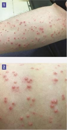
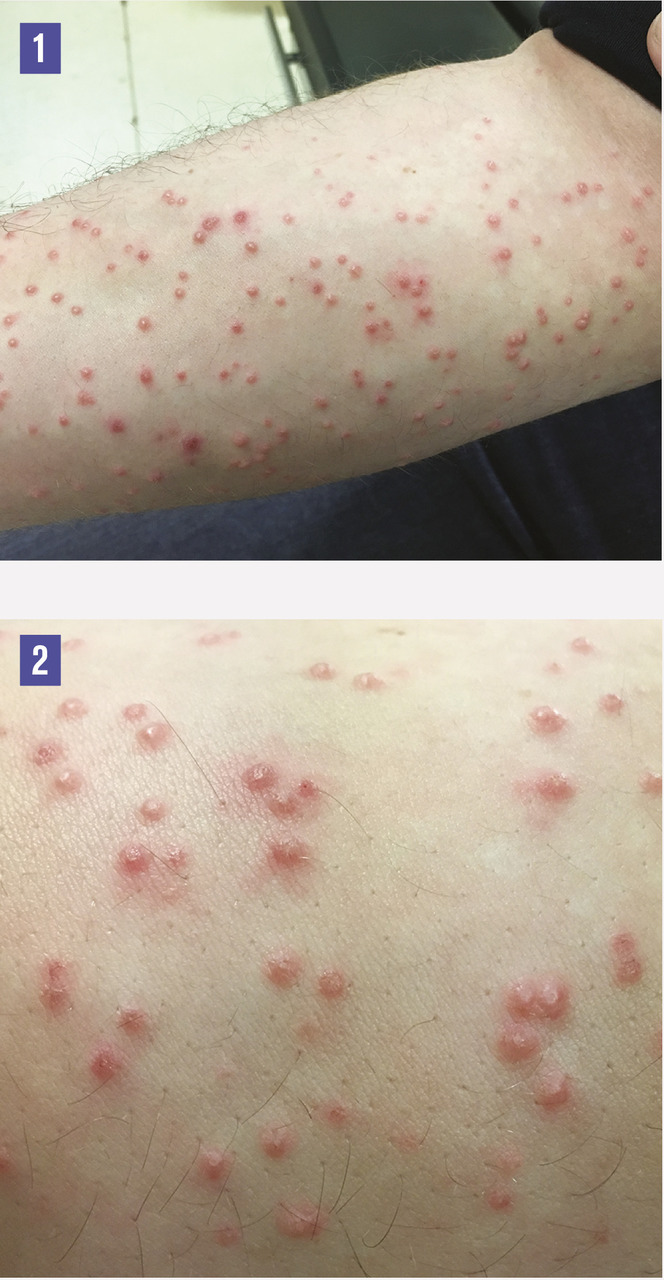
Ce militaire de 30 ans consultait pour une éruption extensive d’évolution lente depuis plusieurs semaines. Initialement au poignet, les lésions atteignaient l’ensemble de l’avant-bras. Il n’existait pas de manifestation associée, ni prurit ni aucune modification environnementale récente, ni cas de punaises de lit dans son entourage. L’examen montrait des papules perlées hémisphériques de couleur rose avec des intervalles de peau saine sans érythème associé (fig. 1 et 2), sans adénopathie satellite. Le patient était adressé en consultation de dermatologie pour avis spécialisé, avec un traitement local par antiseptique. Le dermatologue retenait le diagnostic de molluscum contagiosum, ce qui était confirmé par l’analyse anatomopathologique après biopsie. Un traitement par application topique de Molutrex (hydroxyde de potassium 5 %) permettait la disparition des lésions en quelques semaines.
Le molluscum contagiosum est une tumeur bénigne de la peau exclusivement humaine,1 causée par un poxvirus, touchant l’enfant et l’adulte jeune. La transmission se fait par contact. La période moyenne d’incubation est de 2 à 7 semaines. Les papules perlées hémisphériques, ombiliquées, de 1 à 5 mm de diamètre, sont de la couleur de la peau, ou rose ou blanche.2 Elles peuvent ressembler à des vésicules lorsqu’elles sont translucides, ou être plus grosses (10-15 mm, molluscum géant). Elles peuvent siéger sur toutes les parties du corps. Elles peuvent s’eczématiser (prurit, risque d’infection bactérienne par grattage).3 L’évolution est bénigne, avec une régression des lésions en 2 à 3 mois. Chez les patients immunodé- primés (séropositifs pour le VIH), des lésions extensives de molluscum contagiosum peuvent être un indicateur d’une baisse significative des lymphocytes CD4. L’ablation à la curette est simple et efficace pour les lésions isolées. La cryothérapie est possible. En cas de lésions multiples, des traitements topiques par trétinoïne (hors AMM), nitrate d’argent, ou hydroxyde de potassium (5 %) sont une alternative intéressante. Des mesures d’hygiène locale par savon antiseptique sont préconisées.
Références
1. Birthistle K, Carrington d. Molluscum contagiosum virus. J Infect 1997;34:21-8.
2. Bieder C, Larrègue M. Molluscum contagiosum. J Pediatr Puericulture 1999;12:488-93.
3. Basta-Jusbasic A, Ceovic R. Chancroid, lymphogranuloma venereum, granuloma inguinale, genital herpes simplex infection, and molluscum contagiosum. Clin Dermatol 2014;32:290-8.
2. Bieder C, Larrègue M. Molluscum contagiosum. J Pediatr Puericulture 1999;12:488-93.
3. Basta-Jusbasic A, Ceovic R. Chancroid, lymphogranuloma venereum, granuloma inguinale, genital herpes simplex infection, and molluscum contagiosum. Clin Dermatol 2014;32:290-8.
Une question, un commentaire ?