Un nourrisson de sexe féminin consulte pour la première fois à l’âge de 9 mois dans notre service pour une lésion évoluant depuis l’âge de 2 mois. Troisième enfant d’un couple sans antécédents notables, née à terme d’une grossesse sans complications, cette petite fille était à jour de ses vaccinations avec un développement normal.
À l’examen clinique, la lésion est angiomateuse frontale, dure à la palpation, indolore, mesurant 8 cm de grand axe, sans autres signes (fig. 1).
L’hémogramme et le bilan d’hémostase sont normaux. L’échographie Doppler et le scanner cervico-facial concluent à un hématome sous-cutané.
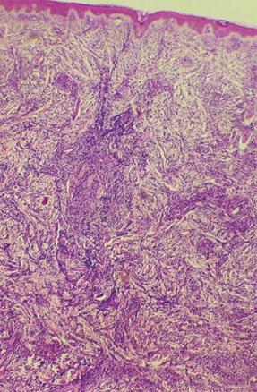
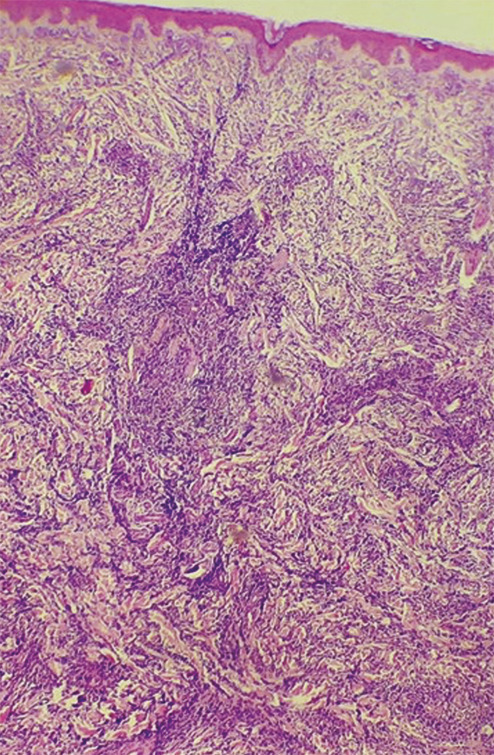
Après concertation pluridisciplinaire, dermatologues et chirurgiens décident d’une biopsie-exérèse. L’étude histologique révèle une infiltration blastique massive (fig. 2) avec expression des antigènes CD20 et CD3, aspect d’une prolifération lymphoïde en faveur d’une leucémie à localisation cutanée.
Deux semaines plus tard, une anémie et une thrombopénie surviennent. Une biopsie de la moelle osseuse objective 60 % de blastes, négatifs pour la myéloperoxydase (MPO) ; l’analyse cytogénétique médullaire est normale et l’immunophénotypage confirme le diagnostic de leucémie aiguë lymphoblastique de type B.
La patiente a été transférée en unité de soins intensifs, mais l’évolution a été malheureusement fatale avant l’initiation du traitement par chimiothérapie.

La leucémie cutanée aleucémique (LCA) est une forme rare de leucémie cutanée (7 %) caractérisée par un tropisme cutané sans blastose médullaire ni sanguine.1 Sa survenue peut poser des difficultés diagnostiques du fait de sa rareté et de sa présentation clinique parfois trompeuse ou discrète. En effet, les symptômes sont polymorphes : de la simple macule ou papule au nodule, de tailles variables (de quelques millimètres à plusieurs centimètres).
L’aspect angiomateux et rapidement évolutif du cas présenté a également fait évoquer d’autres diagnostics tels qu’un hémangioendothéliome kapo­siforme, un rhabdomyosarcome, un fibromyosarcome ou une métastase de neuroblastome. La biopsie cutanée est la clé du diag­nostic, objectivant un infiltrat lymphoblastique dermique ; l’immunohistochimie permet de distinguer les leucémies cutanées aleucémiques des troubles lymphoprolifératifs.3
Le pronostic est mauvais : la LCA évolue le plus souvent en quelques mois vers une leucémie aiguë1, 2 (plutôt myéloblastique [LAM] que lymphoblastique [LAL]).3 Malgré le traitement, le taux de survie à deux ans ne dépasse pas 20 % ;5 La durée moyenne de survie est de 3 à 30 mois après l’apparition des ­cellules leucémiques dans le sang périphérique ou dans la moelle osseuse.1
La leucémie cutanée aleucémique pouvant prendre des aspects divers, il est nécessaire de biopsier au moindre doute toute lésion suspecte ou d’évolution inhabituelle.6

Références

1. Yonal I, Hindilerden F, Coskun R, Dogan OI, Nalcaci M. Aleukemic leukemia cutis manifesting with disseminated nodular eruptions and a plaque preceding acute monocytic leukemia: a case report. Case Rep Oncol. 2011 Sep;4(3):547-54.
2. Andriescu EC, Coughlin CC, Cheng CE, Prajapati VH, Huang JT, Schmidt BA, et al. Pediatric leukemia cutis: A case series. Pediatr Dermatol. 2019 Sep;36(5):658-63.
3. Eberst E1, Michel B, Stoebner P, Dandurand M, Meunier L. Spontaneous remission of congenital leukemia cutis. Ann Dermatol Venereol. 2011 Aug-Sep;138(8-9):586-90.
4. Desch JK, Smoller BR.The spectrum of cutaneous disease in leukemias. J Cutan Pathol. 1993;20:407-10.
5. Torrelo A, Madero L, Mediero IG, Bano A, Zambrano A. Aleukemic congenital leukaemia cutis. Pediatr Dermatol. 2004;21:458-61.
6. Rencic A, Ramnarayanan J: Leukemia cutis. eMedicine Dermatology. Available from: http://www.emedicine.com/derm/topic924.htm

Une question, un commentaire ?