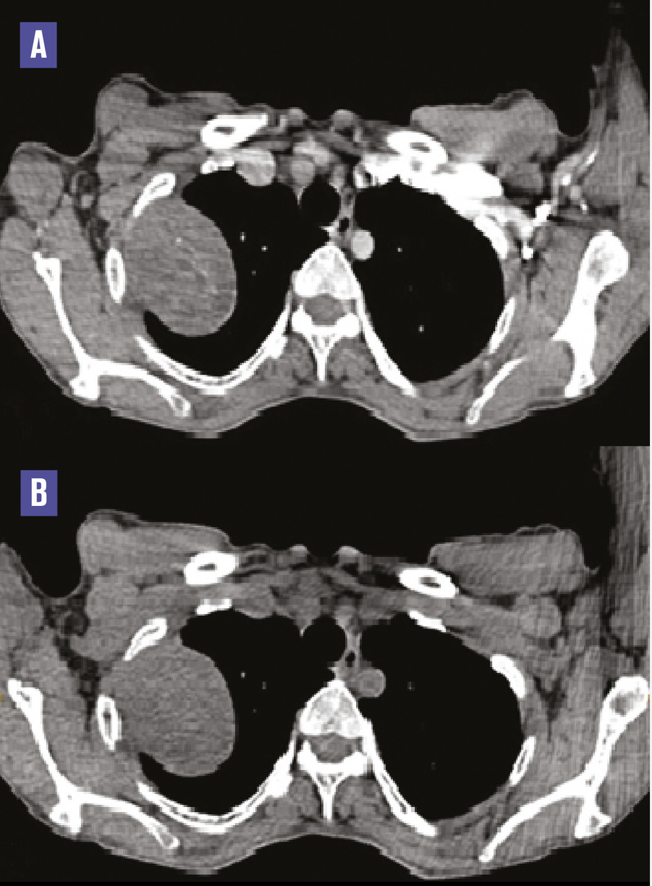
Cette femme de 44 ans était admise aux urgences pour une douleur thoracique aiguë et une dyspnée. La radiographie thoracique montrait une volumineuse opacité du tiers supérieur du poumon droit. La tomodensitométrie (TDM) sans et avec contraste (fig. 1 ) notait une masse bien limitée, de 60 x 46 x 45 mm, tissulaire homogène, faiblement réhaussée, avec une interface nette avec le poumon et un angle avec la 2e côte. L’origine pleurale était évoquée. Une biopsie scannoguidée permettait une analyse histologique en faveur d’un schwannome pleural bénin. En raison de l’aggravation de la dyspnée, une ablation chirurgicale était réalisée : la masse d’implantation pleurale respectait le parenchyme pulmonaire (fig. 2 ).
Le schwannome bénin résulte de la prolifération de cellules de Schwann. Décrit pour la première fois par Verocay en 1910, on doit le terme de schwannome à Masson en 1932.1 Les localisations intercostales et pleurales sont rares. Dans le thorax, 63 % des tumeurs du médiastin postérieur sont neurogènes, les schwannomes sont les plus fréquentes de ces tumeurs chez l’adulte. Ils se développent généralement à partir des nerfs intercostaux du médiastin postéro -supérieur, plus rarement à partir des nerfs vague, phrénique ou récurrent.2 Ils sont plus fréquents chez l’homme que chez la femme et l’âge de prédilection est de 20 à 50 ans.3 Les schwannomes thoraciques sont peu bruyants et se manifestent tardivement par des douleurs thoraciques ou une dyspnée. La TDM thoracique est préférée à la radiographie standard. Le traitement est fondé sur l’exérèse chirurgicale avec étude anatomopathologique.2
Références
1. Beddouche A, Fashi O, Kallat A, et al. Schwannome bénin primitif rétrovésical: une tumeur très rare à propos d’un cas. Pan Afr Med J 2016;23:79.
2. Izzillo R, Lopez I, Perret C, Badaro D, Busy F. Volumineux schwannome bénin pleural. J Radiol 1999;80:866-8.
3. Hu S, Chen Y, Wang Y, Chen KM, Song Q. Clinical and CT manifestation of pleural schwannome. Acta Radiol 2012;40:925-8.
2. Izzillo R, Lopez I, Perret C, Badaro D, Busy F. Volumineux schwannome bénin pleural. J Radiol 1999;80:866-8.
3. Hu S, Chen Y, Wang Y, Chen KM, Song Q. Clinical and CT manifestation of pleural schwannome. Acta Radiol 2012;40:925-8.