Le développement de nouveaux médicaments apporte régulièrement de nouveaux signalements d’effets indésirables et d’interactions médicamenteuses. L’iatrogénie (maladies ou troubles physiques liés à un traitement ou à un médicament) devient omniprésente, et la bouche est le lieu d’expression de nombre d’entre elles.
Bouche sèche
La sécrétion salivaire est assurée par trois paires de glandes principales, parotides, submandibulaires et sublinguales, et par un grand nombre de glandes salivaires accessoires, réparties dans la muqueuse orale et pharyngée. La sécrétion salivaire est modulée par le système nerveux sympathique. Une diminution physiologique de la sécrétion salivaire est observée chez les sujets âgés, plus importante chez les femmes, ce qui est source d'inconfort. Une bouche sèche, symptôme subjectif, est signalée chez près de 30 % des sujets au-delà de 65 ans. En outre, la salive joue un rôle de défense immunitaire important à travers les immunoglobulines de type A (IgA) salivaires et autres composants, y compris enzymatiques.
De nombreux médicaments sont susceptibles d’entraîner une sécheresse buccale, en particulier chez le sujet âgé. Letableau ci-dessous en dresse une liste non exhaustive. Ils sont dominés par les psychotropes (anxiolytiques, antidépresseurs, hypnotiques, tranquillisants et sédatifs, régulateurs de l’humeur, neuroleptiques, stimulants de la vigilance, hallucinogènes, stupéfiants, etc.).
Les signes cliniques sont souvent discrets, à rechercher par l’interrogatoire, mais parfois très invalidants (gêne pour la déglutition, la mastication, l’élocution).1 Le retentissement sur la vie sociale peut être important. La sensation de bouche sèche est très pénible, accompagnée parfois d'une sensation de brûlure, de l’apparition de fissures douloureuses des commissures labiales, de modification du goût des aliments (dysgueusie). L’examen clinique est souvent évocateur : muqueuse sèche, vernissée, langue dépapillée, etc.
D’emblée, il convient de rechercher les complications de cette hyposialie (terme plus approprié que xérostomie) : signes d’une infection mycosique (candidose), d’infections bactériennes parodontales (gingivite, poches parodontales) et dentaires (multiples caries à progression rapide) [fig. 1 ]. Peu d’examens complémentaires sont utiles pour explorer la sècheresse salivaire en dehors de la mesure du flux salivaire (collection de salive totale par crachat) non indiquée dans les hyposialies médicamenteuses.
Le traitement passe par l’arrêt, si possible, du médicament en cause. L’augmentation des apports hydriques est souvent bénéfique ainsi que la stimulation de la sécrétion salivaire par des bonbons acidulés ou des chewing-gums sans sucre. Les substituts salivaires sont peu efficaces. Une attention particulière doit être apportée à l’hygiène buccodentaire, et les visites chez le dentiste doivent être fréquentes.
De nombreux médicaments sont susceptibles d’entraîner une sécheresse buccale, en particulier chez le sujet âgé. Le
Les signes cliniques sont souvent discrets, à rechercher par l’interrogatoire, mais parfois très invalidants (gêne pour la déglutition, la mastication, l’élocution).1 Le retentissement sur la vie sociale peut être important. La sensation de bouche sèche est très pénible, accompagnée parfois d'une sensation de brûlure, de l’apparition de fissures douloureuses des commissures labiales, de modification du goût des aliments (dysgueusie). L’examen clinique est souvent évocateur : muqueuse sèche, vernissée, langue dépapillée, etc.
D’emblée, il convient de rechercher les complications de cette hyposialie (terme plus approprié que xérostomie) : signes d’une infection mycosique (candidose), d’infections bactériennes parodontales (gingivite, poches parodontales) et dentaires (multiples caries à progression rapide) [
Le traitement passe par l’arrêt, si possible, du médicament en cause. L’augmentation des apports hydriques est souvent bénéfique ainsi que la stimulation de la sécrétion salivaire par des bonbons acidulés ou des chewing-gums sans sucre. Les substituts salivaires sont peu efficaces. Une attention particulière doit être apportée à l’hygiène buccodentaire, et les visites chez le dentiste doivent être fréquentes.
Lire aussi | Lésions blanches des muqueuses buccales
Aphtes et ulcérations buccales
Les aphtes sont des ulcérations muqueuses, douloureuses, généralement observées dans la bouche. Ils sont à distinguer des ulcérations post-bulleuses ou post-vésiculeuses. Les aphtoses médicamenteuses sont caractérisées par l’absence de signes inflammatoires, l’aspect en carte de géographie de l’ulcération, et surtout par l’anamnèse attestant de la survenue après l’introduction d’un médicament, une résolution lors de sa suppression et éventuellement une récidive lors de sa réintroduction.
De très nombreuses causes sont responsables d’aphtes et d’ulcérations buccales et le diagnostic précis relève souvent du spécialiste. Des ulcérations buccales chroniques peuvent être induites par le captopril, le nicorandil et les inhibiteurs des canaux potassiques, l’acide niflumique, la phénindione, le phénobarbital, le piroxicam, l’hypochloride de sodium, les anti-inflammatoires non stéroïdiens (AINS) [largement prescrits par les odontologistes] et les bêtabloquants.2 D’autres médicaments à l’origine d’aphtes ont été récemment rapportés (sirolimus et les inhibiteurs de m-Tor, tocilizumab et les inhibiteurs d’IL-6R, bupropione) [fig. 2 ].
Les aphtes et ulcérations médicamenteuses sont à distinguer des ulcérations buccales caustiques induites par un contact direct du médicament sur la muqueuse (aspirine, desloratadine, bisphosphonates) résultant le plus souvent d’un mésusage ou d’automédications (phénols, eugénol, peroxyde d’hydrogène).
De très nombreuses causes sont responsables d’aphtes et d’ulcérations buccales et le diagnostic précis relève souvent du spécialiste. Des ulcérations buccales chroniques peuvent être induites par le captopril, le nicorandil et les inhibiteurs des canaux potassiques, l’acide niflumique, la phénindione, le phénobarbital, le piroxicam, l’hypochloride de sodium, les anti-inflammatoires non stéroïdiens (AINS) [largement prescrits par les odontologistes] et les bêtabloquants.2 D’autres médicaments à l’origine d’aphtes ont été récemment rapportés (sirolimus et les inhibiteurs de m-Tor, tocilizumab et les inhibiteurs d’IL-6R, bupropione) [
Les aphtes et ulcérations médicamenteuses sont à distinguer des ulcérations buccales caustiques induites par un contact direct du médicament sur la muqueuse (aspirine, desloratadine, bisphosphonates) résultant le plus souvent d’un mésusage ou d’automédications (phénols, eugénol, peroxyde d’hydrogène).
Lire aussi | Effets indésirables liés au mésusage de rotigotine
Hypertrophie gingivale
Les hypertrophies gingivales correspondent à un accroissement du volume gingival. Il peut être localisé, limité à la gencive adjacente à une seule dent ou à un groupe de dents, généralisé, marginal, papillaire (limité à la papille interdentaire) et parfois isolé (pseudotumoral).
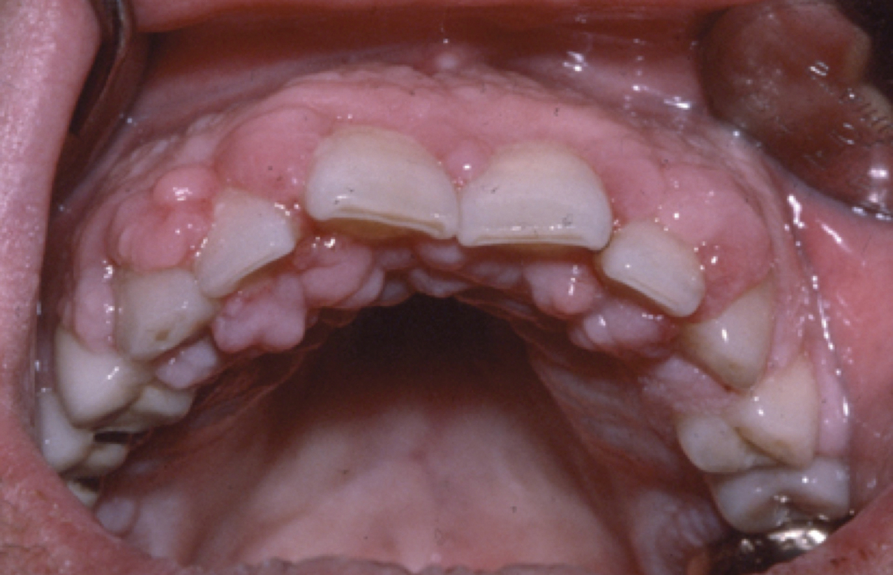
Trois familles de médicaments sont à l’origine d’hypertrophies gingivales : la phénytoïne, les immunosuppresseurs et les inhibiteurs calciques.
Trois familles de médicaments sont à l’origine d’hypertrophies gingivales : la phénytoïne, les immunosuppresseurs et les inhibiteurs calciques.
Phénytoïne
Les hypertrophies gingivales associées à l’administration de phénytoïne (Di-Hydan, Dilantin, Diphantoïne) sont connues depuis plus de 60 ans,3 la relation de cause à effet étant établie sans précision des mécanismes. Différentes études cliniques ont rapporté que près de la moitié des patients sous phénytoïne développent une hypertrophie gingivale.4 Le risque est accru par la mauvaise hygiène orale, l’accumulation de plaque dentaire et l’inflammation gingivale qui en résulte. L’association de phénytoïne à d’autres médicaments inducteurs d’hypertrophie gingivale n’induit pas un accroissement de cette hypertrophie. Des synergies ont été cependant rapportées dans certaines situations physiopathologiques particulières (épulis* de la grossesse).5
L’hypertrophie gingivale prédomine aux secteurs antérieurs ou est généralisée, toujours en regard des dents. Le remplacement du médicament entraîne la disparition des lésions en 3 à 4 mois.
L’hypertrophie gingivale prédomine aux secteurs antérieurs ou est généralisée, toujours en regard des dents. Le remplacement du médicament entraîne la disparition des lésions en 3 à 4 mois.
Immunosuppresseurs
La ciclosporine (Neoral, Sandimmun), utilisée depuis 1978 comme immunosuppresseur pour la prévention du rejet de greffe (organe, tissu, moelle osseuse) et dans certaines formes sévères de psoriasis ainsi que dans la dermatite atopique, entraîne une hypertrophie gingivale dans 5 à 16 % des cas ou, selon les séries, jusqu’à 70 %.6Son utilisation est en augmentation en raison du nombre de plus en plus élevé de transplantations (6 000 en France en 2016) et de l’augmentation de la durée de vie des transplantés. L’hypertrophie gingivale apparaît vers 3 mois de traitement, et son intensité est dépendante de la dose ; elle touche surtout les papilles interdentaires et secteurs antérieurs, de consistance ferme et indolore.
L’hypertrophie régresse à l’arrêt du traitement ou lors d’une diminution de la posologie quotidienne. L’hygiène buccodentaire est primordiale. L’antibiothérapie (azithromycine) peut être utile. Des gingivectomies itératives sont assez souvent nécessaires.
L’hypertrophie régresse à l’arrêt du traitement ou lors d’une diminution de la posologie quotidienne. L’hygiène buccodentaire est primordiale. L’antibiothérapie (azithromycine) peut être utile. Des gingivectomies itératives sont assez souvent nécessaires.
Inhibiteurs calciques
Les inhibiteurs calciques sont utilisés depuis une vingtaine d’années dans diverses indications cardiovasculaires, plus rarement dans l’athérosclérose, et d’autres pathologies.7 Une dizaine d’inhibiteurs calciques sont disponibles sur le marché. Trois d’entre eux peuvent induire des hypertrophies gingivales : la nifédipine (Procardia, Adalate), le diltiazem (Cardizem, etc.), le vérapamil (Isoptine, etc.) et la nicardipine (Loxen) [fig. 3 ]. L’hypertrophie gingivale observée n’a pas de particularité. Elle ne dépend pas de la dose et régresse spontanément à l’arrêt du médicament. L’association nifédipine-ciclosporine utilisée chez les transplantés rénaux n’entraîne pas d’augmentation de la fréquence de l’hypertrophie gingivale, mais une sévérité accrue.
Lire aussi | Syndrome parkinsonien dû aux médicaments
Lichen plan buccal et lésions lichénoïdes
Le lichen plan est une affection dermatologique qui peut atteindre la muqueuse buccale. Le diagnostic est habituellement fait lors d’une « poussée » d’activité lichénienne qui se traduit par une inflammation, voire des érosions ou ulcérations. De nombreux médicaments peuvent induire une réaction lichénoïde orale dont le mécanisme physiopathologique est inconnu. Il s’agit parfois de lésions apparaissant au contact de certains produits (cannelle) ou de métaux lourds de restauration dentaire (plomb, mercure, lithium, or, etc.). L’incidence des lésions lichénoïdes induites par des médicaments n’est pas connue. Elles sont cliniquement et histologiquement semblables à celles du lichen plan mais elles sont unilatérales et souvent sous forme d’ulcération. La cicatrisation de ces lésions après quelques semaines d’arrêt du traitement en cause est l’élément le plus important pour le diagnostic. Le délai d’apparition entre l’administration du médicament et l’apparition des lésions lichénoïdes peut varier de quelques semaines à 2 ou 3 mois.8
Les médicaments les plus fréquemment associés aux lésions lichénoïdes sont les antipaludéens, les hypoglycémiants oraux (tolbutamide, glipizide), les antihypertenseurs, particulièrement les bêtabloquants et les inhibiteurs de l’enzyme de conversion de l’angiotensine, les AINS, les hypolipémiants (simvastatine, clofibrate), les antirétroviraux (éfavirenz), les inhibiteurs de la tyrosine kinase (imatinib), les anti-tumor necrosis factor alpha (anti-TNF α), etc.9
Les médicaments les plus fréquemment associés aux lésions lichénoïdes sont les antipaludéens, les hypoglycémiants oraux (tolbutamide, glipizide), les antihypertenseurs, particulièrement les bêtabloquants et les inhibiteurs de l’enzyme de conversion de l’angiotensine, les AINS, les hypolipémiants (simvastatine, clofibrate), les antirétroviraux (éfavirenz), les inhibiteurs de la tyrosine kinase (imatinib), les anti-tumor necrosis factor alpha (anti-TNF α), etc.9
Lire aussi | Purpura vélo-palatin
Pemphigus, pemphigoïde, lupus érythémateux
Le pemphigus, maladie auto-immune, affecte la peau et les muqueuses. Les lésions orales sont inaugurales dans 60 % des cas. Ce sont des bulles éphémères laissant rapidement la place à une ulcération post-bulleuse.
Certains médicaments peuvent induire des lésions cliniquement et histologiquement semblables au pemphigus vulgaire, même en immunofluorescence. Ce sont les agents thiol (sulfhydryle) et les non-thiol ayant un groupe amide (pénicillamine, inhibiteurs de l’enzyme de conversion [captopril, énalapril]). Des lésions « pemphigus like » ont été également rapportées avec les AINS (diclofénac, ibuprofène et piroxicam), rifampicine, phénobarbital, phénylbutazone, propranolol, et l’héroïne.
D’autres médicaments peuvent induire des pemphigoïdes aussi bien sur la peau que sur les muqueuses. Il s’agit principalement de ceux ayant un radical thiol et de la sulfonamide. Les sujets atteints de pemphigoïde induite sont souvent plus jeunes que ceux ayant une pemphigoïde auto-immune. Les lésions cicatrisent à l’arrêt du médicament.
Les lésions orales de lupus érythémateux peuvent être semblables à celles du lichen plan buccal avec des plages érythémateuses, des érosions ou ulcérations bordées par des stries blanches kératosiques radiantes. Elles peuvent être localisées sur la muqueuse jugale ou gingivale et parfois le palais (ce qui exclut le diagnostic de lichen, rarement observé dans cette localisation). Des dizaines de médicaments peuvent induire un lupus érythémateux (hydralazine et procaïnamide principalement ; bêtabloquants, sulfonamides, isoniazide, chlorpromazine, méthyldopa, pénicillamine, quinidine, anti-TNF inhibiteurs…).
Certains médicaments peuvent induire des lésions cliniquement et histologiquement semblables au pemphigus vulgaire, même en immunofluorescence. Ce sont les agents thiol (sulfhydryle) et les non-thiol ayant un groupe amide (pénicillamine, inhibiteurs de l’enzyme de conversion [captopril, énalapril]). Des lésions « pemphigus like » ont été également rapportées avec les AINS (diclofénac, ibuprofène et piroxicam), rifampicine, phénobarbital, phénylbutazone, propranolol, et l’héroïne.
D’autres médicaments peuvent induire des pemphigoïdes aussi bien sur la peau que sur les muqueuses. Il s’agit principalement de ceux ayant un radical thiol et de la sulfonamide. Les sujets atteints de pemphigoïde induite sont souvent plus jeunes que ceux ayant une pemphigoïde auto-immune. Les lésions cicatrisent à l’arrêt du médicament.
Les lésions orales de lupus érythémateux peuvent être semblables à celles du lichen plan buccal avec des plages érythémateuses, des érosions ou ulcérations bordées par des stries blanches kératosiques radiantes. Elles peuvent être localisées sur la muqueuse jugale ou gingivale et parfois le palais (ce qui exclut le diagnostic de lichen, rarement observé dans cette localisation). Des dizaines de médicaments peuvent induire un lupus érythémateux (hydralazine et procaïnamide principalement ; bêtabloquants, sulfonamides, isoniazide, chlorpromazine, méthyldopa, pénicillamine, quinidine, anti-TNF inhibiteurs…).
Lire aussi | Testez-vous sur le risque iatrogène (item 322)
Érythème polymorphe
L’érythème polymorphe est une affection de la peau et des muqueuses. Le virus Herpes simplex a été considéré comme sa principale cause, mais cette hypothèse est actuellement démentie par les études récentes qui considèrent que les médicaments sont la principale cause d’érythème polymorphe (à côté de certains agents infectieux). Il s’agit essentiellement des AINS et des antibiotiques (sulfamides), mais la liste s’allonge régulièrement. Les critères diagnostiques sont encore discutés, ce qui ne permet pas une approche épidémiologique aisée. Il n’y a pas de différence entre hommes et femmes, et l’érythème polymorphe peut toucher aussi bien les enfants que les adultes jusqu’à l’âge de 80 ans.
La muqueuse orale est le plus souvent atteinte (de 25 à 70 % selon les séries). L’aspect clinique est variable, allant des plages érythémateuses multiples jusqu’aux ulcérations, souvent irrégulières et superficielles. Les bulles sont rarement observées. Tous les sites buccaux peuvent être atteints. Des croûtes hémorragiques sont observées au niveau des lèvres. La douleur et la gêne fonctionnelle sont importantes.
Le diagnostic différentiel est difficile, l’histologie n’étant pas spécifique. Le traitement repose sur l’identification et la suppression du médicament en cause, la prescription de topiques anesthésiques, d’antalgiques et de pansements de la muqueuse. Certains traitements ont été utilisés sans preuve réelle d’efficacité : corticoïdes locaux ou systémiques, dapsone, azathioprine, hydroxychloroquine, et mycophénolate mofétil. Dans les formes mineures, l’évolution est favorable en 4 à 6 semaines, mais des récidives sont possibles pendant plusieurs mois malgré l’arrêt du médicament en cause.
La muqueuse orale est le plus souvent atteinte (de 25 à 70 % selon les séries). L’aspect clinique est variable, allant des plages érythémateuses multiples jusqu’aux ulcérations, souvent irrégulières et superficielles. Les bulles sont rarement observées. Tous les sites buccaux peuvent être atteints. Des croûtes hémorragiques sont observées au niveau des lèvres. La douleur et la gêne fonctionnelle sont importantes.
Le diagnostic différentiel est difficile, l’histologie n’étant pas spécifique. Le traitement repose sur l’identification et la suppression du médicament en cause, la prescription de topiques anesthésiques, d’antalgiques et de pansements de la muqueuse. Certains traitements ont été utilisés sans preuve réelle d’efficacité : corticoïdes locaux ou systémiques, dapsone, azathioprine, hydroxychloroquine, et mycophénolate mofétil. Dans les formes mineures, l’évolution est favorable en 4 à 6 semaines, mais des récidives sont possibles pendant plusieurs mois malgré l’arrêt du médicament en cause.
Lire aussi | Pathologies bénignes de la muqueuse buccale
Érythème pigmenté fixe
L’érythème pigmenté fixe est une forme peu fréquente de toxidermie. Il représente la seule dermatose de cause exclusivement médicamenteuse. L’atteinte des semi-muqueuses et muqueuses est très fréquente, isolée ou associée à des lésions cutanées dans 10 % des cas. Parmi elles, les lèvres et la muqueuse buccale sont fréquemment touchées ; il peut s’y associer des lésions de topographie jugale interne, gingivale, voire linguale.
Les érythèmes pigmentés fixes sont caractérisés par une ou plusieurs plaques érythémateuses bien limitées pouvant être bulleuses qui se reproduisent au même site à la suite d’une exposition systémique à un médicament causal. L’hyperpigmentation n’est pas toujours présente.
Les antibiotiques antituberculeux sont parmi les médicaments habituellement responsables, parmi lesquels la rifampicine, moins souvent l’isoniazide et le pyrazinamide, et plus rarement encore l’éthambutol. D’autres antibiotiques (pristinamycine, clarithromycine) ont été récemment rapportés, de même que les AINS, le paracétamol, la réglisse, etc.
Les érythèmes pigmentés fixes sont caractérisés par une ou plusieurs plaques érythémateuses bien limitées pouvant être bulleuses qui se reproduisent au même site à la suite d’une exposition systémique à un médicament causal. L’hyperpigmentation n’est pas toujours présente.
Les antibiotiques antituberculeux sont parmi les médicaments habituellement responsables, parmi lesquels la rifampicine, moins souvent l’isoniazide et le pyrazinamide, et plus rarement encore l’éthambutol. D’autres antibiotiques (pristinamycine, clarithromycine) ont été récemment rapportés, de même que les AINS, le paracétamol, la réglisse, etc.
Lire aussi | Pathologies bénignes de la muqueuse buccale
Angiœdèmes
Les angiœdèmes sont des œdèmes des tissus conjonctifs cutanés ou muqueux pouvant survenir en n’importe quel endroit du corps. Au niveau de la face, de la bouche et de l’oropharynx, ils exposent à l’obstruction des voies aériennes, mettant en jeu le pronostic vital. De nombreux médicaments peuvent causer des angiœdèmes, en particulier les AINS (0,1 à 0,3 % des sujets) et certains antibiotiques pouvant entraîner une hypersensibilité à médiation IgE suivie d’une dégranulation des mastocytes.
Les inhibiteurs de l’enzyme de conversion de l’angiotensine sont également incriminés dans la survenue d’angiœdèmes (2 % des sujets), et représenteraient 30 % des cas d’angiœdèmes observés aux urgences10 surtout en cas d’association avec les gliptines, les immunosuppresseurs (inh-mTor) ou en cas de thrombolyse. La récidive des angiœdèmes est possible jusqu’à 6 mois après arrêt de l’inhibiteur de l’enzyme de conversion.
Les inhibiteurs de l’enzyme de conversion de l’angiotensine sont également incriminés dans la survenue d’angiœdèmes (2 % des sujets), et représenteraient 30 % des cas d’angiœdèmes observés aux urgences10 surtout en cas d’association avec les gliptines, les immunosuppresseurs (inh-mTor) ou en cas de thrombolyse. La récidive des angiœdèmes est possible jusqu’à 6 mois après arrêt de l’inhibiteur de l’enzyme de conversion.
Lire aussi | Pathologie de la muqueuse buccale : 10 messages clés
Candidoses
De nombreux médicaments, principalement les corticostéroïdes, les anticancéreux (chimiothérapies) et les immunosuppresseurs peuvent occasionner une baisse des défenses immunitaires avec le développement d’infections opportunistes comme les mycoses à Candida albicans. Il en est de même de certains antibiotiques (tétracyclines). Les candidoses orales ont de nombreuses manifestations cliniques, le muguet (pseudomembranes) [fig. 4], les plages érythémateuses, la perlèche, la candidose losangique médiane et certaines formes hyperkératosiques ou nodulaires.
Les corticoïdes sont prescrits en raison de leurs propriétés anti-inflammatoires et immunosuppressives dans le traitement des affections rhumatismales, les maladies du collagène et affections auto-immunes ainsi que dans l’asthme ou les allergies. Ils sont parfois utilisés en association avec d’autres immunosuppresseurs en prévention du rejet dans les greffes de moelle ou les transplantations d’organes, ce qui augmente le risque de développer une candidose orale. Les traitements de longue durée par voie orale, une sècheresse buccale, un diabète, le port de prothèses dentaires et le tabagisme favorisent également les infections candidosiques. L’administration de corticoïdes par inhalation dans l’asthme et autres maladies respiratoires favorise le passage de Candida albicans aux formes virulentes.
Les traitements anticancéreux au cours des chimiothérapies sont à haut risque de développement de candidoses oropharyngées.
Le traitement repose sur les antifongiques administrés par voie orale, amphotéricine B et dérivés azolés selon des schémas classiques. La restauration de conditions immunitaires correctes est à rechercher autant que possible. Les récidives sont fréquentes.
Les corticoïdes sont prescrits en raison de leurs propriétés anti-inflammatoires et immunosuppressives dans le traitement des affections rhumatismales, les maladies du collagène et affections auto-immunes ainsi que dans l’asthme ou les allergies. Ils sont parfois utilisés en association avec d’autres immunosuppresseurs en prévention du rejet dans les greffes de moelle ou les transplantations d’organes, ce qui augmente le risque de développer une candidose orale. Les traitements de longue durée par voie orale, une sècheresse buccale, un diabète, le port de prothèses dentaires et le tabagisme favorisent également les infections candidosiques. L’administration de corticoïdes par inhalation dans l’asthme et autres maladies respiratoires favorise le passage de Candida albicans aux formes virulentes.
Les traitements anticancéreux au cours des chimiothérapies sont à haut risque de développement de candidoses oropharyngées.
Le traitement repose sur les antifongiques administrés par voie orale, amphotéricine B et dérivés azolés selon des schémas classiques. La restauration de conditions immunitaires correctes est à rechercher autant que possible. Les récidives sont fréquentes.
Lire aussi | Que faire avant un geste chirurgical endobuccal ?
Pigmentations
De nombreuses situations physiologiques (ethniques) ou pathologiques (maladies métaboliques) peuvent être responsables de pigmentations de la muqueuse orale, en particulier des gencives. Certaines drogues (arsenic) et médicaments sont inducteurs de formation de mélanine et de sa migration vers les cellules épithéliales superficielles. D’autres forment avec la mélanine des complexes qui peuvent se déposer dans les muqueuses et la peau. Les plages de pigmentation peuvent être localisées ou diffuses ou multiples (fig. 5 ).
Les médicaments connus pour induire des pigmentations orales sont les suivants : chloroquine, hydroxychloroquine, mépacrine, quinacrine, quinine, minocycline, zidovudine (AZT), chlorpromazine, kétoconazole, bléomycine, cyclophosphamide.12 L’examen histologique d’une biopsie de muqueuse orale montre l’accroissement du nombre de mélanocytes et de mélanine dans l’épithélium ainsi que celui des mélanophages dans le tissu conjonctif sans autres anomalies.
Les médicaments connus pour induire des pigmentations orales sont les suivants : chloroquine, hydroxychloroquine, mépacrine, quinacrine, quinine, minocycline, zidovudine (AZT), chlorpromazine, kétoconazole, bléomycine, cyclophosphamide.12 L’examen histologique d’une biopsie de muqueuse orale montre l’accroissement du nombre de mélanocytes et de mélanine dans l’épithélium ainsi que celui des mélanophages dans le tissu conjonctif sans autres anomalies.
Dysgueusies
Des modifications de la perception du goût ou dysgueusies sont fréquentes, parfois en rapport avec diverses pathologies systémiques, parfois sans cause identifiable. Certains médicaments ont également été incriminés (goût métallique) : hypoglycémiants oraux (metformine), anti-microbiens (métronidazole, tétracyclines), régulateurs de l’humeur (lithium), antirhumatismaux (allopurinol), inhibiteurs de l’enzyme de conversion (énalapril), molécules utilisées en chimiothérapie comme le méthotrexate, immunosuppresseurs (corticoïdes, médicaments antirejet) et médicaments xérostomiants.
Les perturbations du goût peuvent résulter d’un effet direct du médicament ou résulter d’une complication comme les infections candidosiques dans les hyposialies. De très nombreuses sensations sont rapportées, mais le plus souvent il s’agit d’une sensation de goût métallique. Celle-ci est également observée lors du placement d’une obturation à l’amalgame ou d’une prothèse métallique.
Les perturbations du goût peuvent résulter d’un effet direct du médicament ou résulter d’une complication comme les infections candidosiques dans les hyposialies. De très nombreuses sensations sont rapportées, mais le plus souvent il s’agit d’une sensation de goût métallique. Celle-ci est également observée lors du placement d’une obturation à l’amalgame ou d’une prothèse métallique.
Syndrome de la bouche en feu
Il s’agit de sensations de brûlures buccales (burning mouth syndrome), le plus souvent de la langue, parfois seulement la pointe, d’autres fois étendues au palais et aux lèvres. Une sensation de bouche sèche peut accompagner ces brûlures, très gênantes, de rythme et de durée variables. Leur apparition suit de quelques semaines et jusqu’à un an la prise de certains médicaments dont les principaux sont : énalapril mais aussi lisinopril, candésartan, éprosartan, venlafaxine, sertaline, fluoxétine, clonazépam et éfavirenz.13 L’examen clinique de la bouche est normal, et trop souvent un diagnostic erroné de stomatodynie est porté. L’identification du médicament en cause et son remplacement permettent le plus souvent un retour à la normale.
Ostéonécrose des mâchoires
Les ostéochimionécroses des mâchoires sont une complication sévère de l’usage de certains médicaments « antirésorbeurs » tels les bisphosphonates (dont la durée de vie intra-osseuse est de plusieurs années), ou le dénosumab, des antiangiogéniques ou des molécules utilisées en thérapies ciblées et immunothérapie (sunitinib, bévacizumab, aflibercept, etc.).
Il s’agit d’une exposition de l’os maxillaire et/ou mandibulaire depuis au moins 8 semaines, après la première constatation chez un patient traité ou ayant été traité par un ou plusieurs de ces médicaments. Ce diagnostic suppose l’absence d’irradiation préalable de la région des mâchoires (ostéoradionécrose) et l’absence de métastase dans la zone concernée (une biopsie est très souvent souhaitable).
L’ostéochimionécrose des mâchoires survient spontanément ou le plus souvent après avulsion dentaire. En général, une ou plusieurs ulcérations de la muqueuse buccale laissent apparaître des zones d’os sous-jacent nécrotique et irrégulier, parfois plus ou moins mobile (séquestre osseux) [fig. 6 ]. Les radiographies standard mais surtout l’examen tomodensitométrique objectivent les lésions.
Les bisphosphonates sont utilisés dans l’ostéoporose, les métastases osseuses de certains cancers ostéophiles (sein, rein, prostate, etc.) et les pathologies osseuses déminéralisantes comme le myélome, l’ostéogenèse imparfaite, la maladie de Paget. Le bénéfice attendu, outre la reminéralisation osseuse et la prévention des fractures pathologiques, est une action sur la douleur et l’hypercalcémie maligne des cancers. Les plus souvent utilisés sont l’alendronate (Fosamax), le pamidronate (Aredia), l’ibandronate (Bonviva), le risédronate (Actonel) et le zolédronate (Aclasta, Zometa).
L’ostéonécrose de la mâchoire est plus fréquente en cas de cancer et d’administration par voie intraveineuse (de 0,8 à 12 % des cas). Son incidence dépend de la durée du traitement (au-delà de 33 mois), de la molécule utilisée, du passé buccodentaire des patients, des pathologies associées, de l’âge (> 65 ans), des traitements concomitants (chimiothérapie, etc.) et des habitudes de vie (alcool, tabac, obésité).14
Une ostéonécrose peut compliquer une avulsion dentaire dans 1,6 à 14 % des cas lorsque les bisphosphonates sont administrés par voie intraveineuse et dans 5 % des cas lorsque l’administration est orale.15
Avant l’instauration du traitement, un examen de la cavité orale et de la denture doit être réalisé. Une avulsion dentaire chez un patient sous bisphosphonates nécessite une antibiothérapie et doit être réalisée avec le minimum de traumatisme alvéolodentaire selon des protocoles précis.16
Certains antinéoplasiques et antiangiogéniques sont inducteurs d’ostéonécrose de la mâchoire : le bévacizumab (Avastin), anticorps monoclonal administré par voie intraveineuse, qui entraîne la régression des vaisseaux tumoraux et inhibe la formation de nouveaux vaisseaux, et l’aflibercept (Zaltrap) dont le mode d’action en est très proche ; le sunitinib (Sutent), inhibiteur de protéine kinase administré par voie orale ; le dénosumab (Xgeva, Prolia), anticorps monoclonal qui cible la protéine transmembranaire RANKL essentielle à la formation, la fonction et la survie des ostéoclastes (résorption osseuse) dont, contrairement aux bisphosphonates, la durée de demi-vie est de l’ordre de 30 jours.
Le traitement de l’ostéonécrose de la mâchoire repose sur le maintien d’une hygiène buccodentaire correcte, parfois des séquestrotomies/chirurgies superficielles ou, si nécessaire, une exérèse large des tissus lésés.
Il s’agit d’une exposition de l’os maxillaire et/ou mandibulaire depuis au moins 8 semaines, après la première constatation chez un patient traité ou ayant été traité par un ou plusieurs de ces médicaments. Ce diagnostic suppose l’absence d’irradiation préalable de la région des mâchoires (ostéoradionécrose) et l’absence de métastase dans la zone concernée (une biopsie est très souvent souhaitable).
L’ostéochimionécrose des mâchoires survient spontanément ou le plus souvent après avulsion dentaire. En général, une ou plusieurs ulcérations de la muqueuse buccale laissent apparaître des zones d’os sous-jacent nécrotique et irrégulier, parfois plus ou moins mobile (séquestre osseux) [
Les bisphosphonates sont utilisés dans l’ostéoporose, les métastases osseuses de certains cancers ostéophiles (sein, rein, prostate, etc.) et les pathologies osseuses déminéralisantes comme le myélome, l’ostéogenèse imparfaite, la maladie de Paget. Le bénéfice attendu, outre la reminéralisation osseuse et la prévention des fractures pathologiques, est une action sur la douleur et l’hypercalcémie maligne des cancers. Les plus souvent utilisés sont l’alendronate (Fosamax), le pamidronate (Aredia), l’ibandronate (Bonviva), le risédronate (Actonel) et le zolédronate (Aclasta, Zometa).
L’ostéonécrose de la mâchoire est plus fréquente en cas de cancer et d’administration par voie intraveineuse (de 0,8 à 12 % des cas). Son incidence dépend de la durée du traitement (au-delà de 33 mois), de la molécule utilisée, du passé buccodentaire des patients, des pathologies associées, de l’âge (> 65 ans), des traitements concomitants (chimiothérapie, etc.) et des habitudes de vie (alcool, tabac, obésité).14
Une ostéonécrose peut compliquer une avulsion dentaire dans 1,6 à 14 % des cas lorsque les bisphosphonates sont administrés par voie intraveineuse et dans 5 % des cas lorsque l’administration est orale.15
Avant l’instauration du traitement, un examen de la cavité orale et de la denture doit être réalisé. Une avulsion dentaire chez un patient sous bisphosphonates nécessite une antibiothérapie et doit être réalisée avec le minimum de traumatisme alvéolodentaire selon des protocoles précis.16
Certains antinéoplasiques et antiangiogéniques sont inducteurs d’ostéonécrose de la mâchoire : le bévacizumab (Avastin), anticorps monoclonal administré par voie intraveineuse, qui entraîne la régression des vaisseaux tumoraux et inhibe la formation de nouveaux vaisseaux, et l’aflibercept (Zaltrap) dont le mode d’action en est très proche ; le sunitinib (Sutent), inhibiteur de protéine kinase administré par voie orale ; le dénosumab (Xgeva, Prolia), anticorps monoclonal qui cible la protéine transmembranaire RANKL essentielle à la formation, la fonction et la survie des ostéoclastes (résorption osseuse) dont, contrairement aux bisphosphonates, la durée de demi-vie est de l’ordre de 30 jours.
Le traitement de l’ostéonécrose de la mâchoire repose sur le maintien d’une hygiène buccodentaire correcte, parfois des séquestrotomies/chirurgies superficielles ou, si nécessaire, une exérèse large des tissus lésés.
Lire aussi | Pathologie DEs muqueuses buccales
Dyschromies dentaires
Les dyschromies dentaires peuvent être extrinsèques, superficielles (mauvaise hygiène, café, tabac, thé, usage excessif des bains de bouche de chlorhéxidine) ou intrinsèques, dans la masse du matériau dentaire (porphyries, fluorose, tétracyclines, etc.). Les tétracyclines ont été introduites en 1948 et largement utilisées depuis. Dès le début des années 1960, il est apparu clairement que les tétracyclines étaient susceptibles d’être responsables de dyscolorations d’intensité variable de la masse dentaire avant l’âge de 12 ans. Le mécanisme demeure controversé.17 La chlortétracycline est celle qui engendre les dyschromies les plus sévères et intenses. Les dyscolorations induites par la minocycline (tétracycline semi-synthétique) peuvent régresser après éruption des dents ou à l’arrêt du traitement, tout comme les pigmentations induites par ce médicament sur la peau, les ongles, la sclérotique ou les gencives. D’autres antibiotiques ont été également incriminés dans les dyschromies dentaires : pénicillines, ciprofloxacine, amoxicilline-acide clavulanique, clarithromycine, métronidazole.
Elles ont également été rapportées avec l’énalapril, l’étidronate, le fosinopril, la pentamidine, le périndopril, la propaférone, le quinapril, le ramipril, la terbinafine, le trandolapril et le zopiclone.
Elles ont également été rapportées avec l’énalapril, l’étidronate, le fosinopril, la pentamidine, le périndopril, la propaférone, le quinapril, le ramipril, la terbinafine, le trandolapril et le zopiclone.
Conclusion
Le développement de nouveaux médicaments apporte régulièrement de nouveaux signalements d’effets indésirables et d’interactions médicamenteuses. L’iatrogénie devient omniprésente, et la bouche est le lieu d’expression de nombre d’entre elles. La sècheresse buccale est l’une des plus fréquentes, engendrant de l’inconfort et des complications telles les caries et les candidoses. Elle est souvent liée aux psychotropes dont la pertinence de prescription doit toujours être questionnée. Les hypertrophies gingivales d’origine médicamenteuse doivent bénéficier de thérapeutiques adaptées et d’une grande attention pour l’état dentaire et parodontal. La prise en charge du lichen plan buccal, des maladies bulleuses de type pemphigus ou pemphigoïde cicatricielle, de l’érythème polymorphe, de l’érythème pigmenté fixe nécessite souvent, après enquête, l’arrêt du médicament causal sans garantie de résolution rapide. L’ostéonécrose des mâchoires, le plus souvent liée aux bisphosphonates est difficile à traiter. Les dygueusies et le syndrome de la bouche en feu d’origine médicamenteuse doivent être plus souvent recherchés.
* Tumeur bénigne de la gencive, rouge et saignant facilement.
Références
1. Vaillant L. Xérostomies. In: Vaillant L, Goga D, editors. Dermatologie buccale. Paris : Doin, 1997 :177-83.
2. Boulinguez S, Cornée-Leplat I, Bouyssou-Gauthier ML, et al. Aphtes induits par les médicaments : analyse de la littérature. Ann Dermatol Venereol 2000;127:155-8.
3. Institut national de la santé et de la recherche médicale. Épilepsie – Un ensemble de maladies complexe, encore mal compris. Dossier d’information, Inserm 2018. http://bit.ly/2ocUZd3
4. Scully C, Bagan JV. Adverse drug reactions in the orofacial region. Crit Rev Oral Biol Med 2004;15:221-39.
5. Guggenheimer J. Oral manifestations of drug therapy. Dent Clin North Am 2002;46:857-68.
6. McGaw WT, Porter H. Cyclosporine-induced gingival overgrowth: an ultrastructural stereologic study. Oral Surg Oral Med Oral Pathol 1998;65:186-90.
7. Triggle DJ. Mechanisms of action of calcium channel antagonists vascular selectivities, and clinical relevance. Cleve Clin J Med 1992;59:617-27.
8. Femiano F, Lanza A, Buonaiuto C, et al. Oral manifestations of adverse drug reactions: guidelines. J Eur Acad Dermatol Venereol 2008;22:681-91.
9. Kamath VV, Setlur K, Yerlagudda K. Oral lichenoid lesions - a review and update. Indian J Dermatol 2015;60:102.
10. Zingale LC, Beltrami L, Zanichelli A, et al. Angioedema without urticaria: a large clinical survey. CMAJ 2006;175:1065-70.
11. Nosbaum A, Bouillet L, Floccard B, et al. Prise en charge des angiœdèmes induits par les inhibiteurs de l’enzyme de conversion de l’angiotensine : recommandations du centre de référence national des angiœdèmes. Rev Med Interne 2013;34:209-13.
12. Kauzman A, Pavone M, Blanas N, Bradley G. Pigmented lesions of the oral cavity: review, differential diagnosis of case presentation. J Can Dent Assoc 2004;70:682-3.
13. Friedman DI. Headache 2010;50:1383-5.
14. Otto S, Abu-Id MH, Fedele S, et al. Osteoporosis and bisphosphonates-related osteonecrosis of the jaw: not just a sporadic coincidence--a multi-centre study. J Craniomaxillofac Surg 2011;39:272-7.
15. Ruggiero SL, Dodson TB, Assael LA, et al. American Association of Oral and Maxillofacial Surgeons position paper on bisphosphonate-related osteonecrosis of the jaws – 2009 update. J Oral Maxillofac Surg 2009;67:2-12.
16. Société française de stomatologie et de chirurgie maxillofaciale et chirurgie orale. Ostéonécrose des mâchoires en chirurgie oromaxillofaciale et traitements médicamenteux à risque (antirésorpteurs osseux, antiangiogéniques). Recommandations sfscmfco 2013). www.sfscmfco.fr
17. Mortazavi H, Baharvand M, Khodadoustan A. Colors in tooth discoloration: a new classification and literature review. Int J Clin Dent 2014;7:17-27.
2. Boulinguez S, Cornée-Leplat I, Bouyssou-Gauthier ML, et al. Aphtes induits par les médicaments : analyse de la littérature. Ann Dermatol Venereol 2000;127:155-8.
3. Institut national de la santé et de la recherche médicale. Épilepsie – Un ensemble de maladies complexe, encore mal compris. Dossier d’information, Inserm 2018. http://bit.ly/2ocUZd3
4. Scully C, Bagan JV. Adverse drug reactions in the orofacial region. Crit Rev Oral Biol Med 2004;15:221-39.
5. Guggenheimer J. Oral manifestations of drug therapy. Dent Clin North Am 2002;46:857-68.
6. McGaw WT, Porter H. Cyclosporine-induced gingival overgrowth: an ultrastructural stereologic study. Oral Surg Oral Med Oral Pathol 1998;65:186-90.
7. Triggle DJ. Mechanisms of action of calcium channel antagonists vascular selectivities, and clinical relevance. Cleve Clin J Med 1992;59:617-27.
8. Femiano F, Lanza A, Buonaiuto C, et al. Oral manifestations of adverse drug reactions: guidelines. J Eur Acad Dermatol Venereol 2008;22:681-91.
9. Kamath VV, Setlur K, Yerlagudda K. Oral lichenoid lesions - a review and update. Indian J Dermatol 2015;60:102.
10. Zingale LC, Beltrami L, Zanichelli A, et al. Angioedema without urticaria: a large clinical survey. CMAJ 2006;175:1065-70.
11. Nosbaum A, Bouillet L, Floccard B, et al. Prise en charge des angiœdèmes induits par les inhibiteurs de l’enzyme de conversion de l’angiotensine : recommandations du centre de référence national des angiœdèmes. Rev Med Interne 2013;34:209-13.
12. Kauzman A, Pavone M, Blanas N, Bradley G. Pigmented lesions of the oral cavity: review, differential diagnosis of case presentation. J Can Dent Assoc 2004;70:682-3.
13. Friedman DI. Headache 2010;50:1383-5.
14. Otto S, Abu-Id MH, Fedele S, et al. Osteoporosis and bisphosphonates-related osteonecrosis of the jaw: not just a sporadic coincidence--a multi-centre study. J Craniomaxillofac Surg 2011;39:272-7.
15. Ruggiero SL, Dodson TB, Assael LA, et al. American Association of Oral and Maxillofacial Surgeons position paper on bisphosphonate-related osteonecrosis of the jaws – 2009 update. J Oral Maxillofac Surg 2009;67:2-12.
16. Société française de stomatologie et de chirurgie maxillofaciale et chirurgie orale. Ostéonécrose des mâchoires en chirurgie oromaxillofaciale et traitements médicamenteux à risque (antirésorpteurs osseux, antiangiogéniques). Recommandations sfscmfco 2013). www.sfscmfco.fr
17. Mortazavi H, Baharvand M, Khodadoustan A. Colors in tooth discoloration: a new classification and literature review. Int J Clin Dent 2014;7:17-27.
Dans cet article
- Bouche sèche
- Aphtes et ulcérations buccales
- Hypertrophie gingivale
- Lichen plan buccal et lésions lichénoïdes
- Pemphigus, pemphigoïde, lupus érythémateux
- Érythème polymorphe
- Érythème pigmenté fixe
- Angiœdèmes
- Candidoses
- Pigmentations
- Dysgueusies
- Syndrome de la bouche en feu
- Ostéonécrose des mâchoires
- Dyschromies dentaires
- Conclusion