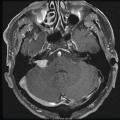
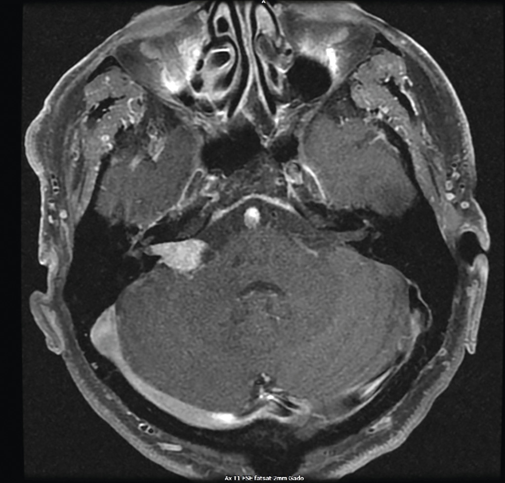
Tumeur bénigne extra-axiale de la VIIIe paire crânienne développée aux dépens des cellules de la gaine de Schwann.
Dit improprement neurinome de l’acoustique car naît le plus souvent du nerf vestibulaire supérieur ou inférieur.
Siège volontiers dans le conduit auditif interne et croît vers l’angle ponto-cérébelleux (APC). D’où atteinte des fonctions vestibulaires et auditives.
À un stade plus tardif, parésie du nerf facial et compression cérébelleuse et du tronc cérébral.
Dans 95 % des cas, unilatéral et non héréditaire : schwannome solitaire sporadique.
Chez 5 % des sujets, la lésion fait partie d’une maladie génétique appelée neurofibromatose de type 2.
Symptômes révélateurs
Liés aux fonctions des nerfs cochléaire et vestibulaire.
Nombreux, non spécifiques et souvent associés entre eux. S’inquiéter si unilatéraux ou asymétriques.1
Signe d’appel le plus fréquent : surdité unilatérale progressive (75 % des cas). Plus rarement brusque (14 %).
Acouphène unilatéral révélateur dans 65 % des cas. Vertiges (30 %) et instabilité (25 %) sans spécificité clinique.
Si parésie ou paralysie de l’hémiface : lésion du nerf facial.
Dysphonie ou troubles de la déglutition : révélateurs d’anomalies des nerfs mixtes.
Hypertension intracrânienne avec céphalées, baisse de l’acuité visuelle, diplopie, nausées ou vomissements, voire troubles de la conscience : traduit une tumeur très volumineuse.
De même, une compression du cervelet majore les troubles de l’équilibre et peut provoquer un syndrome cérébelleux.
Prise en charge
Dépend de la croissance tumorale et du retentissement fonctionnel.
L’IRM a amélioré la détection des schwannomes de petite taille (70 % des cas au diagnostic).
Examen le plus sensible pour apprécier la stabilité ou l’évolution de la tumeur.
Trois options sont disponibles : surveillance, chirurgie, radiochirurgie (irradiation stéréotaxique : délivrée avec une haute précision volumétrique). Non exclusives et combinables dans le temps.2
Thérapeutiques diversifiées, mais pas de consensus.
Les indications dépendent du volume tumoral et du caractère évolutif de la lésion, du retentissement fonctionnel sur l’audition (acouphènes, troubles de la compréhension, distorsions sonores) et des troubles de l’équilibre.
Prendre en compte âge, état général et retentissement psycho-socio-professionnel.
La décision est prise après évaluation du bénéfice/risque individuel, information et consentement éclairé du patient.
Surveillance : pour qui ?
Tumeurs de petite taille au retentissement fonctionnel modéré.2 C’est le cas des petites lésions (intracanalaires pures ou < 15 mm de diamètre dans l’APC) en première intention, sauf chez les sujets jeunes avec une audition inutile (restes auditifs trop faibles pour être amplifiés par une aide) ou si tentative de préservation de ce sens.
Au cours de la surveillance des tumeurs intracanalaires et de celles de moins de 15 mm, la croissance moyenne est d’environ 1 mm par an et la dégradation de l’audition de 4 à 5 dB par an (vs 5 dB/10 ans si presbyacousie).3 De plus, le risque de croissance rapide dans 20 % des cas justifie une IRM précoce à 6 mois puis avec une fréquence annuelle.
Tumeurs évolutives de petite taille (intracanalaires ou < 15 mm de diamètre dans l’APC) : préférer irradiation en condition stéréotaxique (Gamma Knife) après 40-50 ans sauf si croissance rapide (> 5 mm/an) ; dans ce cas, la chirurgie a sa place (taux de contrôle après irradiation seule nettement plus faible, avec une tumeur ayant beaucoup grossi au moment de la chirurgie, quelques années plus tard).4
Chirurgie : attention à ne pas nuire
Tumeurs moyennes (> 15 mm de diamètre dans l’APC) et de grande taille (> 30 mm) : de plus en plus opérées par voie rétrosigmoïde (derrière l’oreille, afin de préserver l’audition).
Exérèse guidée par la préservation fonctionnelle. Pas systématiquement totale.
Peut être quasi totale ou subtotale si altération peropératoire de l’amplitude des réponses à une stimulation supramaximale du nerf facial.5
Résection partielle envisageable chez les sujets les plus âgés, avec parfois radiochirurgie pour un résultat fonctionnel.
Chirurgie du schwannome : quels progrès ?
Aujourd’hui, la plupart des équipes associent chirurgiens ORL et neurochirurgiens. La technique s’est affinée grâce à de nouveaux outils et méthodes : l’endoscopie de l’espace ponto-cérébelleux et du conduit auditif interne améliore la qualité de la résection, et l’aspirateur ultrasonique accélère l’exérèse tumorale.
1. Sterkers O, Bouccara D, Bozorg Grayeli A, Kalamarides M. Schwannome vestibulaire. In: Brasnu D, et al. Traité d’ORL. Paris: Médecine-Sciences Flammarion; 2008: 125-33.
2. Goldbrunner R, Weller M, Regis J, et al. EANO guideline on the diagnosis and treatment of vestibular schwannoma Neuro Oncol 2020;22:31-45.
3. Bozorg Grayeli A, Kalamarides M, Ferrary E, et al. Conservative management versus surgery for small vestibular schwannomas. Acta Otolaryngol 2005;125:1063-8.
4. Langenhuizen PPJH, Zinger S, Hanssens PEJ, et al. Influence of pretreatment growth rate on Gamma Knife treatment response for vestibular schwannoma: a volumetric analysis. J Neurosurg 2019;131:1405-12.
5. Bernardeschi D, Pyatigorskaya N, Vanier A, et al. Role of electrophysiology in guiding near-total resection for preservation of facial nerve function in the surgical treatment of large vestibular schwannomas. J Neurosurg 2018;128:903-10.
6. Torres R, Nguyen Y, Vanier A, et al. Multivariate Analysis of Factors Influencing Facial Nerve Outcome following Microsurgical Resection of Vestibular Schwannoma. Otolaryngol Head Neck Surg 2017;156:525-33.