Objectifs
Diagnostiquer et traiter une gonococcie, une chlamydiose, une syphilis récente et tardive, une infection génitale à HPV, une trichomonose
Connaître les principes de la prévention et du dépistage des IST, notamment chez les partenaires. Connaître les principes de prévention et dépistage des infections à HPV, frottis et vaccination.
Chaque jour, sur la planète, l’Organisation mondiale de la santé (OMS) rapporte que plus d’un million de personnes contractent une infection sexuellement transmissible (IST). Par an, il est rapporté 131 millions de cas de Chlamydia trachomatis, 78 millions de Neisseria gonorrhoeae, 6 millions de syphilis, 142 millions de Trichomonas vaginalis, 417 millions d’Herpes simplex de type 2 et 291 millions de femmes porteuses du papillomavirus humain. Dans la majorité des cas, les IST sont asymptomatiques ou s’accompagnent de symptômes bénins qui ne sont pas toujours reconnus comme ceux d’une IST. Dans certains cas, les IST peuvent avoir de graves conséquences sur la santé reproductive allant au-delà des conséquences immédiates, telles que la stérilité, ou la transmission des infections de la mère à l’enfant.

Gonococcie [Pr Béatrice Berçot]

Introduction

La gonococcie est une affection due à Neisseria gonorrhoeae, ou gonocoque, qui est une bactérie strictement humaine à Gram négatif en forme de diplocoque extra- ou intracellulaire. Elle est transmise par contact direct, essentiellement à l’occasion des rapports sexuels, entre une personne infectée, symptomatique ou non, et une autre personne. Parmi les IST non virales, la gonococcie est une des IST les plus répandues dans le monde après les infections à Trichomonas vaginalis et à Chlamydiae trachomatis. Après un pic dans les années 1970, l’incidence de la gonococcie a considérablement diminué dans les pays de l’Europe de l’Ouest. En revanche, on assiste depuis 1998 à une recrudescence de cette affection. Cette tendance évolutive est également rapportée en France comme le suggèrent les données à la fois des réseaux Rénago et RésIST et des centres d’IST. En 2016, selon Santé publique France, dans une enquête réalisée auprès des laboratoires de biologie, 49 628 nouveaux cas étaient rapportés en France. Dans les recueils réalisés par les réseaux de cliniciens, 71 % des patients atteints étaient des homosexuels masculins d’âge moyen de 29 ans. Les hommes hétérosexuels avaient en moyenne 25 ans et les femmes 22 ans. La proportion de co-infection avec le VIH était stable sur les dernières années à 14 %.

Clinique

La période d’incubation est contagieuse et dure de 2 à 7 jours. Les formes cliniques varient selon le sexe et le site d’infection.

Chez l’homme

L’urétrite antérieure aiguë est la manifestation clinique la plus typique. Elle est responsable de brûlures mictionnelles, d'un écoulement urétral purulent (fig. 1), classiquement jaune verdâtre, et d’une méatite inflammatoire (avec parfois une balanite).
L’infection génitale asymptomatique existe également chez l’homme.
Une infection gonococcique non diagnostiquée et non traitée peut entraîner des complications locorégionales : abcédation, prostatite et épididymite.

Chez la femme

L’infection gonococcique est le plus souvent asymptomatique (70 % des cas).
La cervicite peut présenter un col d’aspect normal ou parfois enflammé avec du pus provenant de l’orifice cervical. Elle peut entraîner une pesanteur pelvienne, des leucorrhées purulentes volontiers associées à une urétrite (brûlures mictionnelles, dysurie, œdème et rougeur du méat).
En l’absence de traitement, l’infection gonococcique peut être responsable de complications sur le haut appareil génital avec notamment les salpingites, les stérilités tubaires, les algies pelviennes inflammatoires et les risques de grossesse extra-utérine.

Dans les deux sexes

L’atteinte ano-rectale est le plus souvent asymptomatique (deux tiers des cas). Elle peut entraîner un prurit anal ou une anite avec écoulement anal purulent. Il est parfois rapporté des selles enrobées de pus, une diarrhée, des saignements anaux, des douleurs périnéales et des sensations de défécation incomplète.
L’oropharyngite est le plus souvent asymptomatique. La mauvaise diffusion des antibiotiques dans cette localisation est une fréquente cause de portage persistant après traitement et maintien de la chaîne de contamination.
La conjonctivite est possible (manuportage).
Dans de rares cas, le gonocoque peut être responsable d’un tableau septicémique subaigu caractérisé par la survenue d’une fièvre et dominé par les manifestations articulaires (mono- ou oligo­arthrites), péri-articulaires (ténosynovites) et cutanées (papules ou papulo-pustules isolées de topographie distale). Des complications graves (endocardite, méningite) ont été rarement décrites.

Diagnostic

Dans l’idéal, les prélèvements sont effectués le matin avant émission d’urine ou toilette génito-urinaire avec un écouvillon de coton ou de plastique :
  • sur un écoulement urétral ou cervical
  • en l’absence d’écoulement :
. par auto-écouvillonnage vaginal chez la femme ;
. par auto-écouvillonnage endo-urétral chez l’homme ;
. par recueil du premier jet d’urine pour PCR.
Un prélèvement pharyngé et anal doit être systématiquement associé chez les patients pratiquant la fellation et la sodomie.
Les prélèvements sont envoyés au laboratoire dans un milieu de transport permettant de conserver la viabilité des bactéries jusqu’à la prise en charge au laboratoire. La recherche de gonocoque doit être obligatoirement spécifiée pour le laboratoire et doit être effectuée avant toute antibiothérapie. La demande d’un examen cytobactériologique des urines (ECBU) n’est pas valable pour la recherche d’un gonocoque. Le premier jet d’urine n’est pas recommandé chez la femme.

Examen direct

L’examen direct d’un écoulement met en évidence après coloration par le bleu de méthylène ou le Gram, des diplocoques intra­cellulaires Gram négatif « en grains de café ». La sensibilité de cet examen par rapport à la culture est proche de 95 % chez l’homme symptomatique. La sensibilité de l’examen direct est très faible pour les prélèvements cervicaux-vaginaux et extragénitaux (pharyngés, anorectaux).

Culture

Il faut préciser sa demande car les cultures sont effectuées sur milieux enrichis : gélose au sang cuit (Thayer-Martin, Isovitalex) avec et sans adjonction d’antibiotiques (VCAT : vancomycine, colistine, amphotéricine B et triméthoprime). Les colonies poussent en 24 à 48 heures. Lorsque les cultures sont positives, un antibiogramme est fortement recommandé.
Du fait de la fréquence croissante des souches de gonocoques multirésistants, la recherche de gonocoque en culture doit être renforcée et couplée à la PCR car c’est la seule manière d’obtenir la sensibilité du germe par la réalisation d’un antibiogramme.

Détection des antigènes

Leur manque de spécificité et de sensibilité les ont fait abandonner.

Biologie moléculaire : tests d’amplification des acides nucléiques

Ce sont les outils les plus utilisés en pratique courante. Ils sont particulièrement intéressants chez la femme (col utérin et écouvillonnage vulvo-vaginal) et dans les sites pharyngé et anal où la sensibilité de la PCR est supérieure à celle de la culture qui reste peu sensible. La plupart des tests sont la PCR en temps réel qui détecte en duplex l’ADN du gonocoque et de Chlamydia trachomatis. Chez les sujets asymptomatiques, les tests d’amplification des acides nucléiques (TAAN) sont effectués sur le premier jet d’urine chez l’homme et par auto-écouvillonnage vulvo-vaginal chez la femme. En cas de test positif une culture doit être pratiquée pour effectuer un antibiogramme. Chez les sujets symptomatiques, les tests d’amplification des acides nucléiques peuvent être couplés à la culture pour augmenter la sensibilité du diagnostic.

Traitement


Traitement des gonococcies uro-génitales basses

L’histoire thérapeutique des gonococcies est marquée par l’émergence mondiale successive de résistance à la pénicilline G, aux cyclines (64 %) puis aux fluoroquinolones (41 %) respectivement évaluée à plus de 70 %, 64 % et 37,2 % en France en 2017.
Les antibiotiques actuellement recommandés sont :
La ceftriaxone : une injection unique intramusculaire de 500 mg. C’est l’antibiothérapie de choix du fait (i) des concentrations minimales inhibitrices (CMI) basses rapportées chez les souches sensibles ; (ii) d’une excellente diffusion dans le cadre des gonococcies génitales et extragénitales notamment dans la localisation pharyngée ; (iii) d’une tolérance excellente avec d’exceptionnels accidents anaphylactiques. Les céphalosporines de troisième génération (C3G) orales doivent être abandonnées car elles présentent une mauvaise diffusion pharyngée et n’éradiquent donc pas le portage. Ainsi, elles ont été impliquées dans l’émergence de gonocoques de sensibilité diminuée aux C3G au niveau pharyngé en favorisant la recombinaison entre le gonocoque et les Neisseriae commensales.
La spectinomycine 2 g en dose unique en intramusculaire (IM) n’est plus disponible. La gentamicine est utilisée en Afrique depuis de nombreuses années. Le traitement est mal codifié (240 mg IM dose unique). Les résistances sont exceptionnelles mais la diffusion pharyngée est mauvaise.
L’azithromycine ne peut être active dans les gonococcies qu’à des doses élevées (2 g) qui entraînent alors des troubles digestifs importants. En conséquence cet antibiotique n’a pas de place actuellement dans cette indication, d’autant que des résistances apparaissent rapidement et sont supérieures à 5 % en France en 2017.
Lors d’une forte suspicion de gonococcies (urétrite, cervicite), il est préconisé de traiter avant même de recevoir le résultat micro­biologique. De plus, il est alors préconisé d’y associer systématiquement un traitement anti-chlamydiose.

Traitement des autres gonococcies

Le tableau résume la prise en charge des autres infections à Neisseria gonorrhoeae.

Surveillance

Les rapports doivent être protégés pendant les 7 jours suivant le traitement.
Un contrôle clinique est recommandé à J7 en cas d’absence de guérison avec la réalisation de cultures et contrôle de la sensibilité de la souche par un nouvel antibiogramme ; la prescription d’un traitement alternatif pourra être envisagé. Les TAAN restent positifs jusqu’à 3 semaines après le traitement même si le patient est guéri et ne doivent pas être demandés dans cet intervalle de temps.
Un contrôle des sites atteints asymptomatiques est préconisé 6 semaines après le traitement.

Chlamydiose [Dr Bertille de Barbeyrac]

Introduction

Chlamydia trachomatis est une bactérie intracellulaire obligatoire (fig. 2) dont les sérotypes D à K sont responsables d’infections urogénitales sexuellement transmises. Depuis quelques années, on assiste à une augmentation de l’incidence des infections à Chlamydia trachomatis chez les jeunes, aussi bien chez les femmes que chez les hommes. La fréquence élevée du portage asymptomatique dans les 2 sexes favorise la diffusion de l’infection dans la population générale. Les infections à Chlamydia trachomatis représentent un problème de santé publique devant les complications qu’elles entraînent chez la femme (salpingites, stérilité, algies pelviennes chroniques). Parallèlement, on assiste également à une résurgence de lymphogranulomatose vénérienne rectale liée aux sérotypes L1, L2 et L3 (plus de 700 cas en 2018) chez les hommes ayant des rapports sexuels avec les hommes (HSH). En 2016, Santé publique France, dans une enquête auprès des laboratoires de biologie, recensait 267 097 infections à Chlamydia trachomatis. En 2018, la Haute Autorité de santé (HAS) recommandait :
  • un dépistage opportuniste systématique des femmes sexuellement actives de 15 à 25 ans (inclus), y compris les femmes enceintes ;
  • un dépistage opportuniste ciblé :
. des hommes sexuellement actifs, présentant des facteurs de risque, quel que soit l’âge ;
. des femmes sexuellement actives de plus de 25 ans présentant des facteurs de risque ;
. des femmes enceintes consultant pour une interruption volontaire de grossesse (IVG), sans limite d’âge.
Les principaux facteurs de risque identifiés sont : multipartenariat (au moins deux partenaires dans l’année), changement de partenaire récent, individus ou partenaires diagnostiqués avec une autre IST (Neisseria gonorrhoeae, syphilis, VIH, Mycoplasma genitalium), antécédents d’IST, HSH, personnes en situation de prostitution et après un viol.

Clinique


Chez l’homme

Asymptomatique (urine, pharynx, anus).
Urétrites non gonococciques (entre 20 % et 50 %). Brûlure mictionnelle transitoire avec parfois un écoulement clair, modéré et intermittent. L'incubation est très variable, de quelques jours à quelques mois.
Complications : l’épididymite aiguë et la prostatite.

Chez la femme

Asymptomatique (vagin, pharynx, anus).
La cervicite est la manifestation la plus fréquente. Elle se traduit par des leucorrhées jaunes ou blanches, parfois peu différentes en aspect et quantité des pertes physiologiques, remplacées par des cystalgies, un syndrome urétral, une dyspareunie, un spotting. L’examen au spéculum peut montrer une fragilité du col de l’utérus, des sécrétions mucopurulentes, parfois un ectropion friable et hémorragique. Il s’agit le plus souvent d’une découverte d’examen gynécologique systématique ou motivée par l’urétrite du partenaire ou d’un comportement sexuel à risque. Le col peut aussi être parfaitement normal.
Risque de transmission pendant l’accouchement avec la survenue de pneumopathies et de kératoconjonctivites chez le nouveau-né.
Complications :
  • la salpingite (aiguë, subaiguë ou chronique) de diagnostic tardif et difficile sur de vagues douleurs abdominales, en particulier au moment des règles, avec à terme un risque de stérilité tubaire et de grossesse extra-utérine. À l’examen, il existe une douleur au toucher vaginal et un empâtement d’un cul-de-sac vaginal. Chlamydia trachomatis est responsable de 50 % des salpingites chez les femmes jeunes et de 70 % des stérilités tubaires.
  • les péri-hépatites (syndrome de Fitz-Hugh-Curtis).

Dans les deux sexes

Pharyngite.
Anorectite avec recherche de lymphogranulomatose vénérienne.
Kératoconjonctivites.
Arthrites.
Syndrome de Fiessinger-Leroy-Reiter. Il s’agit d’arthrites réactionnelles, survenant après une urétrite, le plus souvent chez un homme (sex-ratio 50/1) jeune et associant : une conjonctivite bilatérale, des signes articulaires (polyarthrite asymétrique aiguë ou subaiguë touchant surtout les grosses articulations des membres inférieurs volontiers associée à une atteinte axiale, des talalgies et des tendinites) et des signes cutanéomuqueux (balanite circinée, lésions psoriasiformes).

Diagnostic


Direct par biologie moléculaire : tests d’amplification des acides nucléiques (TAAN)

Ce sont les seuls tests recommandés en France (Journal officiel, 2011). Chez les hommes, les TAAN sont effectués sur le premier jet d’urine ; par contre, chez la femme, l’échantillon vaginal (par le clinicien ou en auto-prélèvement) est préféré au prélèvement urinaire. La plupart des tests sont le duplex gonocoque-Chlamydia.

Diagnostic indirect par sérologie

Elle n’a pas d’intérêt dans le diagnostic des infections à Chlamydia trachomatis basse ou haute. Elle peut être une aide à la prise en charge chez un patient suspect d’infection disséminée (salpingite, arthrite, lymphogranulomatose vénérienne).

Traitement


Traitement des chlamydioses urogénitales basses

Deux traitements principaux sont disponibles contre les chlamydioses :
  • doxycycline per os : 100 mg x 2/j pendant 7 jours ;
  • azithromycine : 1 g par voie orale en dose unique.
La dernière méta-analyse publiée sur le sujet en 2019 a conclu qu’il y avait moins d’effets secondaires sous azithromycine que sous doxycycline chez les femmes, mais que l’azithromycine semblait légèrement moins efficace chez les hommes que la doxycycline.
À ceci, il faut rajouter la moins bonne diffusion au niveau rectal de l’azithromycine décrite par certaines équipes scientifiques et le risque d’émergence de résistance, entre autres pour le Myco­plasma genitalium à cet antibiotique. Cependant, dans le contexte de prise en charge d’IST, chez des patients souvent peu observants, l’azithromycine offre l’avantage d’une prise unique indéniable.
D’autres traitements sont efficaces mais ne doivent être prescrits qu’en deuxième intention. Il s’agit de l’érythromycine à la posologie de 500 mg x 4/j pour 7 jours ou de l’ofloxacine à raison de 200 mg × 2/j pour 7 jours. L’ofloxacine est aussi efficace que l’azithromycine ou la doxycycline mais son coût et l’absence de dose unique en font un médicament de deuxième intention.
Comme dans toute IST, le traitement du partenaire est primordial.

Traitement des autres chlamydioses

Le tableau résume la prise en charge des autres infections à Chlamydia trachomatis.
Le traitement de la lymphogranulomatose vénérienne est la prise de doxycycline 100 mg x 2/j pendant 3 semaines. Le diag­nostic de lymphogranulomatose vénérienne se fait sur l’identification d’une souche L par typage moléculaire (CNR des IST bactériennes).

Surveillance

Les rapports doivent être protégés pendant les 7 jours suivant le traitement.
Un contrôle des sites atteints est préconisé 3 à 6 mois après le traitement et tous les 3 mois chez les hommes ayant des caractères sexuels avec des hommes (HSH).

Syphilis [Dr Johan Chanal]

Introduction

L’incidence de la syphilis augmente d’année en année depuis les années 2000. Il est important de bien comprendre et de reconnaître les différents stades de cette maladie afin d’adapter le traitement et de stopper la chaîne de transmission.
La syphilis précoce est définie par une évolution datant de moins d’un an. Après le rapport sexuel en cause, l’incubation est en moyenne de 3 semaines (10-90 jours) avant l’apparition du chancre. La syphilis précoce est la période la plus riche en tréponèmes, il s’agit donc de la période où le risque de contagion est maximal (50 % par rapport sexuel).
Elle regroupe :
  • la syphilis primaire (définie par la présence du chancre syphilitique) ;
  • la syphilis secondaire (définie par les manifestations cliniques essentiellement cutanéomuqueuses de la bactériémie syphilitique). La grande majorité des manifestations secondaires survient dans l’année qui suit le chancre ;
  • et la syphilis sérologique (ou latente) précoce. Sérologie syphilitique positive mais absence à l’interrogatoire et à l’examen physique d’argument pour une syphilis, mais rapport à risque et/ou précédent bilan négatif il y a moins d’un an.
L’atteinte neurologique parenchymateuse est exceptionnelle dans ces formes de syphilis. Il n’y a donc pas d’intérêt à réaliser une analyse du liquide céphalo-rachidien (LCR) et une seule injection de benzathine pénicilline G en IM suffit dans la très grande majorité des cas. Il est néanmoins nécessaire de bien interroger les patients sur la présence de signes cliniques neurologiques ou ophtalmologiques (troubles visuels, bourdonnements d’oreille, vertiges…). En 2016, Santé publique France décrivait à travers les réseaux de cliniciens 1 371 cas de syphilis en France. Près de la moitié étaient classés en latente précoce, c’est-à-dire sous une forme asympto­matique. Sur le territoire métropolitain, plus de 80 % des cas étaient rapportés chez des homosexuels masculins. Par contre, dans les territoires d’outre-mer, de plus en plus de cas chez les femmes sont rapportées entraînant une réaugmentation des cas de syphilis congénitale.

Clinique

La syphilis est « la grande simulatrice ». Il faut savoir l’évoquer devant de très nombreux signes cliniques.

Syphilis primaire

Le chancre syphilitique est constant, cependant ce diagnostic peut être difficile :
  • en cas de chancre profond (cervicovaginal, rectal, pharyngé) ;
  • lorsque l’ulcération n’a pas les caractères classiques du chancre syphilitique (fig. 3) [unique, muqueux, induré, indolore, superficiel et propre].
Tous les aspects cliniques sont possibles (fig. 4-7). C’est pourquoi devant toute ulcération génitale il faut toujours évoquer la syphilis.
Le chancre s’accompagne d’une adénopathie régionale qui ne fistulise pas. Elle peut être profonde (chancre cervical et rectal). Des cas de syphilis ont été pris pour des hémopathies, en particulier lors de chancres cervicaux passés inaperçus.
Généralement, le chancre guéri spontanément en 2 à 6 semaines sans laisser de cicatrice.

Syphilis secondaire

Elle succède à une syphilis primaire non traitée. Elle est inconstante (environ un tiers des patients).
La syphilis secondaire a principalement un tropisme cutané :
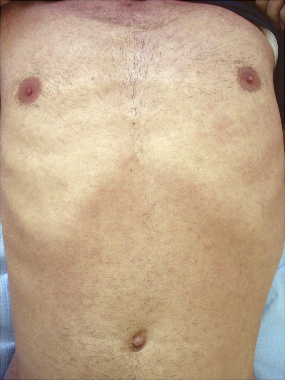
  • première floraison (dans les 6 semaines après le chancre) : roséole évoquant une virose ou une toxidermie (fig. 8) ;
  • deuxième floraison (dans les 3 à 6 mois après le chancre) : syphilides cutanées papulosquameuses dont le polymorphisme est très riche (fig. 9-10) : évoquant une acné, une dermatite séborrhéique, une varicelle, une leucémie aiguë, un lichen, un psoriasis, un parapsoriasis en gouttes… Les lésions sont rarement prurigineuses, prédominant sur le tronc et le visage. L’atteinte palmoplantaire est fréquente mais parfois discrète (fig. 11-13). Les lésions cutanées ne sont contagieuses que si elles sont excoriées, érosives ou ulcérées.
Une atteinte muqueuse (fig. 14-16) est fréquente (plaques muqueuses contagieuses génito-anales et buccales). Une alopécie dite en clairière peut également survenir (fig. 17, 18).
Les autres manifestations sont contingentes : fébricule, poly­adénopathies, arthrites, ostéite, hépatite, glomérulonéphrite uvéite, méningite (et atteinte des paires crâniennes) constituant autant de diagnostics différentiels trompeurs. Les atteintes ophtalmologiques et neurologiques peuvent engager le pronostic fonctionnel (surdité, troubles visuels).

Syphilis latente précoce

La syphilis latente précoce se définit par la découverte d’une sérologie syphilitique positive chez un patient asymptomatique et dont la dernière sérologie syphilitique négative remonte à moins d’un an. Une augmentation des titres des sérologies non tréponémiques (VDRL ou RPR) [× 4] dans l’année précédente, la notion d’une ulcération génitale récente, une cicatrice de chancre, une anamnèse évocatrice de manifestations secondaires récentes sont des éléments présomptifs avec la notion d’un (ou une) partenaire infecté(e).
Cette situation est rencontrée lorsqu’une sérologie syphilitique est pratiquée en cas de facteur de risque ou de manière systématique telle que lors du 1er trimestre de grossesse. La syphilis latente précoce succède à la syphilis primaire. Elle peut être ou non entrecoupée de manifestations secondaires.

Diagnostic


Sérologies

Tests tréponémiques (spécifiques), TT
Ces tests sont spécifiques des tréponématoses vénériennes (syphilis), mais aussi non vénériennes (pian, béjel, pinta) :
Principaux :
  • tests immuno-enzymatiques (ELISA, EIA) : automatisés ;
  • tests de chimiluminescence (CIA) : automatisés.
Autres :
  • treponema pallidum haemagglutination test (TPHA) ;
  • treponema pallidum particle agglutination (TPPA) ;
  • treponema pallidum latex agglutination (TPLA) ;
  • fluorescent treponemal antibody absorption test quasi abandonné (FTA-abs) ;
  • blot : pas d’intérêt en pratique.
Tests non tréponémiques (non spécifiques) [réaginiques], TNT
Il s'agit :
  • du venereal diseases research laboratory (VDRL)
  • du rapid plasma reagin (RPR).
Cinétique des anticorps
Les sérologies se positivent quelques jours après le début du chancre (si J0 est le début du chancre) :
  • le FTA-abs vers J5-J7 ;
  • les EIA, le CIA et le TPHA, vers J7-J10 ;
  • le VDRL vers J10-J15.
Quelques éléments d’interprétation sont à savoir.
Il existe des variations individuelles dans l’apparition des anticorps (par exemple, le VDRL peut se positiver avant le TT).
L’intérêt du dosage des IgM est extrêmement limité. Sa positivité n’implique pas une infection récente.
Le diagnostic sérologique est plus difficile en cas de recontamination du fait de la positivité antérieure des tests.
Le titre du VDRL au cours de la syphilis primaire dépend de l’ancienneté du chancre : le titre augmente avec le temps.
Les sérologies de la syphilis atteignent un titre maximum vers le 6e mois, correspondant lorsqu’elle existe à la phase secondaire.
Au stade secondaire, toutes les sérologies (tréponémiques et non tréponémiques) sont positives. Exceptionnellement, le VDRL/RPR est négatif (phénomène de zone dû à un excès d’anticorps) : la dilution du sérum permet de démasquer la positivité du VDRL (le TT étant toujours positif).
Une sérologie négative n’élimine pas le diagnostic de syphilis primaire. Il faut réaliser une nouvelle sérologie entre 7 et 21 jours selon le résultat et l’interrogatoire.
Dans tous les cas, une sérologie syphilitique discordante avec la clinique doit conduire à vérifier l’absence d’une erreur d’identité ou de technique.
L’interprétation des sérologies est facilitée par la comparaison à une sérologie antérieure ; il est préférable de les effectuer dans le même laboratoire.
En pratique
Le dépistage de la syphilis est désormais réalisé par un test automatisé (EIA/ELISA/CIA) qualitatif. En cas de positivité, la pratique d’un test quantitatif non tréponémique (RPR/VDRL) sur le même sérum est réalisée.

Biologie moléculaire : tests d’amplification des acides nucléiques (TAAN)

La PCR est de plus en plus utilisée. Elle permet un diagnostic par écouvillonnage de toute ulcération, érosion ou après grattage de syphilides. Elle ne permet pas cependant un diagnostic immédiat (délais selon les laboratoires) et n’est, en 2019, pas encore remboursé par la Sécurité sociale.

Microscopie à fond noir

Le microscope à fond noir n’est bien souvent plus disponible dans les laboratoires. Il permettait de réaliser un diagnostic immédiat de certitude sur une ulcération primaire ou des lésions érosives secondaires. Cette technique n’est plus remboursée.

Culture

La culture n’est pas réalisée en pratique courante.

Anatomopathologie

Elle n’est pas de pratique courante, mais peut permettre de confirmer un diagnostic douteux ou de rectifier un diagnostic en syphilis. L’aspect anatomopathologique peut, tout comme la clinique, être trompeur : aspect psoriasiforme, lichénoïde, vascularite, pseudo-­lymphome… L’identification de plasmocytes dans un prélèvement anatomopathologique doit conduire à évoquer une syphilis de principe. La réalisation d’une immuno­histochimie spécifique peut permettre de visualiser les tréponèmes au sein du matériel.

Autres examens

Du fait de la possibilité d’une atteinte multiviscérale au cours de la syphilis secondaire, d’autres examens peuvent être utiles, guidés par la clinique : bilan hépatique, radiographies osseuses, examen ophtalmologique, ponction lombaire (seulement s’il existe des signes neurologiques, auditifs ou ophtalmologiques. Une co-­­infection par le VIH ne justifie pas en soi une ponction lombaire).

Traitement

Les dogmes classiques dans le traitement de la syphilis sont :
  • nécessité d’un taux de pénicilline sérique tréponémicide (un taux de 0,018 mg/L est considéré comme tréponémicide) ;
  • du fait de la lente division des tréponèmes (30-33 heures), le traitement doit couvrir une période de 7 à 10 jours minimum ;
  • l’invasion du système nerveux est précoce (dès le stade primaire) et des taux tréponémicides de pénicilline sont rarement atteints dans le LCR avec la benzathine pénicilline ;
  • Treponema pallidum est difficilement cultivable. Les antibiogrammes sont impossibles ;
  • Treponema pallidum reste toujours très sensible à la pénicilline G. Les autres antibiotiques sont moins efficaces (tétracyclines, macrolides). Les fluoroquinolones ne sont pas efficaces.
Le traitement de la syphilis primaire, secondaire et latente précoce, repose principalement sur la benzathine pénicilline G : 1 injection IM de 2,4 millions d’unités (ou 2 injections IM de 1,2 million d’unités) en dose unique (avec xylocaïne non adrénalinée 1 %, 1 cc). Ce traitement nécessite de garder en surveillance le patient au moins 30 minutes (risque allergique) et de posséder un chariot d’urgence.
Les autres pénicillines orales et les céphalosporines injectables ne sont pas recommandées. L’érythromycine est peu efficace et passe mal la barrière méningée et placentaire. De plus en plus de résistances à l’azithromycine sont décrites.

Cas particuliers

Patient VIH+ : même schéma.
Femme enceinte : benzathine pénicilline G : 1 à 2 injections IM de 2,4 millions d’unités à 7 jours selon les équipes + prévention de la réaction d’Herxheimer (paracétamol systématiquement voire prednisone : ½ mg/kg la veille et les 3 premiers jours du traitement en cas de syphilis secondaire profuse).
Syphilis congénitale : pénicilline G 150 000 UI/kg IV en 2 à 6 injections par jour pendant 10-14 jours + prévention de la réaction d’Herxheimer (paracétamol) ou (si PL normale) benzathine péni­cilline G 50 000 UI/kg, dose unique IM.
Allergie aux bêtalactamines ou rupture de stock ou contre-indication à la voie IM : doxycycline 100 mg × 2/j per os pendant 14 jours.
Syphilis avec atteinte neurologique : pénicilline G 20 millions d’unités en 4 à 6 perfusions par jour pendant 10 à 15 jours.
En cas d’impossibilité d’administrer des tétracyclines (allergie, grossesse), une désensibilisation à la pénicilline est nécessaire.

Surveillance

Cliniquement, le chancre et les syphilides disparaissent en 3 à 15 jours. Le critère de guérison principal est la division du titre du VDRL d’un facteur 4 (2 dilutions) à 6 mois et une négativation du VDRL/RPR en 1 an pour la syphilis primaire et en 2 ans pour la syphilis secondaire.
Le TPHA se négative rarement (sauf chez quelques patients VIH +) : le TPHA ne doit donc pas être utilisé pour surveiller une syphilis traitée.
En cas de réascension du VDRL/RPR d’un facteur ≥ 4, il faut considérer qu’il s’agit d’une recontamination et retraiter par le même schéma.
Principalement dans les formes latentes précoces, en l’absence de décroissance du VDRL, il faut savoir évoquer une forme latente tardive et proposer 3 injections de benzathine pénicilline à 7 jours d’intervalle chacune.

Traitement des partenaires

Il est important d’identifier les cas contacts, de les examiner, de réaliser une sérologie syphilis et de les traiter.
La fig. 19 résume l’histoire évolutive de la syphilis.

Papillomavirus humain [Pr François Aubin, Dr Jean-Noël Dauendorffer]

Introduction

Les infections génitales à papillomavirus humains (HPV) sont les MST les plus fréquentes dans le monde. Près de 5 % de la population présente des lésions cliniques et une infection latente est estimée à 25 % des moins de 25 ans. Une quarantaine de HPV affectent spécifiquement la région anogénitale. D’une part, on distingue les HPV à haut risque de cancer (HPV 16, 18, 31, 33, 35 et 45) qui ont un rôle carcinogène sur le col utérin, l’anus, les muqueuses génitales et le pharynx. Ils se présentent sous la forme de néoplasies intra-épithéliales puis de carcinomes épidermoïdes. D’autres part, des HPV à faible risque oncogène (6 et 11 principalement), qui sont représentés cliniquement par les condylomes anogénitaux externes. L’élimination virale naturelle spontanée s’effectue en quelques mois et dans plus de 90 % des cas dans les 24 mois. Le risque de transmission après un contact sexuel avec une personne infectée par l’HPV est d’au moins 50 %. L’incubation est de quelques semaines à plusieurs années. Le mode de contamination des condylomes est le plus souvent sexuel, mais une transmission non sexuelle indirecte peut être évoquée lors d’utilisation d’objets de toilette souillés, de sauna, jacuzzi… Les condylomes de l’enfant témoignent le plus souvent de contaminations non sexuelles (verrues des mains), mais la recherche de sévices doit être envisagée.

Clinique et diagnostic


Condylomes

On distingue trois types de condylomes :
  • les condylomes acuminés (fig. 20, 21) : exophytiques, plus ou moins kératosiques, blanchâtres, papillomateux, souvent multiples, parfois confluents dits en « crête de coq » ;
  • les condylomes papuleux (fig. 22) : petites papules infracentimétriques, couleur chair ;
  • les condylomes plans  : lésions à peine visibles, mais mieux identifiées après application d’acide acétique à 5 %, sous forme de macules blanches.
Forme particulière : le condylome géant de Buschke-Lowenstein est associé aux HPV 6 et 11, d’aspect clinique tumoral inquiétant, mais d’évolution généralement bénigne.
Le diagnostic des condylomes est clinique.

Néoplasies intra-épithéliales

Les néoplasies* intra-épithéliales sont l’ensemble des lésions précancéreuses ou cancéreuses intra-épithéliales muqueuses et cutanées associées fréquemment aux HPV et qui peuvent évoluer vers un carcinome épidermoïde.
On distingue :
  • au niveau génital, les néoplasies intra-épithéliales induites par les HPV correspondant à la maladie de Bowen (fig. 23), l'érythro­plasie de Queyrat et à la papulose bowénoïde (fig. 24) :
. pénienne (PIN) ;
. vulvaire (VIN 3) : synonyme de lésions intra-épithéliales de haut grade (HSIL) ;
– au niveau du col de l’utérus :
. les lésions intra-épithéliales de bas grade (LSIL) : synonyme de CIN 1 ;
. les lésions intra-épithéliales de haut grade (HSIL) : synonyme de CIN 2 et 3 ;
  • les néoplasies intra-épithéliales anales (AIN).
Le diagnostic repose sur l’anatomopathologie. Il est défini par la présence d’atypies cytologiques et architecturales intra-­épithéliales.
Les dernières recommandations en 2019 du dépistage du col sont :
  • entre 25 et 30 ans : 2 frottis cervico-vaginaux à 1 an d’intervalle puis tous les 3 ans s’ils sont normaux.
  • entre 30 et 65 ans : test HPV tous les 5 ans, s’il est positif alors il faudra réaliser un frottis cervico-vaginal. Si ce dernier est positif, une colposcopie sera effectuée, sinon un nouveau test HPV sera réalisé 1 an plus tard.
Les néoplasies intra-épithéliales différenciées vulvaires et (VIN-différenciées) et péniennes (PIN-différenciées) ne sont pas associées aux HPV, mais à des dermatoses inflammatoires chroniques sous-jacentes (lichen scléreux, lichen plan…).

Carcinomes épidermoïdes

Les néoplasies intra-épithéliales peuvent évoluer vers des carcinomes épidermoïdes du col de l’utérus, de l’anus, du pénis (fig. 25) et de la vulve. Le diagnostic est confirmé par l’anatomopathologie.

Bilan

Devant une lésion génitale induite par les HPV, il convient de :
  • rechercher d’autres localisations (frottis cervico vaginal, ± anu­scopie et ± urétroscopie) chez le patient et ses partenaires en fonction des pratiques sexuelles ;
  • rechercher une étiologie sous-jacente (immunodépression…) ;
  • réaliser un bilan de MST ;
  • réaliser une biopsie en cas de doute clinique ou de suspicion d’une néoplasie ;
  • réaliser un bilan d’extension loco-régional s’il s’agit d’un carcinome.

Traitement

Il n’existe pas de traitement antiviral efficace spécifiquement contre les HPV. L’objectif est la disparition macroscopique des lésions pour les condylomes et l’exérèse en marge saine des carcinomes épidermoïdes. L’information du patient sur l’histoire évolutive naturelle de la maladie est essentielle.
Il existe 3 grandes formes de traitement :
  • les traitements auto-administrés par le patient :
. l’imiquimod : molécule immunomodulatrice qui en se fixant sur les récepteurs Toll-like de type 7 permet la synthèse de cytokines pro-inflammatoires antivirales ;
. la podophyllotoxine : traitement antimitotique extrait de rhizome et de racine de Podophyllum.
  • les traitements employés par le médecin :
. cryothérapie à l’azote liquide ;
. acide trichloracétique ;
. chirurgie ;
. l’électrocoagulation ;
. laser CO2.
  • les traitements préventifs :
. le port du préservatif et l’absence de contact pour les zones non couvertes par le préservatif ;
. la vaccination : elle est préconisée chez les jeunes femmes entre 11 et 14 ans avec un rattrapage avant 19 ans possible pour éviter les cancers du col de l’utérus, et chez les homosexuels masculins de moins de 26 ans pour éviter les cancers anaux. Ce vaccin a montré, dans les pays (Australie, États-Unis, Angleterre, Danemark, Suède) où il est très largement employé et étendu à la population masculine, une franche diminution des condylomes, des dysplasies cervicales et des cancers du col.
En attendant que la vaccination anti-HPV puisse être plus largement diffusée en France, les condylomes sont pris en charge selon le nombre de condylomes, leurs localisations et l’expérience du médecin. Les cancers HPV induits sont traités majoritairement par chirurgie pour envisager une analyse anatomo­pathologique et s’assurer de l’exérèse complète. La prise en charge des néoplasies intra-épithéliales dépend du type, de la localisation et des équipes médicales.

Trichomonose

Introduction

Trichomonas vaginalis est un parasite strictement humain dont le réservoir naturel est le vagin. Il meurt rapidement dans le milieu extérieur. Sa transmission ne s’effectue qu’en milieu humide. Sa prévalence est faible en France métropolitaine, mais plus importante dans les pays situés sous les tropiques.

Clinique

L’incubation rapportée est de 4 à 28 jours.

Chez l’homme

Asymptomatique dans 90 % des cas.
Symptomatique : urétrites subaiguës ou balanoposthites avec prurit et méatite inconstants.

Chez la femme

Asymptomatique dans 80 à 85 % des cas.
Symptomatique : prurit intense, dyspareunie, urétrite, leucorrhées abondantes, verdâtres, spumeuses, malodorantes, vulve œdémateuse et/ou colpite focale framboisée ou en macules « léopard » en colposcopie. Le développement de T. vaginalis est favorisé par le déséquilibre en estrogènes.

Diagnostic

La recherche de T. vaginalis se fait sur le prélèvement des leucorrhées ainsi qu’au cul-de-sac postérieur et à l’urètre qui est colonisé dans presque 100 % des cas. L’examen direct à l’état frais a une bonne sensibilité. La culture est la technique de référence, mais nécessite 3 à 7 jours d’attente. Enfin la PCR est en pleine expansion sous forme d’association (PCR multiplex) avec les autres IST. Elles sont pratiquées sur le 1er jet urinaire chez l’homme et sur un auto-écouvillonnage chez la femme.

Traitement

Métronidazole per os : 2 g dose unique ; ou secnidazole (sachet à 2 g) per os : 2 g dose unique ; ou métronidazole : 500 mg x 2/j per os pendant 7 jours.

Autres IST [Dr Sébastien Fouéré]

Plusieurs autres IST sont présentées dans leurs items respectifs : les hépatites (item 163), les infections à herpès (item 164), le VIH (item 165), les ectoparasitoses (item 167).
Les mycoplasmes ne sont par contre pas abordés dans cet item. Cependant ils sont rendus de plus en plus souvent lors de PCR multiplex par les laboratoires.
En quelques mots, le seul à prendre en compte est le Myco­plasma genitalium. Celui-ci est la deuxième cause d’urétrite non gonococcique après le Chlamydia trachomatis. Il est rapporté également à l’origine de cervicites, d’endométrites, de salpingites, de troubles de la fertilité chez la femme, d’anorectites chez les HSH et vraisemblablement d’arthrites réactionnelles. Il est identifié par PCR selon les mêmes modalités que le Chlamydia trachomatis. Devant une émergence importante de résistances antibiotiques chez ce germe et notamment à l’azithromycine, il n’est préconisé de le dépister et de ne le traiter que chez les cas symptomatiques. Les partenaires asymptomatiques des sujets symptomatiques sont traités également. Le traitement proposé à ce jour est la doxycycline 200 mg pendant 7 jours suivie par 1 g d’azithromycine puis 2 jours à 500 mg. En cas d’échec, c’est l’utilisation de la moxifloxacine 400 mg/j qui est préconisée pour 7 à 10 jours.
Le Mycoplasma hominis n’est pas considéré comme pathogène chez l’homme. Chez la femme, il est présent dans la flore commensale féminine.
L’Ureaplasma spp est considéré pathogène chez l’homme s’il est > 104 UCC/mL sur un prélèvement urétral ou > 103 UCC/mL sur le premier jet d’urine et que le patient est symptomatique. Chez la femme il est présent dans la flore commensale. Chez une patiente symptomatique son traitement peut être discuté.•
Remerciements
Dr Sébastien Fouéré, Pr Béatrice Bercot, Dr Bertille de Barbeyrac, Pr François Aubin, Dr Jean-Noël Dauendorffer, Dr Johan Chanal, Dr Sébastien Duquenne, Dr Laure Nazarre et les membres du GRIDIST.
Points forts
Infections sexuellement transmissibles (IST) : gonococcies, chlamydioses, syphilis, papillomavirus humain (HPV), trichomonose

POINTS FORTS À RETENIR

Toute découverte d’infection sexuellement transmissible (IST) invite à dépister les autres IST.

Toute découverte d’IST chez un patient nécessite le dépistage des cas contacts.

Devant le risque de ne pas revoir le patient, la forte suspicion d’une IST incite à réaliser un traitement probabiliste.

Très souvent asymptomatique.

La polymerase chain reaction/test d’amplification des acides nucléiques (PCR/TAAN) est l’examen de référence sur auto-écouvillon ou premier jet d’urine. La sérologie n’a pas d’intérêt.

Traitement : doxycycline per os : 100 mg x 2/j pendant 7 jours en première intention, ou azithromycine : 1 g par voie orale en dose unique (en cas de contre-indication médicale à la doxycycline, ou de non-disponibilité de celle-ci, de doute sur la compliance ou de conditions de terrain rendant préférable un traitement court).

Un contrôle des sites atteints est préconisé à 3-6 mois.

L’écoulement purulent est caractéristique, mais de nombreuses gonococcies peuvent être asymptomatiques, notamment en dehors de l’urètre.

La PCR/TAAN est l’examen le plus pratiqué, mais la culture reste indispensable.

Traitement : ceftriaxone 500 mg IM/IV, dose unique.

Un contrôle clinique est nécessaire à J7.

Toute ulcération est une syphilis jusqu’à preuve du contraire.

La syphilis est la « grande simulatrice » de par sa variété de présentations cliniques.

Traitement : benzathine pénicilline G, 1 injection de 2,4 millions d’unités en dose unique.

La surveillance repose sur la baisse du test non tréponémique (VDRL/RPR).

Le diagnostic de condylome est clinique.

Recommandations du dépistage du col (2019) :

– entre 25 et 30 ans : 2 frottis cervico-vaginal à 1 an d’intervalle puis tous les 3 ans s’ils sont normaux ;

– entre 30 et 65 ans : test HPV tous les 5 ans ; s’il est positif, il faudra réaliser un frottis cervico-vaginal. Si ce dernier est positif, une colposcopie sera effectuée, sinon un nouveau test HPV sera réalisé 1 an plus tard.

L’immunodépression (dont le VIH) augmente l’incidence des infections à HPV, leur récurrence et leur gravité.

Une plus ample couverture vaccinale contre HPV permettra une large réduction de ses infections et cancers induits.

Principalement asymptomatique.

Prurigineux, avec signes urinaires et leucorrhées malodorantes chez la femme.

Traitement : secnidazole ou métronidazole – 2 g per os en dose unique.

POUR EN SAVOIR +
Dupin N, Janier M, Bouscarat F, Vernay-Vaisse C, NSpenatto N, Vermersch-Langlin A et la section MST de la SFD. Infection à Chlamydia trachomatis - recommandations. Ann Derm Venereol, 2016;133(Suppl. 8/9):2S1-71.
Janier M, Lassau F, Dupin N, Bouscarat F, Pelletier F, Alcaraz I et la section MST de la SFD. Gonococcie - recommandations. Ann Derm Venereol 2016;133(Suppl. 8/9):2S1-71.
Janier M, Dupin N, NSpenatto N, Vernay-Vaisse C, Bertolotti A, Derancourt C et la section MST de la SFD. Syphilis précoce - recommandations. Ann Derm Venereol, 2016;133(Suppl. 8/9):2S1-71.
Bouscarat F, Pelletier F, Fouéré S, Janier M, ABertolotti A, Aubin F et la section MST de la SFD. Verrues génitales (condylomes) - recommandations. Ann Derm Venereol 2016; 133(Suppl. 8/9):2S1-71.
Alcaraz I, Vermersch-Langlin A, Mazars E, Janier M, Dupin N, Pelletier F et la section MST de la SFD. Trichomonose - recommandations. Ann Derm Venereol 2016; 133(Suppl. 8/9):2S1-71.
HAS. Réévaluation de la stratégie de dépistage des infections à Chlamydia trachomatis. Septembre 2018.
CNGOF & SPILF. Les infections génitales hautes. Mise à jour des recommandations pour la pratique clinique. Décembre 2018.
CDC. Sexually Transmitted Diseases. https://www.cdc.gov/std/default.htm. 2015
Bornstein J, Bogliatto F, Haefner HK, Stockdale CK, Preti M, Bohl TG, et al. The 2015 International Society for the Study of Vulvovaginal Disease (ISSVD) : Terminology of vulvar squamous intraepithelial lesions. Obstet Gynecol. 2016 Feb;127(2):264-8.
Drolet M, Bénard E, Boily MC, et al. Population-level impact and herd effects following human papillomavirus vaccination programmes: a systematic review and meta-analysis. Published in final edited form as: Lancet Infect Dis. 2015 May; 15(5): 565-80.
Gaudelus J. Vaccination contre le papillomavirus : bilan et nouvelles extensions. La Revue du Praticien. 2019:69;7-12.
HAS. Évaluation de la recherche des papillomavirus humains (HPV) en dépistage primaire des lésions précancéreuses et cancéreuses du col de l’utérus et de la place de double immuno-marquage p16/ki67. 2019.

Dans cet article

Ce contenu est exclusivement réservé aux abonnés