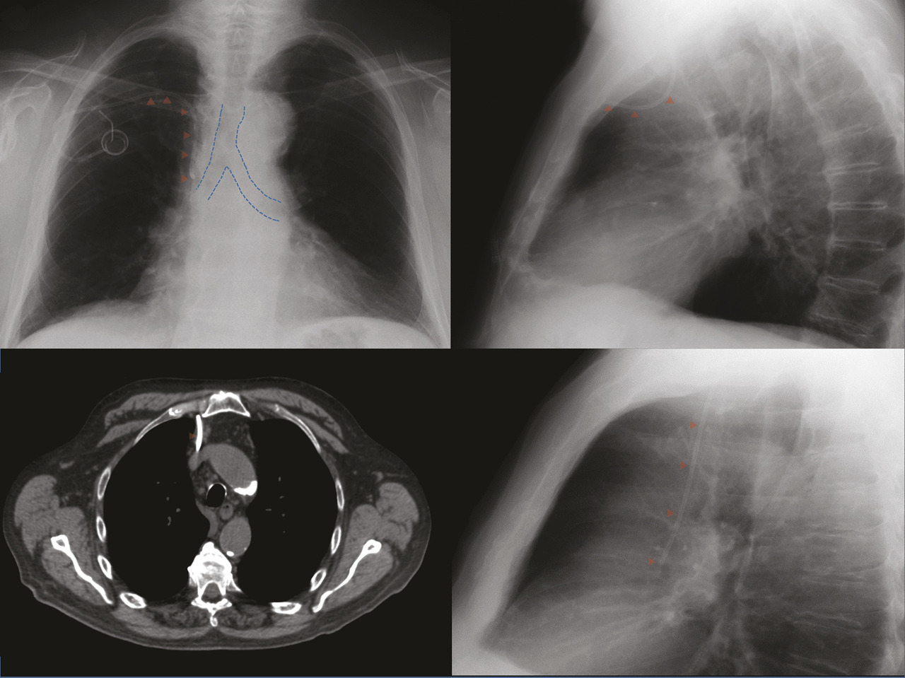
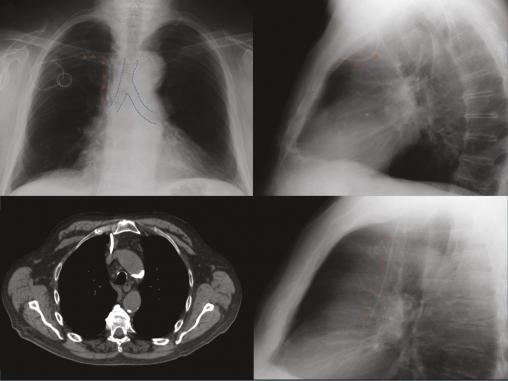
Chez ce patient, une radiographie de thorax était demandée pour contrôler la position d’un cathéter veineux central avec chambre implantable. Sur le cliché de face (fig. 1A ), l’extrémité distale du cathéter pouvait sembler correctement positionnée, mais le cliché de profil (fig. 1B ) montrait une anomalie évidente de trajectoire. La tomodensitométrie (fig. 2 ) confirmait la malposition du cathéter au sein du médiastin antérieur. Pour exemple, la figure 3 montre le trajet d’un cathéter vertical normal vu de profil. Cet exemple montre l’intérêt d’un cliché de profil systématique lors du contrôle de la position d’un cathéter.
La position idéale de l’extrémité distale des cathéters veineux centraux reste controversée. La pointe du cathéter est le plus souvent posi-tionnée dans la portion moyenne de la veine cave supérieure, en dehors du repli péricardique enveloppant la partie basse de cette veine, ce qui correspond à peu près au niveau de la carène, cela afin de prévenir une tamponnade cardiaque en cas de blessure vasculaire.1 il faut cependant éviter une terminaison trop crâniale du cathéter, qui accroît le risque de thrombose.2
Références
1. Schuster M, Nave H, Piepenbrock S, Pabst R, Panning B. The carina as a landmark in central venous catheter placement. Br J Anaesth 2000;85:192-4.
2. Gibson F, Bodenham A. Misplaced central venous catheters: applied anatomy and practical management. Br J Anaesth 2013;110:333-46.
2. Gibson F, Bodenham A. Misplaced central venous catheters: applied anatomy and practical management. Br J Anaesth 2013;110:333-46.
Une question, un commentaire ?