Hélène, 16 ans, consulte pour un traumatisme du genou gauche dû à une chute en avant, sans craquement audible. À l’examen : douleur (cotée à 9/10 malgré immobilisation par attelle et antalgique de palier 1), hémarthrose volumineuse, périmètre rotulien à + 9 cm, sans effraction cutanée, flexum irréductible de genou à 20° et impotence fonctionnelle totale.
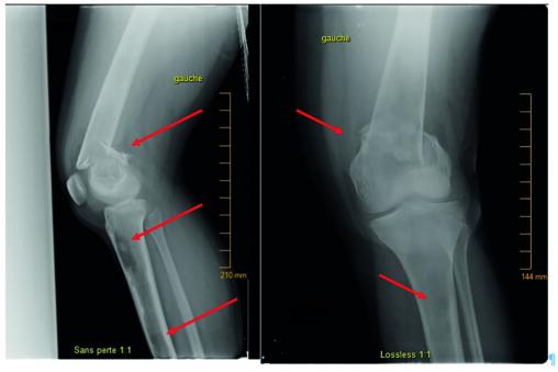
Les radios montrent une fracture fermée comminutive déplacée, supracondylienne, du fémur (fig. 1), dont la sévérité fait suspecter une pathologie sous-jacente. On note plusieurs lésions ovalaires hyperclaires et un amincissement de la corticale osseuse au niveau du tiers distal du fémur et du tibial proximal gauches (fig. 1 ; kystes lacunaires au scanner, fig. 2 ), mais aussi des lésions lacunaires bilatérales diaphysaires et métaphyso-diaphysaires.
Les biopsies (effectuées au cours d’une première chirurgie de stabilisation) permettent d’identifier des fragments d’os nécrotiques, sans tumeur.
Les radios montrent une fracture fermée comminutive déplacée, supracondylienne, du fémur (fig. 1), dont la sévérité fait suspecter une pathologie sous-jacente. On note plusieurs lésions ovalaires hyperclaires et un amincissement de la corticale osseuse au niveau du tiers distal du fémur et du tibial proximal gauches (
Les biopsies (effectuées au cours d’une première chirurgie de stabilisation) permettent d’identifier des fragments d’os nécrotiques, sans tumeur.
discussion
La dysplasie fibreuse des os est une affection osseuse bénigne caractérisée par le développement intra-osseux anormal de tissu conjonctif au sein de cavités kystiques.1, 2 C’est une maladie génétique congénitale non héréditaire avec prolifération atypique de fibroblastes et d’ostéoblastes peu différenciés, menant à une destruction osseuse accrue par hyperactivité ostéoclastique.
Elle se révèle dans l’enfance ou à l’âge adulte. Souvent asymptomatique, sa prévalence, estimée à 1/30 000, est sous-évaluée. Elle peut être polyostotique (20 à 30 % des cas, comme chez cette patiente) ou monostotique (70 à 80 %). Les lésions prédominent au niveau du squelette crânio-facial, des os longs, des côtes et du rachis.
Signes cliniques : douleurs, déformations osseuses, fractures pathologiques, compressions de nerfs crâniens (dans les atteintes crânio-faciales). Environ 3 % des dysplasies fibreuses sont liées à un syndrome de McCune-Albright associant des taches café au lait et une puberté précoce. D’autres endocrinopathies peuvent être retrouvées : hyperthyroïdie, syndrome de Cushing, acromégalie, diabète phosphaté.
À la radio : zones transparentes ovalaires ou allongées de plusieurs centimètres, de localisation diaphysaire ou métaphyso-diaphysaire, avec souvent un épaississement et une incurvation de l’os. Les lésions se stabilisent généralement à l’âge adulte.
Principales options thérapeutiques : la chirurgie, en cas de déformations ou fracture, et les bisphosphonates qui visent à limiter la résorption osseuse et soulager les douleurs. Leur prescription doit rester prudente chez l’enfant (risque de déminéralisation des cartilages de croissance).
L’activité physique est à encourager (renforcement musculaire et osseux, diminution du risque fracturaire), en évitant les sports à haut risque traumatique. Les transformations malignes sarcomateuses sont très rares.
La surveillance devrait comporter : recherche de signe d’hyper- corticisme, de lésion testiculaire, d’accélération staturale ou de puberté précoce ; radio périodiques des os longs, du rachis et des côtes et échographies testiculaires ; bilan biologique (hypophosphorémie, hyperthyroïdie).
Pendant l’immobilisation plâtrée (45 j chez cette patiente), la rééducation est essentielle : électrostimulation musculaire associée à des techniques d’entretien aérobie (pour maintenir l’endurance cardiaque et musculaire ; travail sur bicyclette ergomètrique par exemple). Après ablation du plâtre, la kinésithérapie s’intensifie avec mobilisation articulaire progressive d’abord sur arthromoteur (appareil qui mobilise une articulation traumatisée ou récemment opérée de façon lente et progressive), renforcement musculaire, travail de reprise de la marche puis de l’équilibre. La patiente subit 6 mois plus tard une chirurgie orthopédique préventive au niveau du fémur distal droit (à risque fracturaire).
Elle se révèle dans l’enfance ou à l’âge adulte. Souvent asymptomatique, sa prévalence, estimée à 1/30 000, est sous-évaluée. Elle peut être polyostotique (20 à 30 % des cas, comme chez cette patiente) ou monostotique (70 à 80 %). Les lésions prédominent au niveau du squelette crânio-facial, des os longs, des côtes et du rachis.
Signes cliniques : douleurs, déformations osseuses, fractures pathologiques, compressions de nerfs crâniens (dans les atteintes crânio-faciales). Environ 3 % des dysplasies fibreuses sont liées à un syndrome de McCune-Albright associant des taches café au lait et une puberté précoce. D’autres endocrinopathies peuvent être retrouvées : hyperthyroïdie, syndrome de Cushing, acromégalie, diabète phosphaté.
À la radio : zones transparentes ovalaires ou allongées de plusieurs centimètres, de localisation diaphysaire ou métaphyso-diaphysaire, avec souvent un épaississement et une incurvation de l’os. Les lésions se stabilisent généralement à l’âge adulte.
Principales options thérapeutiques : la chirurgie, en cas de déformations ou fracture, et les bisphosphonates qui visent à limiter la résorption osseuse et soulager les douleurs. Leur prescription doit rester prudente chez l’enfant (risque de déminéralisation des cartilages de croissance).
L’activité physique est à encourager (renforcement musculaire et osseux, diminution du risque fracturaire), en évitant les sports à haut risque traumatique. Les transformations malignes sarcomateuses sont très rares.
La surveillance devrait comporter : recherche de signe d’hyper- corticisme, de lésion testiculaire, d’accélération staturale ou de puberté précoce ; radio périodiques des os longs, du rachis et des côtes et échographies testiculaires ; bilan biologique (hypophosphorémie, hyperthyroïdie).
Pendant l’immobilisation plâtrée (45 j chez cette patiente), la rééducation est essentielle : électrostimulation musculaire associée à des techniques d’entretien aérobie (pour maintenir l’endurance cardiaque et musculaire ; travail sur bicyclette ergomètrique par exemple). Après ablation du plâtre, la kinésithérapie s’intensifie avec mobilisation articulaire progressive d’abord sur arthromoteur (appareil qui mobilise une articulation traumatisée ou récemment opérée de façon lente et progressive), renforcement musculaire, travail de reprise de la marche puis de l’équilibre. La patiente subit 6 mois plus tard une chirurgie orthopédique préventive au niveau du fémur distal droit (à risque fracturaire).
références
1. André JM, André N, Jacquier A. Phacomatoses/Bardin T, Kuntz D, Ryckewaert A. Autres ostéopathies. In: Godeau P, Herson S, Piette JC, eds. Traité de Médecine interne, 4° éd. Paris: Lavoisier: 2004: 301/2211.
2. Boyce AM. Fibrous dysplasia. In : De Groot LJ, Chrousos G, Dungan K, et al., eds. Endotext; 2015. https://bit.ly/2kIrhb4
2. Boyce AM. Fibrous dysplasia. In : De Groot LJ, Chrousos G, Dungan K, et al., eds. Endotext; 2015. https://bit.ly/2kIrhb4
Une question, un commentaire ?
Sur le même thème
Article
Article
Exercice