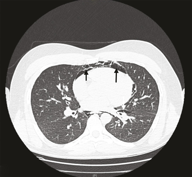
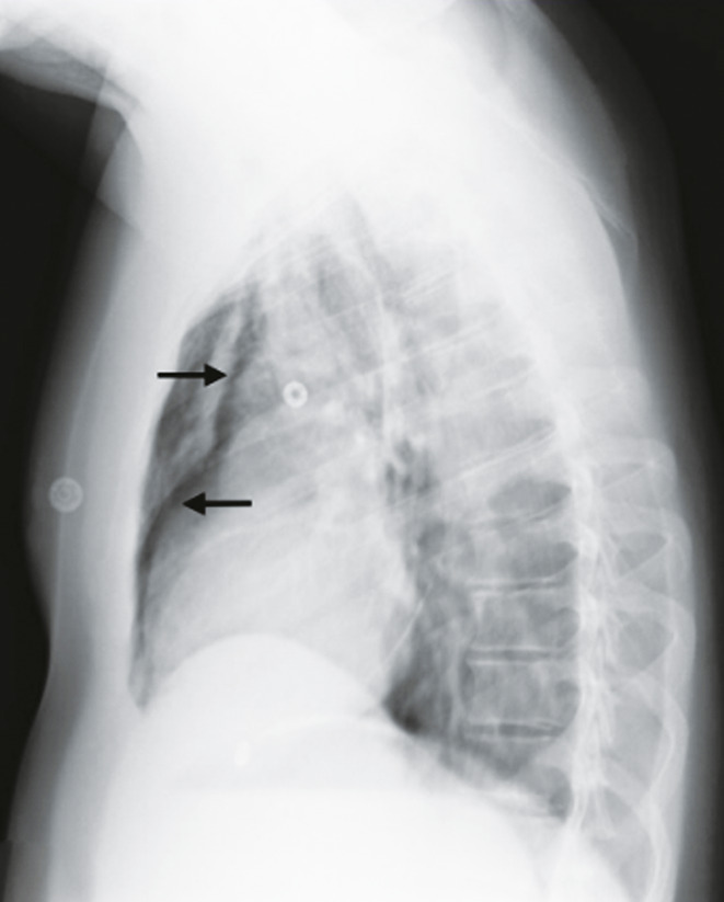
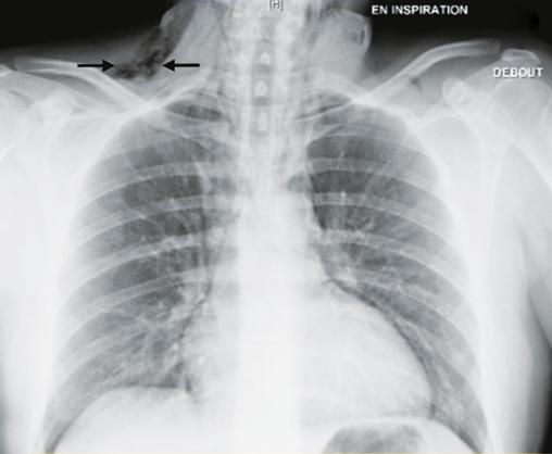
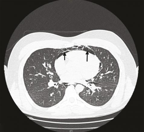
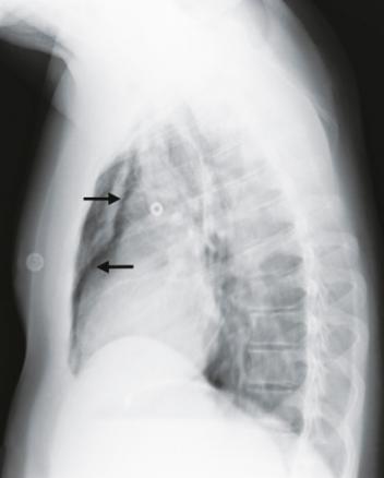
Un homme de 25 ans, sans autre antécédent qu’un tabagisme actif, a ressenti, au décours d’un repas, une douleur cervicale accentuée par la déglutition et une sensation de gêne respiratoire. Il décrivait une atteinte rhinopharyngée peu intense avec une toux grasse depuis 48 heures. Aux urgences, son état hémodynamique n’inspirait pas d’inquiétude, avec une pression artérielle à 151/85 mmHg, une fréquence cardiaque à 90 batt/min, une saturation en oxygène en air ambiant à 95 % et une fréquence respiratoire à 20 cycles/min. Il n’existait pas de notion d’effort à glotte fermée, ni de prise de toxique. L’examen clinique a révélé une rhinopharyngite banale mais surtout un emphysème sous-cutané sus-claviculaire droit (signe de Minnigerode : présence d’air dans la région para-œsophagienne du cou). La radiographie thoracique a mis en évidence un emphysème sous-cutané ainsi qu’un pneumomédiastin (fig. 1 et 2 ). Le patient a été hospitalisé 24 heures dans un service de post-urgence pour surveillance et prise en charge de la douleur. Le scanner thoracique, réalisé le lendemain, a confirmé un pneumo-médiastin de faible abondance ainsi qu’un minime pneumothorax scissural gauche (fig. 3 ). L’état de santé du patient a été réévalué en consultation de pneumologie quatre jours plus tard. L’évolution a été favorable.
Le pneumomédiastin est rare (incidence : 4/100 000) et plus encore s’il est associé à un pneumothorax (1,5 % des pneumomédiastins),1, 2 comme dans le cas de ce patient. L’augmentation de la pression dans les voies respiratoires peut être responsable de pneumomédiastin.3 L’imagerie confirme le diagnostic, notamment la radiographie thoracique. Cette pathologie, très souvent bénigne, nécessite un traitement antalgique et une surveillance simple.
Références
1. Yang Z, Bundrick PE. Subcutaneous emphysema of the neck with pneumomediastinum. JAMA Otolaryngol Head Neck Surg 2020;146:306-7.
2. Kouritas VK, Papagiannopoulos K, Lazaridis G, Baka S, Mpoukovinas I, Karavasilis V, et al. Pneumomediastinum. J Thorac Dis 2015;7(Suppl 1):S44-9.
3. Auffret Y, Petit C, Lapostolle F. La chantilly est mauvaise pour la santé. Ann Fr Med Urgence 2018;8:346.
2. Kouritas VK, Papagiannopoulos K, Lazaridis G, Baka S, Mpoukovinas I, Karavasilis V, et al. Pneumomediastinum. J Thorac Dis 2015;7(Suppl 1):S44-9.
3. Auffret Y, Petit C, Lapostolle F. La chantilly est mauvaise pour la santé. Ann Fr Med Urgence 2018;8:346.
Une question, un commentaire ?
Sur le même thème
Article
Article