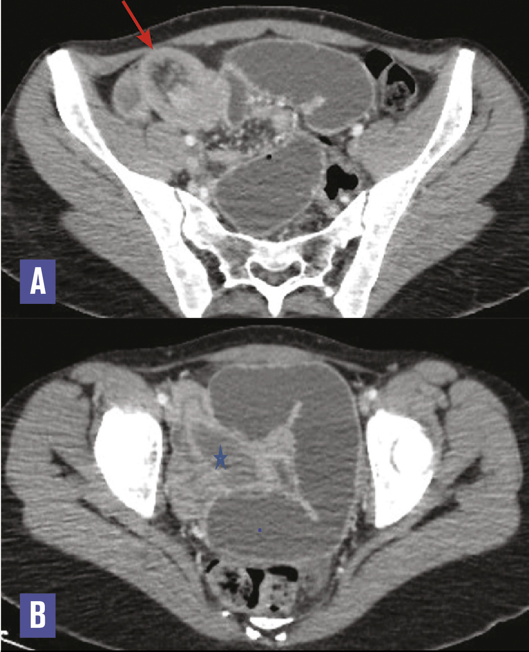
Cette femme de 19 ans consultait pour des douleurs abdominales diffuses et des vomissements post-prandiaux tardifs. Elle signalait des douleurs récurrentes et un arrêt des matières et des gaz. À l’examen, l’abdomen était distendu, avec un tympanisme à la percussion signant l’occlusion intestinale. Le bilan biologique était normal. L’échographie abdominale montrait une image d’invagination grêlo-grélique au niveau du pelvis. La tomodensitométrie confirmait l’invagination intestinale (fig. 1A ), avec à son pied une lésion ovalaire, bien limitée, hypodense, rehaussée faiblement et en périphérie après contraste (fig. 1B ). L’exploration chirurgicale trouvait une invagination iléo-iléale secondaire à une formation polyploïde intraluminale sessile ; l’anse invaginée était réséquée et la continuité rétablie par une anastomose grêlo-grélique termino-terminale. La pièce de résection de 21 cm renfermait un polype sessile de 40 x 20 x 20 mm avec, à l’examen histopathologique, un polype fibroïde inflammatoire (fig. 2 ). Les suites postopératoires étaient simples sur un recul de 3 mois.
L’invagination intestinale aiguë est définie par le télescopage et la pénétration d’un segment intestinal (anse invaginée) dans le segment d’aval (anse réceptrice).1 Son mode évolutif est habituellement subaigu ou chronique. Les formes aiguës, moins fréquentes, sont souvent l’apanage des invaginations entéro-entériques,2 relativement rares chez l’adulte et secondaires dans la majorité des cas. Les formes grêlo-grêliques sont également rares. Une lésion organique est retrouvée dans 80 % des cas chez l’adulte, le plus souvent bénigne au niveau du grêle et maligne au niveau du côlon.2 Les polypes fibroïdes inflammatoires sont des tumeurs bénignes rares du tractus gastro-intestinal qui peuvent se développer à différents endroits du tractus gastro-intestinal ; le segment iléal est le site le plus fréquent où ces polypes provoquent une invagination. L’aspect scannographique de l’invagination intestinale est pathognomonique.3 Le traitement, essentiellement chirurgical, consiste à réséquer l’anse invaginée avec le polype fibroïde inflammatoire.
Références
1. Ahn JH, Choi SC, Lee KJ, Jung YS. A clinical overview of a retrospective study about adult intussusceptions: focusing on discrepancies among previous studies. Dig Dis Sci 2009;54:2643-9.
2. Boubbou M, Idrissi M, Chraibi M, et al. Invagination intestinale aiguë de l’adulte. Feuill Radiol 2009;49:99-104.
3. Kang SH, Kim SW, Moon HS, et al. Inflammatory fibroid polyp in the jejunum causing small bowel intussusception. Ann Coloproctol 2015;31:106-9.
2. Boubbou M, Idrissi M, Chraibi M, et al. Invagination intestinale aiguë de l’adulte. Feuill Radiol 2009;49:99-104.
3. Kang SH, Kim SW, Moon HS, et al. Inflammatory fibroid polyp in the jejunum causing small bowel intussusception. Ann Coloproctol 2015;31:106-9.
Une question, un commentaire ?
Sur le même thème
Article
Article