, Tava F, et al. Lower- and higher-grade subtypes of diffuse gastric cancer. Hum Pathol 2009;40:1591-9.

3. Piessen G, Messager M, Leteurtre E, Jean-Pierre T, Mariette C. Signet ring cell histology is an independent predictor of poor prognosis in gastric adenocarcinoma regardless of tumoral clinical presentation. Ann Surg 2009;250:878-87.

4. Voron T, Messager M, Duhamel A, et al. Is signet-ring cell carcinoma a specific entity among gastric cancers? Gastric Cancer 2015:1-14.

5. Cunningham D, Allum W, Stenning S, et al. Perioperative chemotherapy versus surgery alone for resectable Gastroesophageal Cancer. N Engl J Med 2006;355:11-20.

6. Ychou M, Boige V, Pignon JP, et al. Perioperative chemotherapy compared with surgery alone for resectable gastroesophageal adenocarcinoma: an FNCLCC and FFCD multicenter phase III trial. J Clin Oncol 2011;29:1715-21.

7. Mary F, Zaanan A, Boige V, et al. Perioperative chemotherapy with FOLFOX in resectable gastroesophageal adenocarcinoma in real life practice: An AGEO multicenter retrospective study. Dig Liver Dis 2016;48:1498-502.

8. Messager M, Lefevre JH, Pichot-Delahaye V, Souadka A, Piessen G, Mariette C. The impact of perioperative chemotherapy on survival in patients with gastric signet ring cell adenocarcinoma: a multicenter comparative study. Ann Surg 2011;254:684-93.

9. Robb WB, Messager M, Gronnier C, et al. High-grade toxicity to neoadjuvant treatment for upper gastrointestinal carcinomas: what is the impact on perioperative and oncologic outcomes? Ann Surg Oncol 2015;22:3632-9.

10. Al-Batran SE, Homann N, Pauligk C, et al. Effect of neoadjuvant chemotherapy followed by surgical resection on survival in patients with limited metastatic gastric or gastroesophageal junction cancer. JAMA Oncol 2017;3:1237.

11. Michel P, Buecher B, Chapelle N, et al. Cancer de l’estomac. Thésaurus National de Cancérologie Digestive, 2017.

12. Paoletti X, Oba K, Burzykowski T, et al. Benefit of adjuvant chemotherapy for resectable gastric cancer. JAMA 2010;303:1729-37.

13. Macdonald J, Smalley S. Chemoradiotherapy after surgery compared with surgery alone for adenocarcinoma of the stomach or gastroesophageal junction. N Engl J Med 2001;345:725-30.

14. Al-Batran SE, Goetze TO, Mueller DW, et al. The RENAISSANCE (AIO-FLOT5) trial: effect of chemotherapy alone vs. chemotherapy followed by surgical resection on survival and quality of life in patients with limited-metastatic adenocarcinoma of the stomach or esophagogastric junction – a phase III trial of the German AIO/CAO-V/CAOGI. BMC Cancer 2017;17:893.

15. Markar SR, Mikhail S, Malietzis G, et al. Influence of surgical resection of hepatic metastases from gastric adenocarcinoma on long-term survival. Ann Surg 2016;263:1092-101