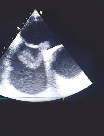
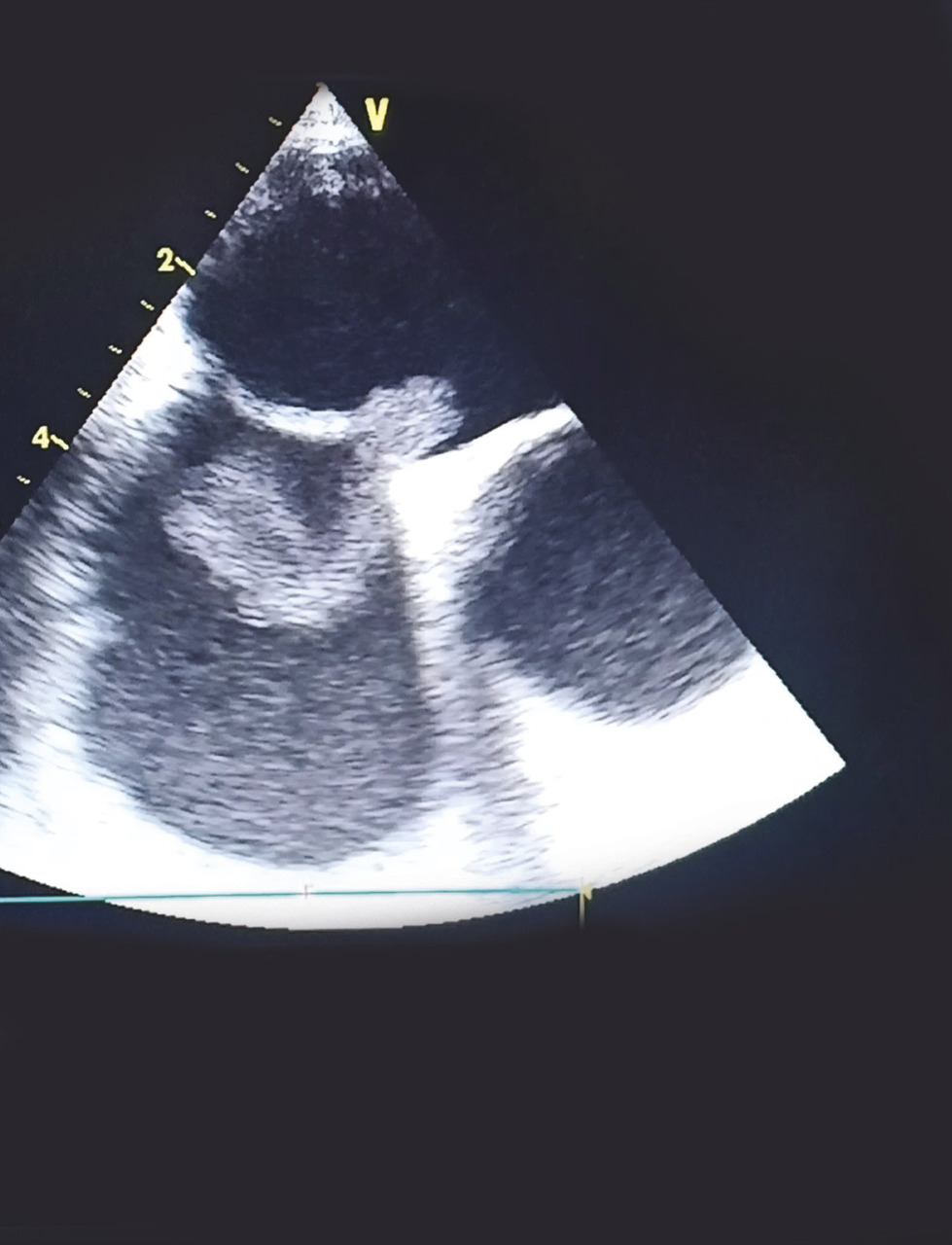
Cet homme de 37 ans était hospitalisé pour une hémiplégie gauche, 40 jours après ostéosynthèse d’une fracture du tibia droit. Son état hémodynamique et respiratoire était stable lors de son admission, avec des signes de thrombophlébite du membre inférieur droit et un rythme régulier sinusal à l’électrocardiogramme. La tomodensitométrie cérébrale montrait une plage ischémique temporo-pariétale droite. L’échocardiographie visualisait un thrombus mobile enclavé dans le foramen ovale perméable. Le patient était mis sous traitement anticoagulant ; une thrombectomie chirurgicale était réalisée avec fermeture du foramen ovale. Les suites opératoires étaient simples.
L’embolie paradoxale à travers un foramen ovale perméable est une cause rare d’accident vasculaire cérébral ischémique. Elle est due à l’embolisation systémique d’un caillot provenant de la circulation veineuse à travers le foramen ovale. Le diagnostic est posé devant la présence d’une thrombose veineuse, une preuve d’embolisation systémique et la démonstration échocardiographique d’une communication anormale entre les circulations droite et gauche.
La visualisation d’un thrombus enclavé dans le foramen ovale est exceptionnelle et augmente la mortalité et le taux de récidive ischémique liée à cette pathologie.1, 2
Le traitement curatif associe une anticoagulation efficace à une thrombectomie chirurgicale avec fermeture du foramen.
La visualisation d’un thrombus enclavé dans le foramen ovale est exceptionnelle et augmente la mortalité et le taux de récidive ischémique liée à cette pathologie.1, 2
Le traitement curatif associe une anticoagulation efficace à une thrombectomie chirurgicale avec fermeture du foramen.
Références
1. Rousselle M, Ennezat PV, Aubert JM, et al. Momentarily stuck in the foramen ovale. Eur J Echocardiog 2007; 8:223–6.
2. Chartier L, Béra J, Delomez M et al. Free-floating thrombi in the right heart: diagnosis, management, and prognostic indexes in 38 consecutive patients. Circulation 1999; 99: 2779-83.
2. Chartier L, Béra J, Delomez M et al. Free-floating thrombi in the right heart: diagnosis, management, and prognostic indexes in 38 consecutive patients. Circulation 1999; 99: 2779-83.
Une question, un commentaire ?