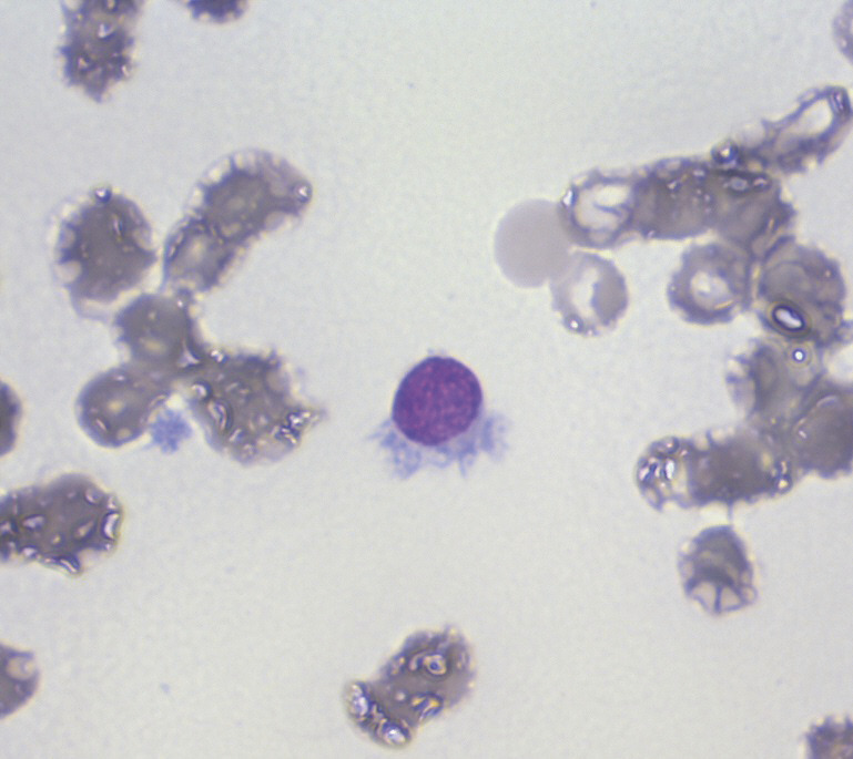
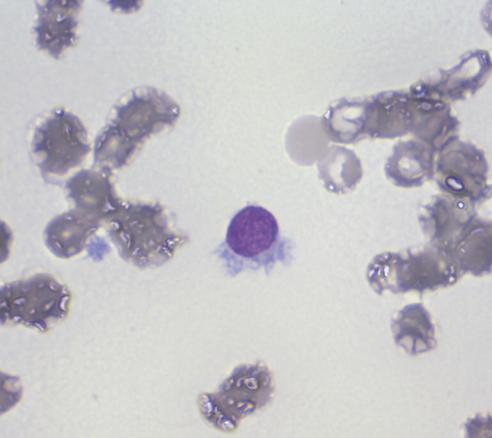
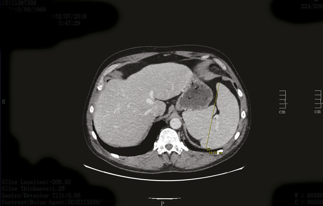
Cet homme de 52 ans, sans antécédent notable, était hospitalisé pour une pneumopathie. Le bilan biologique montrait, outre un syndrome inflammatoire biologique, une pancytopénie prédominant sur la lignée blanche avec une neutropénie à 1 000/mm3, une lymphopénie à 500/mm3 et une monocytopénie entre 0 et 10/mm3. L’évolution de la pneumopathie était favorable sous antibiothérapie. Devant la persistance des cytopénies à distance de l’épisode septique et la présence d’une importante splénomégalie (fig. 1), une relecture attentive du frottis sanguin notait la présence de rares lymphocytes d’aspect « chevelu » (fig. 2). L’immunophénotypage sur sang confirmait le diagnostic de leucémie à tricholeucocytes et un traitement par pentostatine était prescrit (8 cycles de 4 mg/m2).
La leucémie à tricholeucocytes1, 2 est une hémopathie maligne rare (environ 195 nouveaux cas par an en France). Le diagnostic repose sur l’analyse du frottis sanguin et l’immunophénotypage des cellules tumorales. Sur le plan morphologique, les tricholeucocytes ont une membrane externe hérissée de fins prolongements (aspect typique de « lymphocyte chevelu »). Ils expriment classiquement les CD 11c, CD 25, CD 123 et CD 103. L’aspect des cellules dans la moelle est beaucoup moins typique que dans le sang et difficile à mettre en évidence. Sur le plan biologique, on note de manière pratiquement constante une monocytopénie ; celle-ci peut être faussement absente, les résultats par les automates de numération identifiant parfois les tricholeucocytes comme des monocytes. Une splénomégalie est présente dans plus de 80 % des cas, un syndrome ganglionnaire est, en revanche, rarement rapporté.
Références
1. Troussard X, Cornet E. Hairy cell leukemia 2018: Update on diagnosis, risk-stratification, and treatment. Am J Hematol 2017;92:1382-90.
2. Summers TA, Jaffe ES. Hairy cell leukemia diagnostic criteria and differential diagnosis. Leuk Lymphoma 2011;52(Suppl 2): 6-10.
2. Summers TA, Jaffe ES. Hairy cell leukemia diagnostic criteria and differential diagnosis. Leuk Lymphoma 2011;52(Suppl 2): 6-10.
Une question, un commentaire ?
Sur le même thème
Article