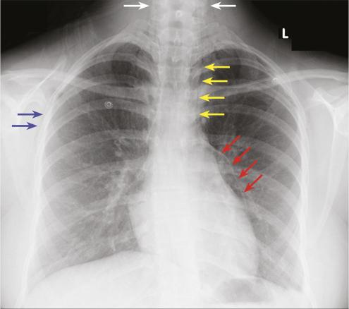
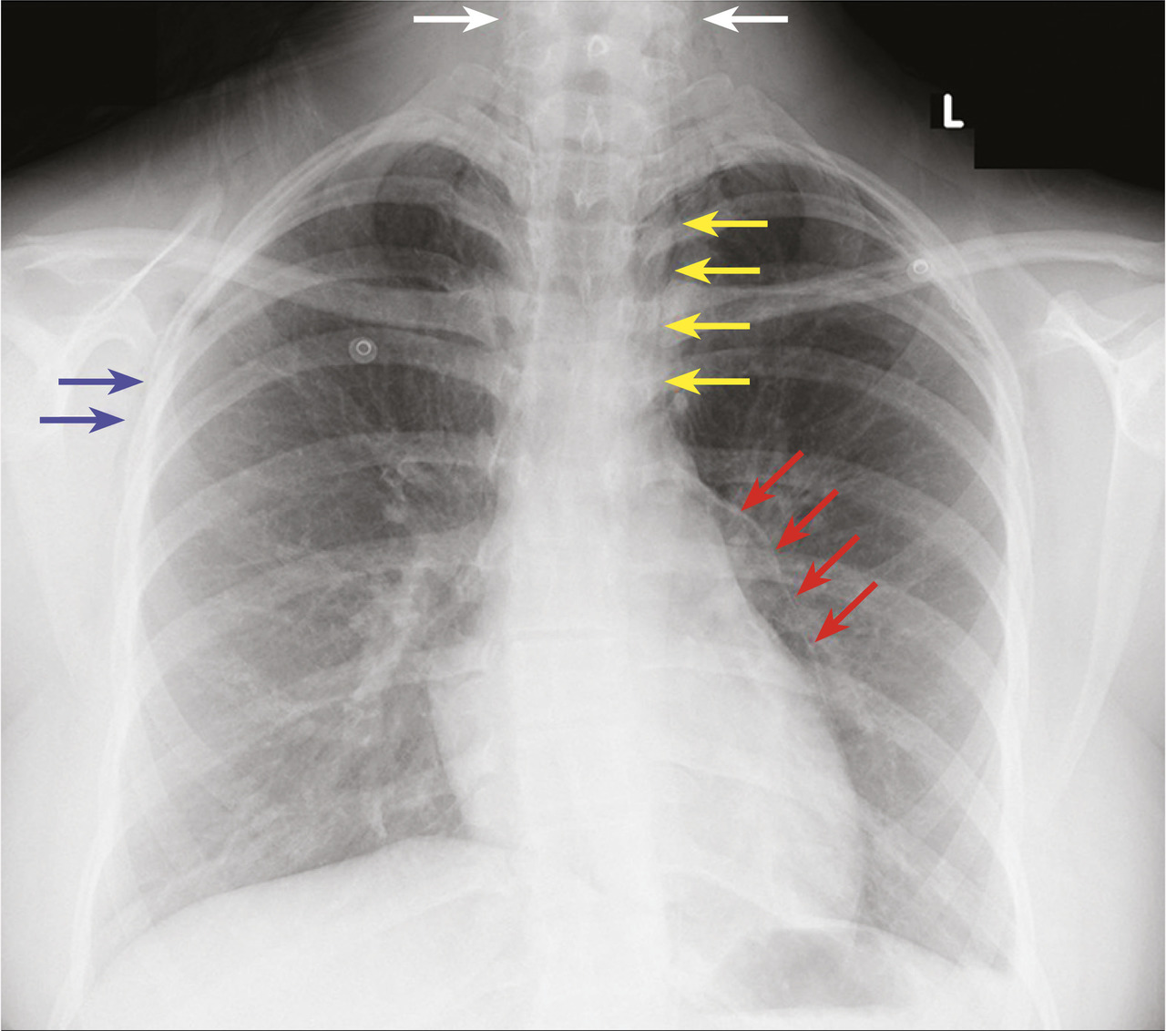
Cette adolescente de 15 ans consultait pour une douleur médiothoracique et cervicale évoluant depuis quelques heures, et une dyspnée sifflante présente depuis 2 jours. Elle avait pour antécédents un eczéma dans la petite enfance et une rhinite allergique. L’examen physique notait des sibilants bilatéraux, une crépitation à la palpation du cou et des creux sus-claviculaires, et une tachycardie régulière avec crépitation rythmée par les bruits du cœur. La saturation en oxygène était à 94 % en air ambiant. La radiographie thoracique (fig. 1) montrait des clartés fines linéaires délimitant le bouton aortique et un emphysème sous-cutané cervico-thoracique, permettant le diagnostic de pneumomédiastin spontané, compliquant une exacerbation d’asthme. Le diagnostic était confirmé par la tomodensi-tométrie(fig. 2). La patiente était surveillée en soins intensifs pendant 72 heures, avec un traitement par corticoïdes systémiques et aérosols de broncho-dilatateurs, puis un traitement de fond par corticostéroïdes inhalés. L’évolution était favorable, avec régression spontanée du pneumomédiastin.
L’exacerbation d’un asthme est la cause la plus fréquente de pneumomédiastin spontané chez l’adolescent,1 par rupture des alvéoles en périphérie des lobules du fait de l’hyperpression intrathoracique. Une douleur brutale, latérothoracique puis médiane, irradiant vers le cou est très évocatrice. L’examen physique montre un emphysème sous-cutané cervical et sus-claviculaire et une crépitation synchrone des bruits du cœur. La radiographie et la tomodensitométrie thoraciques permettent le diagnostic. L’évolution du pneumomédiastin est, en règle générale, spontanément favorable en 72 heures.2
Références
1. Kim SH, Huh J, song J, Kang IS. Spontaneous pneumomediastinum: a rare disease associated with chest pain in adolescents. Yonsei Med J 2015:56:1437-42.
2. Fitzwater JW, Silva NN, Knight CG, Malvezzi L, Ramos-Irizarry C, Burnweit CA. Management of spontaneous pneumomediastinum in children. J Pediatr Surg 2015;50:983-6.
2. Fitzwater JW, Silva NN, Knight CG, Malvezzi L, Ramos-Irizarry C, Burnweit CA. Management of spontaneous pneumomediastinum in children. J Pediatr Surg 2015;50:983-6.
Une question, un commentaire ?