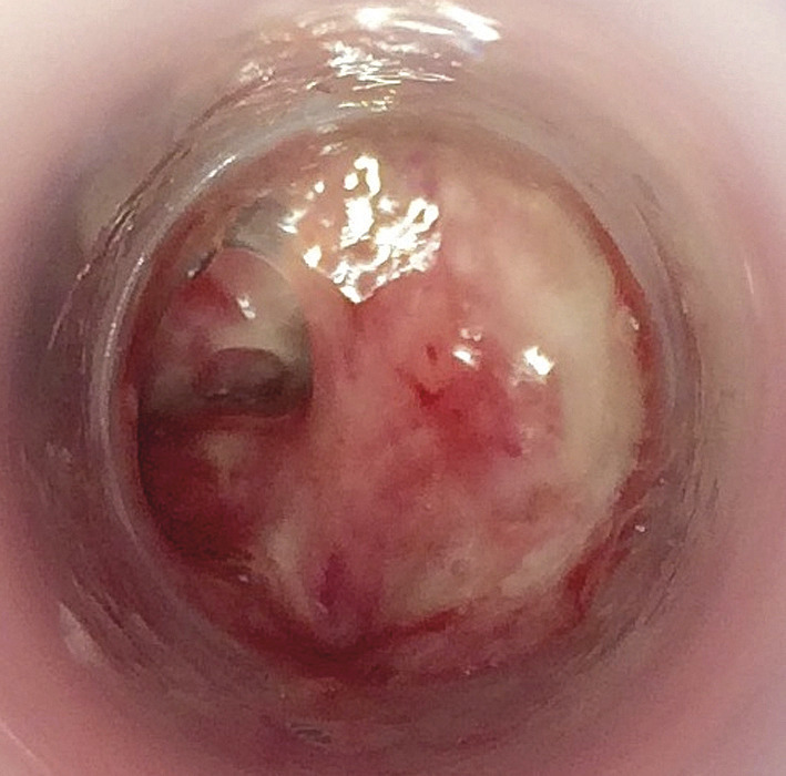
Un homme de 30 ans consulte pour une douleur ano-rectale intense évoluant depuis 24 heures avec des faux besoins glairo-sanglants. Il prend une prophylaxie pré-exposition contre le VIH. La marge anale est normale. L’anuscopie montre une rectite érythémateuse avec des sécrétions purulentes (fig. 1 ).
Il s’agit d’une infection sexuellement transmissible (IST), la gonococcie ano-rectale, liée à Neisseria gonorrhoeae. Au niveau ano-rectal, la transmission se fait en général par un coït anal passif, mais l’autocontamination à partir d’une atteinte vaginale est possible. Dans 40 % des cas, une co-infection avec une autre IST est retrouvée : majoritairement Chlamydia trachomatis (80 %) mais également VIH (15 %) et syphilis (5 %).
La phase d’incubation dure 3 à 7 jours. Le tableau clinique est un syndrome rectal aigu, souvent « bruyant ». Il existe aussi des formes asymptomatiques, voire atypiques avec fistule et/ou abcès anal.
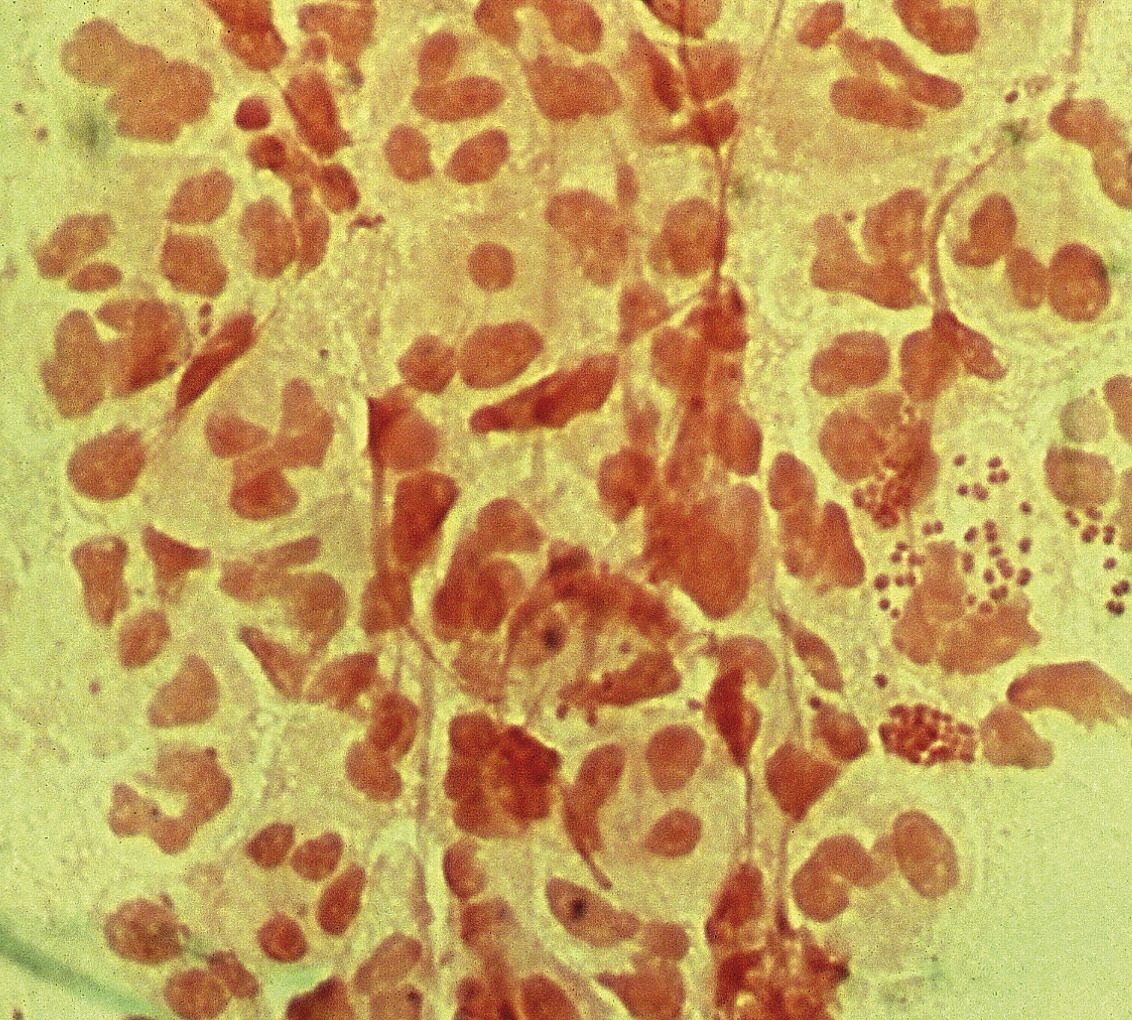
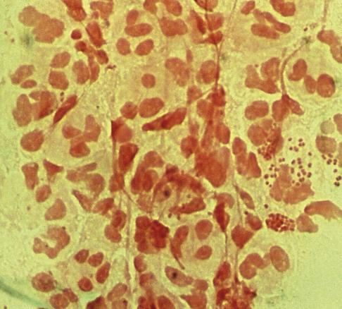
Le diagnostic est évoqué sur l’anamnèse et la clinique. Il est confirmé par l’analyse polymerase chain-reaction (PCR) d’un écouvillonnage rectal détectant simultanément Neisseria gonorrhoeae (fig. 2 ) et Chlamydia trachomatis. Ce prélèvement permet également la réalisation d’un antibiogramme.
Les diagnostics différentiels sont les autres rectites infectieuses (primo-infection herpétique, infection à Chlamydia trachomatis D à K, lymphogranulomatose vénérienne…), la rectocolite hémorragique et la maladie de Crohn, l’ulcère solitaire du rectum et les tumeurs du rectum.
Le traitement est la ceftriaxone par voie intramusculaire, 500 mg en dose unique. En raison de l’association fréquente à une chlamydiose, un traitement par doxycycline per os (100 mg, 2 fois/jour jusqu’à 3 semaines en cas de lympho- granulomatose vénérienne) est prescrit. Enfin, les sérologies de la syphilis, du VIH et des hépatites B et C sont recommandées, ainsi qu’un dépistage et, le cas échéant, un traitement des partenaires.
La phase d’incubation dure 3 à 7 jours. Le tableau clinique est un syndrome rectal aigu, souvent « bruyant ». Il existe aussi des formes asymptomatiques, voire atypiques avec fistule et/ou abcès anal.
Le diagnostic est évoqué sur l’anamnèse et la clinique. Il est confirmé par l’analyse polymerase chain-reaction (PCR) d’un écouvillonnage rectal détectant simultanément Neisseria gonorrhoeae (
Les diagnostics différentiels sont les autres rectites infectieuses (primo-infection herpétique, infection à Chlamydia trachomatis D à K, lymphogranulomatose vénérienne…), la rectocolite hémorragique et la maladie de Crohn, l’ulcère solitaire du rectum et les tumeurs du rectum.
Le traitement est la ceftriaxone par voie intramusculaire, 500 mg en dose unique. En raison de l’association fréquente à une chlamydiose, un traitement par doxycycline per os (100 mg, 2 fois/jour jusqu’à 3 semaines en cas de lympho- granulomatose vénérienne) est prescrit. Enfin, les sérologies de la syphilis, du VIH et des hépatites B et C sont recommandées, ainsi qu’un dépistage et, le cas échéant, un traitement des partenaires.
Cette fiche est la 3e de la série « En 2021, parlons d’anus ». Retrouvez la série complète sur www.larevuedupraticien.fr, en allant sur ce lien : https://bit.ly/3qRyIMM
Pour en savoir plus
World Health Organization. WHO Guidelines for the Treatment of Neisseria gonorrhoeae. 2016.
Ndeikoundam Ngangri N, Viriot D, Fournet N, et al. Bacterial sexually transmitted infections in France: recent trends and patients’ characteristics in 2016. Euro Surveill 2019;24(5):1800038.
Barré A, Le Monnier A, Fathallah N, et al. Infections anorectales sexuellement transmissibles (hors HPV). HépatoGastro 2016;23:873-82.
Ndeikoundam Ngangri N, Viriot D, Fournet N, et al. Bacterial sexually transmitted infections in France: recent trends and patients’ characteristics in 2016. Euro Surveill 2019;24(5):1800038.
Barré A, Le Monnier A, Fathallah N, et al. Infections anorectales sexuellement transmissibles (hors HPV). HépatoGastro 2016;23:873-82.
Une question, un commentaire ?
Sur le même thème
Article Web
Exercice