Un patient de 24 ans sans antécédent consulte pour une excroissance périanale prurigineuse apparue depuis 2 semaines. L’inspection objective un petit nodule (fig. 1 ).
Le molluscum contagiosum est dû à une infection par Molluscum contagiosum virus (famille des Poxviridae). Il peut s’observer à tout âge mais est particulièrement fréquent chez l’enfant et l’adulte immunodéprimé, notamment les patients infectés par le VIH. La transmission se fait par contact direct (l’infection est parfois considérée comme sexuellement transmise) ou par du linge contaminé. La période d’incubation varie de 2 semaines à 6 mois.
Les lésions sont le plus souvent multiples, leur dissémination étant favorisée par le grattage. Elles ont typiquement la forme de nodules arrondis, de 3 à 5 mm de diamètre, ombiliqués en leur centre, de couleur rosée ou nacrée et dont la pression peut faire sourdre un liquide grisâtre. Les localisations sont diverses (paupières, tronc, région anale, etc.), mais les paumes et les plantes sont le plus souvent épargnées. Les lésions sont indolores ; cependant, au niveau anal, les patients se plaignent parfois de prurit et/ou de suintements.
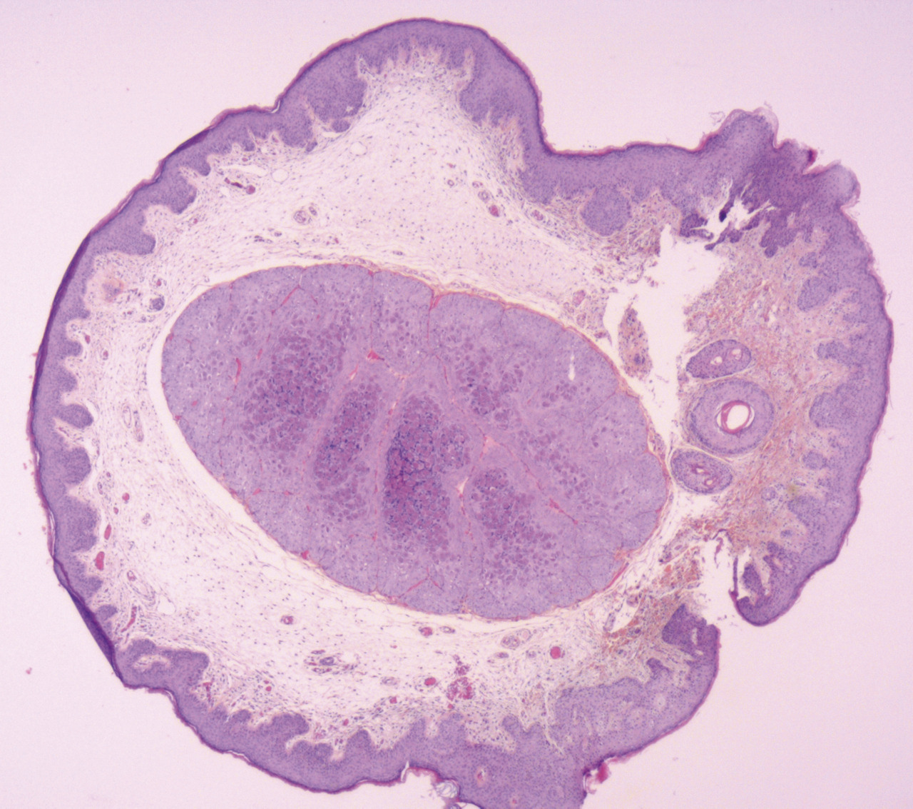
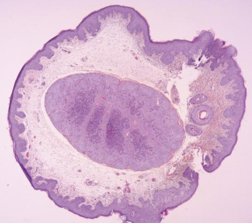
Le diagnostic est clinique. L’histologie n’est utile qu’en cas de doute (fig. 2 ). Les principaux diagnostics différentiels sont le kyste sébacé, le condylome, le molluscum pendulum, le nævus achromique et l’hidradénome papillifère.
Les lésions régressent le plus souvent spontanément en quelques mois. Chez les patients immunodéprimés, ce délai peut toutefois être plus long. En cas de lésions extensives, persistantes et/ou gênantes, on peut proposer une exérèse par curetage, cryothérapie ou coagulation.
Les lésions sont le plus souvent multiples, leur dissémination étant favorisée par le grattage. Elles ont typiquement la forme de nodules arrondis, de 3 à 5 mm de diamètre, ombiliqués en leur centre, de couleur rosée ou nacrée et dont la pression peut faire sourdre un liquide grisâtre. Les localisations sont diverses (paupières, tronc, région anale, etc.), mais les paumes et les plantes sont le plus souvent épargnées. Les lésions sont indolores ; cependant, au niveau anal, les patients se plaignent parfois de prurit et/ou de suintements.
Le diagnostic est clinique. L’histologie n’est utile qu’en cas de doute (
Les lésions régressent le plus souvent spontanément en quelques mois. Chez les patients immunodéprimés, ce délai peut toutefois être plus long. En cas de lésions extensives, persistantes et/ou gênantes, on peut proposer une exérèse par curetage, cryothérapie ou coagulation.
Pour en savoir plus
Chen X, Anstey AV, Bugert JJ. Molluscum contagiosum virus infection. Lancet Infect Dis 2013;13:877-88.
Meza-Romero R, Navarrete-Dechent C, Downey C. Molluscum contagiosum: an update and review of new perspectives in etiology, diagnosis, and treatment. Clin Cosmet Investig Dermatol 2019;12:373-81.
Meza-Romero R, Navarrete-Dechent C, Downey C. Molluscum contagiosum: an update and review of new perspectives in etiology, diagnosis, and treatment. Clin Cosmet Investig Dermatol 2019;12:373-81.
Une question, un commentaire ?
Sur le même thème
Article
Article
Article
Article
Article
Article