La cause d’une péricardite reste le plus souvent inconnue, sauf dans les pays du Sud où la tuberculose est très souvent responsable. Malgré un traitement bien conduit par aspirine/anti-inflammatoires non stéroïdiens et colchicine, entre 20 et 30 % des patients récidivent.
Le péricarde est composé de deux feuillets séparés par une cavité contenant de 15 à 50 mL de plasma ultrafiltré chez les personnes en bonne santé. Dans de nombreuses situations, il peut survenir une inflammation des feuillets péricardiques, ou péricardite aiguë, associée ou non à un épanchement. Si celui-ci est important, les conséquences, telles que la tamponnade et la péricardite constrictive (v. encadré), peuvent être sévères. L’inflammation chronique du péricarde peut évoluer vers la fibrose et la calcification, avec une possible progression vers la constriction. Il convient donc de distinguer différentes entités que sont la péricardite aiguë, qui peut être sèche ou associée à un épanchement, la péricardite récidivante avec (intermittente) ou sans (incessante) intervalle sans symptôme entre les traitements, la péricardite chronique, qui dure au-delà de 3 mois, mais également la péricardite constrictive et la tamponnade.

Quelles causes ?

Les principales causes des péricardites sont résumées dans le tableau ci-contre, mais dans la majorité des cas elle n’est pas identifiée.
Dans les pays développés, la péricardite idiopathique, dite « virale », est le diagnostic final le plus courant. Dans une étude portant sur 259 biopsies effectuées chez des patients ayant un épanchement péricardique important, une cause sous-jacente a été identifiée par des méthodes moléculaires et immunohistologiques principalement comme autoréactive/lympho­cytaire (c’est-à-dire idiopathique ou « virale », 35 %), maligne (28 %), traumatique (c’est-à-dire postchirurgie cardiaque, 15 %) et virale (12 %).1
Le spectre étiologique est différent dans les pays en développement, avec une prévalence élevée de la tuberculose (70 % des péricardites en Afrique subsaharienne et ≥ 90 % lorsqu’elle est associée à une infection par le virus de l’immunodéficience humaine [VIH]).
Certaines caractéristiques se sont avérées être des prédicteurs indépendants d’une cause spécifique ­(péricardite non virale ou non idiopathique) : une fièvre (hazard ratio [HR] : 3,56), l’évolution subaiguë (HR : 3,97), un épanchement péricardique important ou une tamponnade cardiaque (HR : 2,15), et l’échec des anti-inflammatoires non stéroïdiens (AINS) [HR : 2,50].2

Quels mécanismes ?

Après un premier épisode, les récurrences sont fréquentes (20-50 %). La physiopathologie des péricardites récurrentes a longtemps été mal ­comprise. Des données récentes suggèrent fortement des troubles auto-inflammatoires et/ou auto-immuns sous-jacents, avec des infections virales comme déclencheurs possibles. La réponse inflammatoire du système immunitaire inné typique des « maladies auto-inflammatoires » – principalement médiée par les cytokines telles que l’interleukine-1 (IL-1) – a été rapportée chez des patients atteints de péricardite récurrente.3
À l’inverse, les maladies auto-inflammatoires telles que les syndromes périodiques associés à la cryopyrine et la fièvre méditerranéenne familiale sont caractérisées par l’apparition spontanée de poussées inflammatoires intermittentes avec fièvre et sérite incluant fréquemment une péricardite. Dans la péricardite récurrente, le mécanisme auto-inflammatoire peut résulter de l’activation de l’inflammasome par un virus cardiotrope ou un agent non spécifique chez un patient qui a une immunité innée anormale. Cela entraîne la libé­ration de cytokines pro-inflammatoires, y compris les interleukines – principalement l’IL-1 – qui amènent les neutrophiles et les macrophages dans la zone lésée.
Par ailleurs, la réponse inflammatoire du système immunitaire adaptatif, typique des maladies auto-­immunes – principalement médiées par des auto-anticorps ou des lymphocytes T autoréactifs – semble également impliquée dans la péricardite idiopathique récurrente. Des auto-­anticorps anti-cœur ou des auto-­anticorps anti-disque intercalés ont été mis en évidence chez des adultes et ont été associés à un nombre plus élevé de récidives et d’hospitalisations.4

Conduite diagnostique

Une douleur thoracique quasi constante

Le tableau clinique est variable et peut comporter des signes généraux non spécifiques en fonction de la cause sous-jacente. La douleur thoracique est présente dans plus de 95 % des cas, fréquemment intense, de début brutal, augmentée par l’inspiration et améliorée par la position assise penché en avant. Le frottement péricardique à l’auscultation cardiaque est superficiel, rugueux ­(crissement de cuir neuf), ou discret (froissement de la soie), mésocardiaque, mésosystolique ou méso­diasolique. Les anomalies de l’électrocardiogramme à la phase aiguë typique comprennent un sus-décalage ST, un sous-décalage de l’intervalle PQ, des ondes T amples et ­diffuses.

Quelles investigations ?

L’échocardiographie permet de rechercher un épanchement péricardique associé. Les épanchements péricardiques massifs ou ayant un impact hémodynamique sont rares à la phase initiale. Dans une série de 300 patients consécutifs ayant une péricardite aiguë, un épanchement péricardique était présent chez 180 patients (60 %). Il était faible (79 %) ou modéré (10 %) et sans conséquences hémodynamiques dans la majorité des cas, 5 % des patients avaient une tamponnade.5
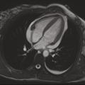
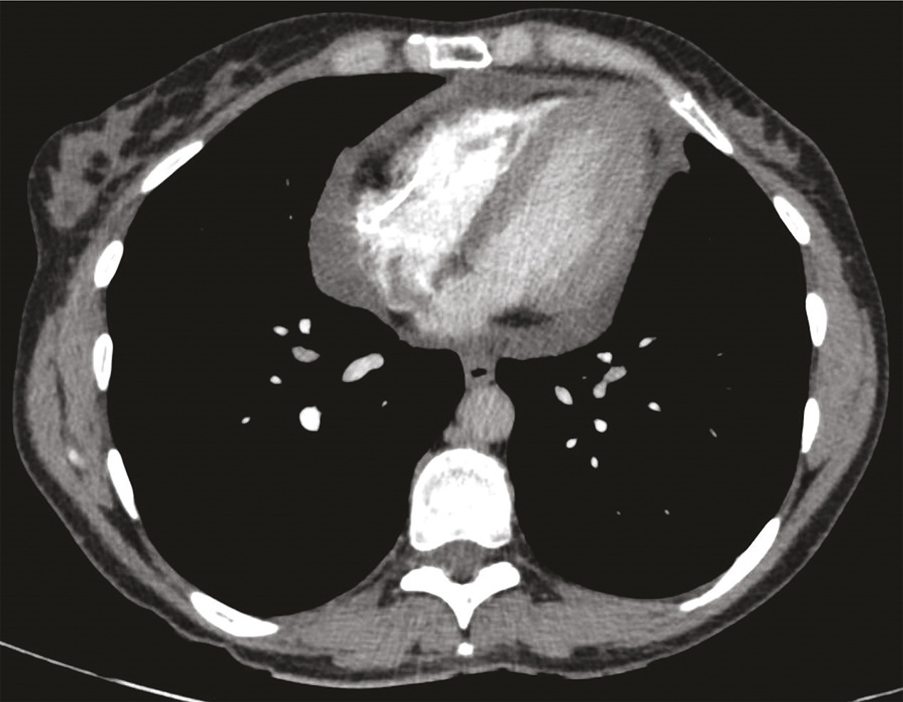
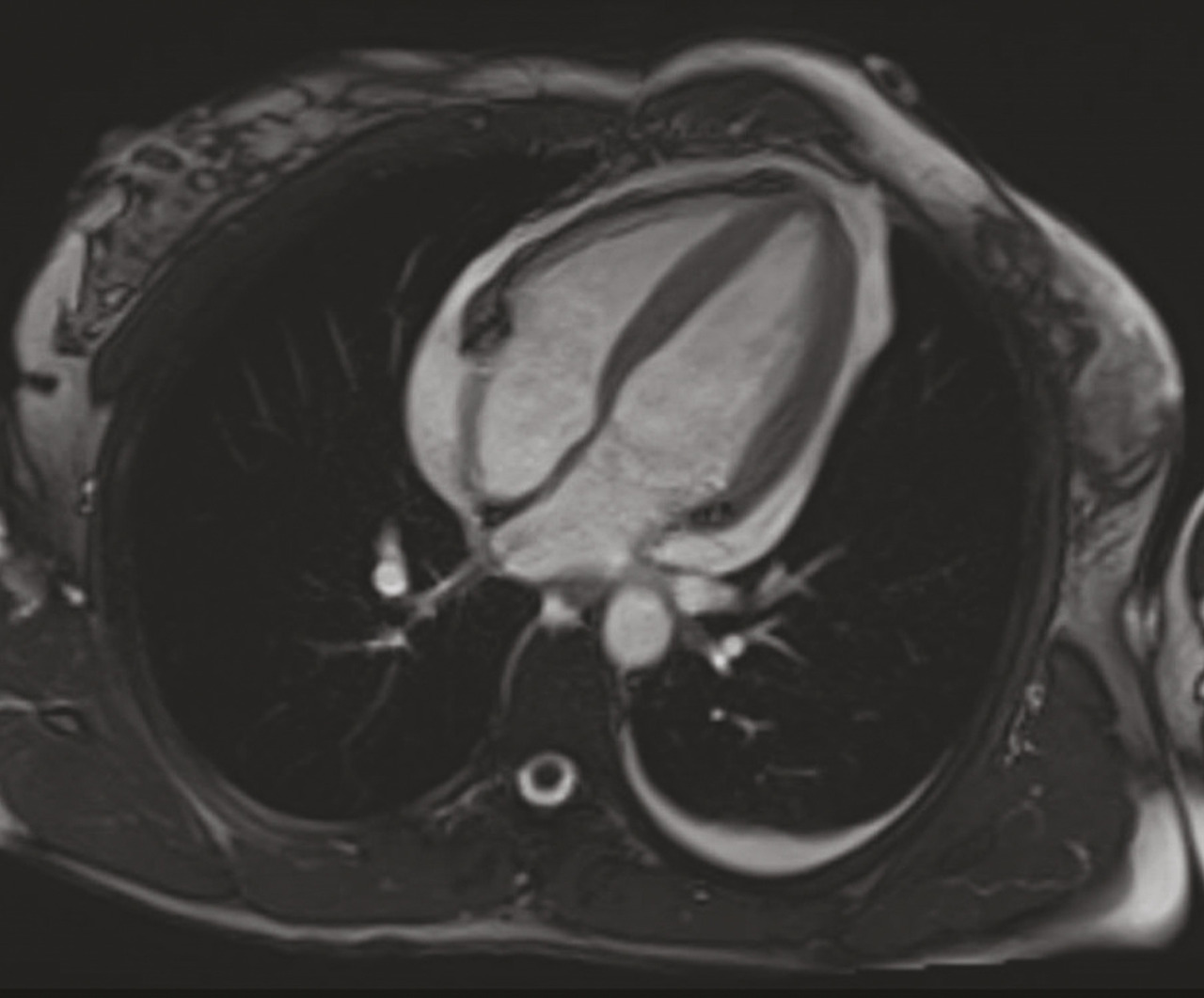
La radiographie de thorax est le plus souvent normale lorsque l’épanchement est modéré. La tomodensitométrie thoracique (fig. 1) peut être utile pour confirmer le diagnostic et rechercher une cause sous-jacente telle que la tuberculose ou un cancer.
L’imagerie par résonance magnétique (IRM) cardiaque (fig. 2) confirme l’inflammation du péricarde, ce dernier étant épaissi et brillant en T2 et rehaussé après injection de gadolinium, et permet de rechercher une myocardite associée. Les biopsies péricardiques sont réservées aux tamponnades récidivantes, aux suspicions de péricardite bactérienne ou néoplasique, et aux cas de péricardites s’aggravant sous traitement sans cause définie.

Quel traitement ?

Le traitement repose avant tout sur celui de la cause sous-jacente lorsqu’elle est identifiée et qu’il est possible (maladies infectieuses, cancers, maladies systémiques…). Le repos est toujours préconisé, l’activité physique pouvant jouer un rôle dans la récidive et l’exacerbation de la péricardite.6

Colchicine et AINS

Le traitement de la péricardite aiguë repose sur l’aspirine (de 650 mg à 1 000 mg 3 fois par jour) et les AINS (par exemple, ibuprofène de 600 à 800 mg 3 fois par jour) qui doivent être utilisés à des doses anti-inflammatoires complètes jusqu’à ce que les symptômes disparaissent et que la protéine C-réactive (CRP) se normalise complètement.7 Il est ensuite nécessaire de diminuer progressivement la dose sur 2 à 4 semaines pour éviter une rechute. L’adjonction de colchicine (0,5 mg/j) pendant 3 mois, en plus de l’aspirine ou des AINS, ­diminue le taux de récidive et la persistance des symptômes à 72 heures, dans la péricardite aiguë, et après une, deux ou de multiples récidives de péricardite.8

Corticostéroïdes ou agents immunosuppresseurs

La place de la corticothérapie et des traitements immunosuppresseurs reste controversée, la corticothérapie pouvant augmenter le taux de récidive et être à risque de dépendance à doses élevées. Un rapport récent a montré que chez les patients atteints de péricardite idiopathique, des récidives malgré un traitement bien conduit avec de l’aspirine ou des AINS et de la colchicine, des stéroïdes ou un agent immunosuppresseur (azathioprine, méthotrexate, mycophénolate mofétil) peuvent aider à contrôler la maladie.9 Les directives actuelles favorisent l’ajout de corticostéroïdes à des posologies faibles à modérées (prednisone 0,2-0,5 mg/kg/j) en cas de réponse incomplète ou de récidives sous aspirine ou AINS et colchicine. Des immunoglobulines intraveineuses ont été proposées dans des cas réfractaires.

L’ère de l’antagoniste des récepteurs de l’interleukine-1

Il existe de plus en plus de preuves de l’efficacité des agents anti-IL-1 tels que l’anakinra, le canakinumab et le rilonacept. L’anakinra, forme recombinante du récepteur antagoniste de l’IL-1, a d’abord montré son efficacité dans la péricardite pédiatrique récurrente, puis chez l’adulte, notamment chez les patients en échec du traitement conventionnel par AINS/colchicine et corticodépendants.10 La dose classiquement administrée est de 100 mg/j par voie sous-cutanée. Les effets indésirables sont mineurs, en règle générale caractérisés par des réactions aux points d’injection et une élévation transitoire des transaminases. Dans un récent essai clini­que multicentrique de phase II, le rilonacept, une protéine de fusion dimérique bloquant l’IL-1, a été utilisé chez 25 patients symptomatiques ou corticodépendants atteints de ­péricardite récidivante idiopathique ou post-péricardiotomie, à une dose de 160 mg par voie sous-cutanée par semaine, avec une bonne efficacité sur la douleur et les taux de CRP.11 Il est à noter que les agents anti-IL-1 doivent être utilisés en tenant compte des éventuelles contre-indications, des maladies infectieuses ou de l’immunosuppression sous-jacente et du risque d’infection. L’anakinra est contre-indiqué en cas d’insuffisance rénale. Le choix thérapeutique doit également prendre en compte le coût de telles molécules, notamment pour le canakinumab.
Les différentes molécules et leur voie d’action sont reprises dans la figure 3.12

Quelle évolution !

Les crises aiguës récurrentes de ­péricardite ont un impact négatif sur la morbidité et la qualité de vie des patients. La présence d’épanchements et de tamponnades importants (HR : 2,51) et l’échec des AINS (HR : 5,50) identifient un risque ­accru de complications au cours du suivi.13 Cependant, le pronostic global à long terme des péricardites récurrentes idiopathiques est très bon. Le risque le plus grave – celui de constriction péricardique – a été estimé à moins de 1 % chez 500 patients, après un suivi médian de 72 mois.14 
Encadre

La péricardite constrictive, une complication rare

La péricardite constrictive est une complication rare de la péricardite aiguë, quelle qu’en soit la cause ; elle est caractérisée par l’altération fibrinocalcique du péricarde entraînant une perte de son élasticité. Le péricarde forme alors une coque rigide autour du cœur empêchant la transmission des pressions intrathoraciques aux cavités cardiaques, limitant le remplissage ventriculaire, et entraînant une insuffisance cardiaque diastolique à fraction d’éjection conservée.

Les symptômes sont variables, comprenant des signes d’insuffisance cardiaque droite et gauche, parfois des douleurs thoraciques et des palpitations. La dilatation des oreillettes peut entraîner une fibrillation atriale, et la fibrose peut se compliquer d’une oblitération des artères coronaires entraînant des complications ischémiques. Une hépatomégalie de stase, une ascite, voire une cirrhose peuvent compliquer le foie cardiaque chronique.

Le diagnostic est conforté par la tomodensitométrie et l’IRM cardiaque, qui permettent la mesure de l’épaisseur du péricarde (> 4 à 6 mm), la recherche de calcifications et de signaux inflammatoires. L’échocardiographie montre une fonction systolique conservée, des anomalies de la fonction diastolique et des anomalies de la cinétique du septum interventriculaire. Le Doppler du flux transmitral montre un profil restrictif. Un cathétérisme cardiaque est parfois nécessaire pour confirmer le diagnostic, notamment en cas de difficultés échographiques.

Dans les formes précoces, le traitement est d’abord celui de l’insuffisance cardiaque par diurétiques. Dans les formes évoluées, la péricardectomie est la seule option thérapeutique chez les patients ayant des symptômes sévères et invalidants. Si elle permet une amélioration des symptômes dans près de 70 % des cas, elle est grevée d’une lourde mortalité (de 4 à 12 % selon les séries) en raison du risque de lésion myocardique peropératoire si le péricarde est très calcifié, de décompensation cardiaque ou encore de rupture ventriculaire.

références
1. Maisch B, Rupp H, Ristic A, Pankuweit S. Pericardioscopy and epi- and pericardial biopsy - a new window to the heart improving etiological diagnoses and permitting targeted intrapericardial therapy. Heart Fail Rev 2013;18:317-28.
2. Imazio M, Cecchi E, Demichelis B, et al. Indicators of poor prognosis of acute pericarditis. Circulation 2007;115:2739-44.
3. Pankuweit S, Wädlich A, Meyer E, Portig I, Hufnagel G, Maisch B. Cytokine activation in pericardial fluids in different forms of pericarditis. Herz 2000;25:748-54.
4. Caforio ALP, Brucato A, Doria A, et al. Anti-heart and anti-intercalated disk autoantibodies: evidence for autoimmunity in idiopathic recurrent acute pericarditis. Heart 2010;96:779-84.
5. Imazio M, Demichelis B, Parrini I, et al. Day-hospital treatment of acute pericarditis: a management program for outpatient therapy. J Am Coll Cardiol 2004;43:1042-6.
6. Soler-Soler J, Sagristà-Sauleda J, Permanyer-Miralda G. Relapsing pericarditis. Heart 2004;90:1364-8.
7. Imazio M, Adler Y. Treatment with aspirin, NSAID, corticosteroids, and colchicine in acute and recurrent pericarditis. Heart Fail Rev 2013;18:355-60.
8. Imazio M, Belli R, Brucato A, et al. Efficacy and safety of colchicine for treatment of multiple recurrences of pericarditis (CORP-2): a multicentre, double-blind, placebo-controlled, randomised trial. Lancet 2014;383:2232-7.
9. Peiffer-Smadja N, Domont F, Saadoun D, Cacoub P. Corticosteroids and immunosuppressive agents for idiopathic recurrent pericarditis. Autoimmun Rev 2019;18:621-6.
10. Brucato A, Imazio M, Gattorno M, et al. Effect of anakinra on recurrent pericarditis among patients with colchicine resistance and corticosteroid dependence: the AIRTRIP randomized clinical trial. JAMA 2016;316:1906-12.
11. Klein A, Lin P, Cremer P, et al. Efficacy and safety of rilonacept in recurrent pericarditis: a multicenter phase 2 clinical trial. Circulation 2019;140:A12851.
12. Cacoub P, Marques C. Acute recurrent pericarditis: from pathophysiology towards new treatment strategy. Heart 2020;106:1046-51.
13. Imazio M, Cecchi E, Demichelis B, et al. Indicators of poor prognosis of acute pericarditis. Circulation 2007;115:2739-44.
14. Imazio M, Brucato A, Adler Y, et al. Prognosis of idiopathic recurrent pericarditis as determined from previously published reports. Am J Cardiol 2007;100:1026-8.

Dans cet article

Ce contenu est exclusivement réservé aux abonnés

Résumé

La péricardite aiguë est une maladie fréquente, le plus souvent idiopathique ou virale. Il s’agit en règle générale d’une affection bénigne mais fréquemment récidivante. L’hypothèse physiopathologique prédominante est celle de troubles dysimmunitaires sous-jacents, mettant en jeu une réponse inflammatoire du système immunitaire inné typique des « maladies auto-inflammatoires », principalement médiée par l’interleukine-1 (IL-1) avec activation de l’inflammasome ; et une réponse du système immunitaire adaptatif, typique des « maladies auto-immunes », principalement médiée par des auto-anticorps et des lymphocytes T autoréactifs. Le tableau clinique associe des signes généraux, une douleur thoracique, des modifications de l’électrocardiogramme et un possible épanchement péricardique à l’échographie. Le traitement repose sur l’association d’aspirine/anti-inflammatoires non stéroïdiens et de colchicine pendant plusieurs semaines. Dans les péricardites réfractaires, une corticothérapie à faible dose et/ou des agents immunosuppresseurs ont été proposés, avec une efficacité limitée. De plus en plus de preuves suggèrent une place des antagonistes des récepteurs IL-1 dans le traitement de la péricardite récurrente. De nombreuses études ont montré l’efficacité de l’anakinra avec un bon profil de sécurité. D’autres antagonistes des récepteurs IL-1 ont montré des résultats prometteurs (canakinumab, rilonacept). Une évaluation plus approfondie dans des essais cliniques prospectifs plus larges est nécessaire pour confirmer l’efficacité à long terme et l’innocuité des anti-IL-1.