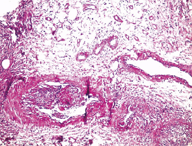
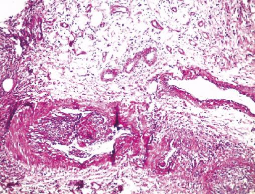
Cette femme de 50 ans sans antécédents notables était hospitalisée pour des ulcères chroniques des membres inférieurs. Six mois auparavant, des nodules fermes indolores étaient apparus au niveau des membres inférieurs, évoluant vers la fistulisation et la confluence, et donnant lieu à de nombreux ulcères. L’examen clinique notait de multiples ulcères des membres inférieurs nécrosants, surinfectés et creusants, à bordure, surélevés, mimant un pyoderma gangrenosum (fig. 1), sans arthralgies ni myalgies. Le bilan biologique montrait un syndrome inflammatoire biologique, le bilan auto-immun était négatif, de même que les sérologies des hépatites B et C et du VIH, l’échographie doppler artérielle et veineuse, et le bilan de systématisation. L’étude histologique (fig. 2) confirmait le diagnostic de périartérite noueuse. La patiente était traitée par des bolus de méthylprednisone avec un relais par la prednisone 1 mg/kg/j per os, associée à une seule cure de plasma riche en plaquettes. L’évolution était marquée par un début d’amélioration clinique, mais la patiente était ensuite perdue de vue.
La périartérite noueuse associe classiquement une altération de l’état général fébrile avec arthromyalgie, mononévrite et des atteintes cutanées, rénales ou digestives. Il s’agit d’une affection rare survenant à tout âge, parfois associée à des infections, comme l’hépatite B.1 Elle atteint pratiquement tous les organes. L’atteinte cutanée est notée dans 10-15 % des cas avec principalement un purpura pétéchial infiltré.2 Le mode de révélation par des ulcères chroniques nécrosants et creusants des membres inférieurs n’est pas fréquent. La biopsie cutanée confirme le plus souvent le diagnostic montrant une vasculite leucocytoclasique et nécrosante des vaisseaux de petit et moyen calibre.3 Le traitement est la corticothérapie, parfois associée à des immunosuppresseurs. L’établissement d’une stratégie thérapeutique ne se conçoit qu’en milieu spécialisé et de façon adaptée à la gravité de la maladie.
Références
1. Ben Salem T, Zaghbi N, Tougorti M, et al. La périartérite noueuse : série de 17 cas. Rev Med Intern 2015;36:A133.
2. Harou O, Depaepe L, Balme B. Périartérite noueuse . Ann Dermatol Veneréol 2014;141:153-5.
3. Boursault L, Kostrzewa E, Stokkermans J, et al. Périartérite noueuse cutanée : aspects cliniques, évolutifs et thérapeutiques, à propos de 11 cas. Rev Med Intern 2012;33 :S161-2.
2. Harou O, Depaepe L, Balme B. Périartérite noueuse . Ann Dermatol Veneréol 2014;141:153-5.
3. Boursault L, Kostrzewa E, Stokkermans J, et al. Périartérite noueuse cutanée : aspects cliniques, évolutifs et thérapeutiques, à propos de 11 cas. Rev Med Intern 2012;33 :S161-2.
Une question, un commentaire ?
Sur le même thème
Article
Article