Le larynx, organe clé du carrefour aérodigestif, permet le passage de l’air lors de la respiration et de la phonation, et protège l’arbre trachéobronchique au cours de la déglutition en se fermant (fig. 1 ). Ses 3 fonctions (respiration, phonation, déglutition) sont toutes à évaluer même si la plainte du patient n’en concerne qu’une seule.
Signes cliniques
Le diagnostic repose sur la triade symptomatique : bradypnée (allongement du temps nécessaire à une inspiration) ; dyspnée inspiratoire avec tirage ; bruit inspiratoire laryngé : stridor (aigu, témoignant d’un obstacle glotto-sus- glottique) ou cornage (rauque, lié à un obstacle glotto-sous-glottique). Une dysphonie est très fréquemment associée. À la différence des dyspnées d’origine cardiaque ou pulmonaire, le patient comme le médecin ont le sentiment que l’air « ne passe pas » (frein inspiratoire).
Tout praticien doit savoir reconnaître les critères de gravité : devant un seul d'entre eux (classés par ordre d’évolution d’une dyspnée laryngée ;encadré ), une prise en charge hospitalière spécialisée est urgente.
Contrairement à la grande majorité des autres dyspnées, l’hypoxie (ou une saturation en oxygène inférieure à l’état de base du patient), est un signe de sévérité extrême, précédent de peu l’arrêt respiratoire (parfois de quelques minutes, si dyspnée d’évolution rapide). Dans ce cas, il faut faire intervenir le Samu pour un transfert médicalisé du patient vers une structure hospitalière adaptée (anesthésiste-réanimateur et chirurgien ORL).
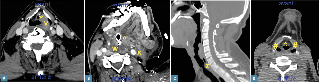
Les causes tumorales et inflammatoires sont les plus fréquentes (tableau) avec, en tête, les carcinomes épidermoïdes pharyngolaryngés (2 A ).
Diagnostics différentiels :
– dyspnée d’origine buccopharyngée : mêmes caractéristiques, avec en plus une voix pharyngée dite « de patate chaude », généralement liée à un processus occupant l’espace (tumoral ou infectieux) ;
–expiratoire : origine pulmonaire ou cardiaque ;
–aux 2 temps : trachéale, souvent associée à un wheezing.
Tout praticien doit savoir reconnaître les critères de gravité : devant un seul d'entre eux (classés par ordre d’évolution d’une dyspnée laryngée ;
Contrairement à la grande majorité des autres dyspnées, l’hypoxie (ou une saturation en oxygène inférieure à l’état de base du patient), est un signe de sévérité extrême, précédent de peu l’arrêt respiratoire (parfois de quelques minutes, si dyspnée d’évolution rapide). Dans ce cas, il faut faire intervenir le Samu pour un transfert médicalisé du patient vers une structure hospitalière adaptée (anesthésiste-réanimateur et chirurgien ORL).
Les causes tumorales et inflammatoires sont les plus fréquentes (tableau) avec, en tête, les carcinomes épidermoïdes pharyngolaryngés (
Diagnostics différentiels :
– dyspnée d’origine buccopharyngée : mêmes caractéristiques, avec en plus une voix pharyngée dite « de patate chaude », généralement liée à un processus occupant l’espace (tumoral ou infectieux) ;
–expiratoire : origine pulmonaire ou cardiaque ;
–aux 2 temps : trachéale, souvent associée à un wheezing.
Lire aussi | Dossier progressif n°139
Lire aussi | Dossier progressif n°128
Prise en charge
Le traitement est urgent.
En préhospitalier :
– oxygénothérapie sans limite de débit : il faut délivrer autant d’oxygène que nécessaire pour restaurer la saturation habituelle du patient (on ne cherche pas à obtenir 100 % si l’état de base est 92 %), l’hypoxie « tuant » plus rapidement que l’hypercapnie.
Une BPCO est volontiers associée car elle partage avec les tumeurs pharyngo- layngées le même facteur de risque : le tabagisme ;
–installation du patient en position assise ou demi-assise (jamais de décubitus dorsal) ;
– appel au Samu pour organiser un transfert vers un hôpital avec un service de réanimation et de chirurgie ORL.
En hospitalier :
– aérosols en continu d’adrénaline (ampoules de 0,5 mg) et de corticoïdes (dexaméthasone 4-8 mg, budésonide 1-2 mg, méthylprednisolone 20 mg…). Les agonistes adrénergiques β2 (salbutamol) n’ont aucun intérêt (pas de récepteurs β2 dans le larynx) ;
– bilan biologique préopératoire avec gaz du sang. Ils ne doivent pas retarder la prise en charge thérapeutique ;
– pas d’imagerie systématique.
Si un ORL n’est pas disponible lors de la mise en place d’une ventilation mécanique (préhospitalier, hôpital dépourvu d’ORL…), le plus souvent une intubation nasotrachéale au fibroscope est réalisée par un anesthésiste entraîné, sauf en cas d’obstacle purement endolaryngé, où une intubation orotrachéale standard est préférable.
Si échec, une cricothyrotomie de sauvetage peut être tentée, mais le risque de séquelles secondaires (sténoses laryngées) est important.
Dans l’idéal, un ORL fait une nasofibro- scopie pharyngolaryngée à visée diagnostique, qui guide la stratégie ultérieure : traitement médical ou chirurgical de la dyspnée ± intubation trachéale (sous anesthésie générale, directe, avec bronchoscope, intubation nasotrachéale vigile au fibroscope, trachéotomie sous anesthésie locale…).
En cas de signes d’extrême gravité (hypoxie, gasps, troubles hémodynamiques), aucun des examens complémentaires ne doit retarder la prise en charge spécialisée (par ORL et anesthésiste, transfert au bloc opératoire et/ou réanimation). La quasi-totalité de ces grandes urgences vitales nécessitent un geste chirurgical (trachéotomie ou désobstruction laser pour cancer du larynx ou pharynx, drainage de cellulites cervicomédiastinales, réparation de traumatismes du larynx…).
En préhospitalier :
– oxygénothérapie sans limite de débit : il faut délivrer autant d’oxygène que nécessaire pour restaurer la saturation habituelle du patient (on ne cherche pas à obtenir 100 % si l’état de base est 92 %), l’hypoxie « tuant » plus rapidement que l’hypercapnie.
Une BPCO est volontiers associée car elle partage avec les tumeurs pharyngo- layngées le même facteur de risque : le tabagisme ;
–installation du patient en position assise ou demi-assise (jamais de décubitus dorsal) ;
– appel au Samu pour organiser un transfert vers un hôpital avec un service de réanimation et de chirurgie ORL.
En hospitalier :
– aérosols en continu d’adrénaline (ampoules de 0,5 mg) et de corticoïdes (dexaméthasone 4-8 mg, budésonide 1-2 mg, méthylprednisolone 20 mg…). Les agonistes adrénergiques β2 (salbutamol) n’ont aucun intérêt (pas de récepteurs β2 dans le larynx) ;
– bilan biologique préopératoire avec gaz du sang. Ils ne doivent pas retarder la prise en charge thérapeutique ;
– pas d’imagerie systématique.
Si un ORL n’est pas disponible lors de la mise en place d’une ventilation mécanique (préhospitalier, hôpital dépourvu d’ORL…), le plus souvent une intubation nasotrachéale au fibroscope est réalisée par un anesthésiste entraîné, sauf en cas d’obstacle purement endolaryngé, où une intubation orotrachéale standard est préférable.
Si échec, une cricothyrotomie de sauvetage peut être tentée, mais le risque de séquelles secondaires (sténoses laryngées) est important.
Dans l’idéal, un ORL fait une nasofibro- scopie pharyngolaryngée à visée diagnostique, qui guide la stratégie ultérieure : traitement médical ou chirurgical de la dyspnée ± intubation trachéale (sous anesthésie générale, directe, avec bronchoscope, intubation nasotrachéale vigile au fibroscope, trachéotomie sous anesthésie locale…).
En cas de signes d’extrême gravité (hypoxie, gasps, troubles hémodynamiques), aucun des examens complémentaires ne doit retarder la prise en charge spécialisée (par ORL et anesthésiste, transfert au bloc opératoire et/ou réanimation). La quasi-totalité de ces grandes urgences vitales nécessitent un geste chirurgical (trachéotomie ou désobstruction laser pour cancer du larynx ou pharynx, drainage de cellulites cervicomédiastinales, réparation de traumatismes du larynx…).
Encadre
Critères de gravité
Caractère aigu
Signes de tirage et de lutte
Signes d’hypercapnie (traduisant l’hypoventilation alvéolaire) : céphalées, somnolence jusqu’au coma, confusion, HTA, hypercrinie (sueurs, hypersialorrhée, encombrement bronchique)
Bradypnée importante
Hypoxie : cyanose, tachycardie puis bradycardie, somnolence, coma.
Arrêt respiratoire, cardiaque, perte de connaissance
Références
1. Céruse P, Ltaief-Boudrigua A, Buiret G, et al. Anatomie descriptive, endoscopique et radiologique du larynx. EMC - Oto-rhino-laryngologie 2012;7(2):1-15 [Article 20-630-A-10].
2. Rubin F, Laccourreye O. Paralysies laryngées : rééduquer ! Rev Prat Med Gen 2018;32:683-4.
2. Rubin F, Laccourreye O. Paralysies laryngées : rééduquer ! Rev Prat Med Gen 2018;32:683-4.