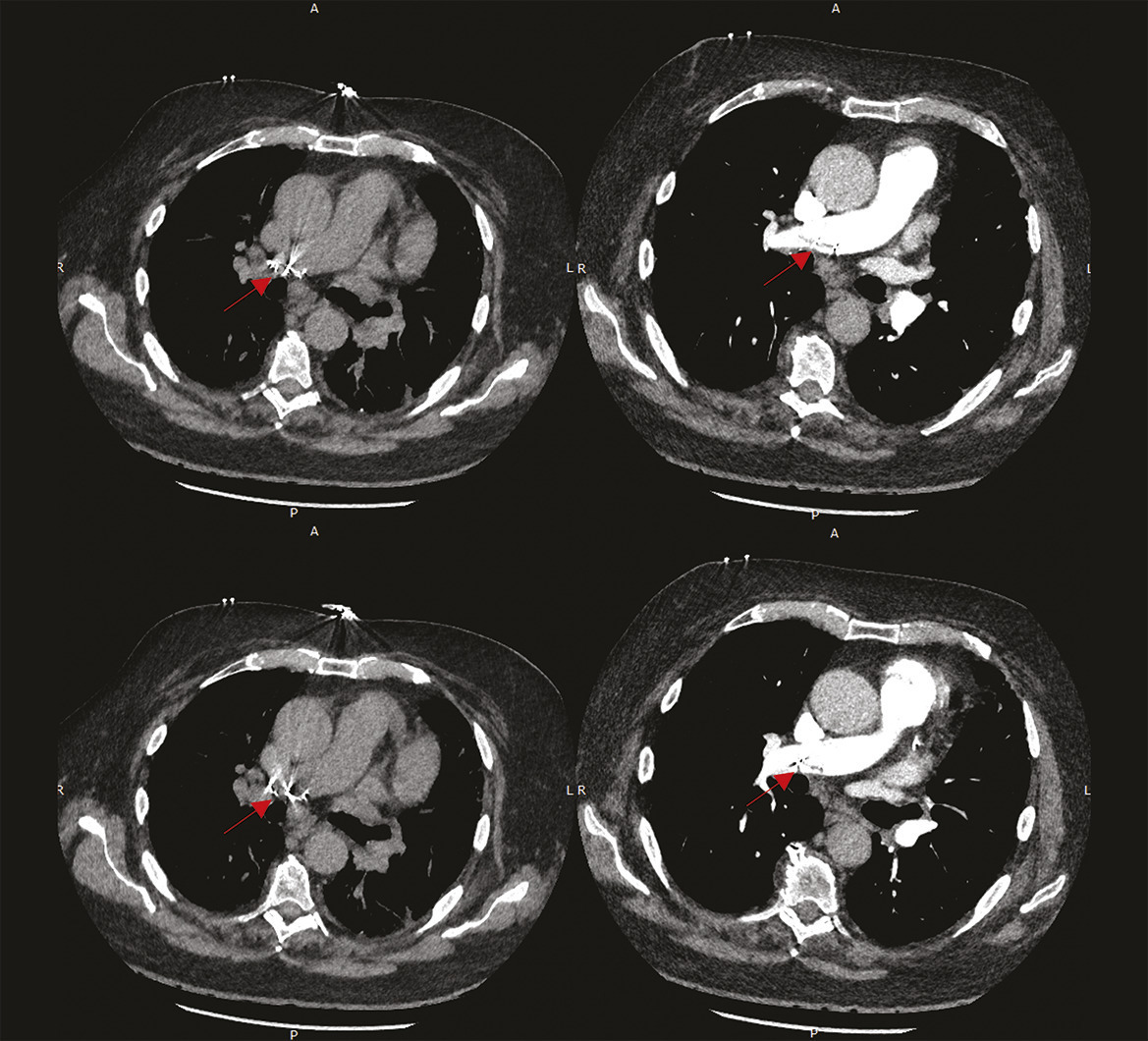
Ce patient de 74 ans consultait en raison de l’apparition depuis quelques jours d’une dyspnée d’effort sans douleur thoracique. Il avait pour antécédents une cardiopathie ischémique, une hypertension artérielle et la fermeture par voie percutanée d’un foramen ovale perméable par une prothèse d’Amplatz qu’on savait incomplète depuis quelques années. Cliniquement, on notait des signes de détresse respiratoire avec une polypnée à 18 cycles/min et une désaturation nécessitant la mise sous 4 L/min d’oxygène. L’auscultation était claire et symétrique. L’électrocardiogramme montrait un rythme sinusal régulier à 92 BPM avec un bloc de branche droit connu, sans signes d’ischémie. La mesure des gaz du sang en air ambiant montrait une hypoxie à 56 mmHg, une hypocapnie à 24 mmHg et un pH normal. Un angioscanner, à la recherche d’une embolie pulmonaire, (figure ) montrait une migration prothétique dans l’artère pulmonaire droite. Le patient était transféré vers un plateau de chirurgie cardiaque en urgence.
La migration d’une prothèse de fermeture d’un foramen ovale perméable est rare et survient principalement de manière précoce ou perprocédurale.1, 2 La prothèse peut se trouver dans différents sites : cavité cardiaque, crosse de l’aorte, voire aorte abdominale ou artère pulmonaire. La migration résulte le plus souvent de facteurs anatomiques qui limitent le bon positionnement des ailettes du dispositif : anévrisme septal, septum secundum épais, long tunnel de circulation du sang dans le foramen ovale. Un choix inapproprié de taille prothétique favorise aussi son instabilité positionnelle tout comme la persistance d’un shunt. En fonction de la symptomatologie du patient (dyspnée, état hémodynamique, intensité du shunt après la réouverture du foramen) et de la faisabilité technique (position du dispositif, risques de lésions secondaires des tissus vasculaires, de surmigration, de rupture prothétique), le dispositif peut être retiré par voie percutanée ou chirurgicale.
Références
1. Goel SS, Aksoy O, Tuzcu EM et al. Embolization of patent foramen ovale closure devices. Tex Heart Inst J 2013;40:439-44.
2. Davies AJ, Collins N, Organ N. Retrieval of embolized Amplatzer patent foramen ovale occlusion device: issue related to late recognition. Case Rep Cardiol 2017. ID:9894215 https://bit.ly/3d8v5y2
2. Davies AJ, Collins N, Organ N. Retrieval of embolized Amplatzer patent foramen ovale occlusion device: issue related to late recognition. Case Rep Cardiol 2017. ID:9894215 https://bit.ly/3d8v5y2
Une question, un commentaire ?