Germain, 68 ans, consulte pour un œdème des mains présent depuis trois mois (fig. 1), associé à des douleurs inflammatoires.
Il reçoit un traitement associant un bêta-2-mimétique et un anticholinergique pour une bronchopneumopathie chronique obstructive (BPCO) secondaire à son tabagisme (50 paquets-années).
Un confrère a posé le diagnostic de polyarthrite rhumatoïde et prescrit un anti-inflammatoire non stéroïdien (AINS), sans succès, puis un corticoïde (80 mg/j durant 10 jours), qui n’a guère été plus efficace.
Cliniquement, quelques crépitants sont entendus au niveau du champ pulmonaire gauche.
La protéine C-réactive (CRP) est à 46 mg/L et le facteur rhumatoïde négatif.
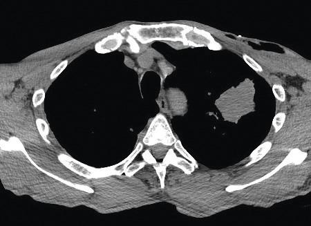
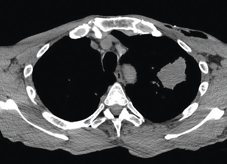
Un scanner thoracique met en évidence une masse apicale gauche de 3 cm et une seconde, lobaire inférieure gauche (fig. 2).
Le diagnostic de polyarthrite séronégative (RS3PE) paranéoplasique est posé.

Le syndrome RS3PE1,2 (remitting seronegative symmetrical synovitis with pitting edema) est une forme d’acropoly­arthrite œdémateuse touchant majoritairement les hommes, à un âge moyen de 71 ans.
Cliniquement, les mains sont atteintes dans près de 95 % des cas, et l’œdème (symétrique, distal, mou, gardant le godet et n’ayant pas de caractère inflammatoire) survient de manière brutale.1-3 L’œdème peut aussi concerner les pieds (50 %) et les poignets (20 %). Les épaules et les chevilles sont plus rarement atteintes. Un syndrome du canal carpien y est parfois associé. Les signes généraux (fièvre, asthénie) sont possibles.
Le bilan biologique met en évidence un syndrome inflammatoire, avec une élévation de la vitesse de sédimentation et de la CRP.2,3 Le facteur rhumatoïde est négatif. Dans 35 % des cas, le patient est porteur d’un antigène HLA-B27 ou A2. Enfin, le vascular endothelial growth factor (VEGF) peut être élevé et à l’origine des œdèmes par majoration de la perméabilité capillaire.
Les radiographies mettent en évidence une déminéralisation diffuse des épiphyses et une arthrose interphalangienne. L’échographie montre une ténosynovite au niveau des gaines des extenseurs et des fléchisseurs des doigts.2
Plusieurs causes du syndrome RS3PE sont possibles : néo­plasique (urinaire le plus souvent, puis digestive et pulmonaire) dans 11 % des cas ; rhumatologique pour 7 % des patients ; hématologique (5 %) ; iatrogène, plus anecdotiquement (gliptines, insuline, ampicilline, sulfamides, diurétiques).1-3 Le plus souvent, aucune origine n’est identifiée. Une prédisposition génétique est possible.
La prise en charge repose sur l’administration de petites doses de corticoïdes (entre 5 et 20 mg/j) sur une durée de douze à vingt-quatre mois.2,3 Le plus souvent, les symptômes ne récidivent pas. Si c’est le cas, il est impératif de rechercher une origine néoplasique.

Références

1. Mc Carty DJ, O’Duffy JD, Person L, et al. Remitting seronegative symmetrical synovitis with pitting edema. RS3PE syndrome. JAMA 1985;254(19):2763-7.
2. Traoré M, Kamissoko AB, Diallo ML. Syndrome remitting seronegative symmetrical synovitis with pitting edema (RS3PE) : à propos d’un cas au Sénégal. Ann Afr Med 2019;12(4):e3461-3.
3. Manzo C. The paraneoplastic meaning of R3SPE (remitting seronegative symmetrical synovitis with pitting edema) syndrome. J Med Oncol Ther 2016;1(2):72-5.

Une question, un commentaire ?

Sur le même thème