Ulcérations buccales bénignes
Aphte banal
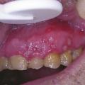
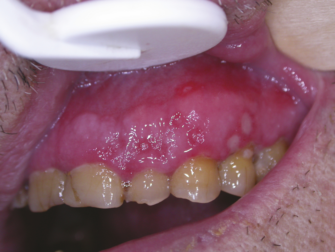
Si les aphtes banals et les traumatismes représentent les causes les plus fréquentes d’ulcérations buccales,1 leur diagnostic repose sur certaines caractéristiques cliniques et ne doit pas faire méconnaître les autres causes dominées en sévérité par le carcinome épidermoïde. L’aphte buccal est fréquent, souvent banal, ses critères diagnostiques sont précis et ce diagnostic est souvent porté par excès. C’est une ulcération le plus souvent ronde, très douloureuse, de quelques millimètres de diamètre à bords réguliers, entourée d’un halo rouge inflammatoire, son fond est jaune « beurre frais » (fig. 1 ), et il repose sur une base souple. Les aphtes siègent préférentiellement sur les muqueuses souples (lèvres, joues, langue), l’atteinte gingivale ou palatine est rare. Il guérit spontanément en une dizaine de jours. Une ulcération ne correspondant pas à cette description doit faire rediscuter le diagnostic d’aphte dans la crainte de méconnaître un diagnostic plus sévère comme un carcinome épidermoïde débutant (fig. 2 ). Un aphte « géant » est défini par un diamètre supérieur à 1 cm (fig. 3 ) ; c’est une forme sévère extrêmement douloureuse pouvant demander plusieurs semaines voire plusieurs mois pour cicatriser en l’absence de traitement. Cette forme est peu fréquente et peut être liée à une immunodépression.
Aphtose buccale
L’aphtose buccale est une maladie bénigne, dont la physiopathologie inconnue semble faire intervenir des mécanismes de l’immunité à médiation cellulaire. Elle pose parfois un problème de diagnostic différentiel ou causal, car certaines formes sont particulières, soit par leur présentation clinique, soit par leur association à des maladies systémiques qu’il faut rechercher notamment dans les aphtoses buccales récidivantes :2 maladie de Behçet, anémies par carence en vitamine B12, en folates ou en fer qui, même frustres au plan biologique, peuvent se manifester par des plages érythémateuses buccales et des ulcérations « aphtoïdes » douloureuses, souvent de petite taille et multiples. Les neutropénies, des maladies inflammatoires chroniques de l’intestin (maladie de Crohn, rectocolite hémorragique, maladie cœliaque) peuvent être révélées par des ulcérations buccales récidivantes. L’influence du tabac reste à préciser, certains patients déclenchent une aphtose buccale récidivante après le sevrage tabagique. Dans ces formes particulières, l’enquête clinique et biologique vise essentiellement à rechercher une cause dont le traitement permettra la guérison des lésions buccales. L’interrogatoire permet parfois d’incriminer un médicament responsable de l’ulcération buccale (nicorandil, inhibiteurs de m-TOR).
Quel traitement ?
Il n’existe actuellement pas de traitement curatif des aphtes. Les antiseptiques, les antalgiques topiques, les pansements gastriques (sucralfate) utilisés en bains de bouche entraînent un soulagement transitoire. Les corticoïdes topiques appliqués précocement réduisent la douleur et la durée d’évolution des petits aphtes.
Le thalidomide, seul traitement dont l’efficacité, constante mais suspensive, a été confirmée par un essai contrôlé, est indiqué pour les aphtes géants. Retiré du marché en 1962, son utilisation est limitée par ses effets indésirables dont deux sont sévères : la tératogénicité et les neuropathies périphériques. La dose de 100 mg/j entraîne une sédation rapide des douleurs, la cicatrisation laisse parfois une cicatrice rétractile. La durée du traitement n’excède pas un mois, le thalidomide n’ayant aucun effet préventif sur d’éventuelles récurrences.
Les traitements systémiques en traitement de fond pour limiter la fréquence des récidives sont inconstamment efficaces et leur effet est suspensif. La colchicine à la dose de 1 mg/j, généralement bien tolérée, a une efficacité inconstante et suspensive. Quelques essais ouverts de traitement par la pentoxifylline, effectués sur de petits échantillons, semblent confirmer une amé-lioration des aphtoses récidivantes avec, là encore, un effet suspensif, nécessitant un traitement continu. La corticothérapie systémique ne peut pas constituer un traitement de fond de l’aphtose buccale, elle expose les patients aux effets délétères d’un traitement prolongé. De nombreux autres traitements sont régulièrement rapportés dans l’aphtose récidivante (vitamine C, aciclovir, lévamisole, dapsone, sulfate de zinc, fer, vitamines B1, B6 et B12, homéopathie, acupuncture, patchs de nicotine…), aucun n’a fait l’objet d’études contrôlées.
Le thalidomide, seul traitement dont l’efficacité, constante mais suspensive, a été confirmée par un essai contrôlé, est indiqué pour les aphtes géants. Retiré du marché en 1962, son utilisation est limitée par ses effets indésirables dont deux sont sévères : la tératogénicité et les neuropathies périphériques. La dose de 100 mg/j entraîne une sédation rapide des douleurs, la cicatrisation laisse parfois une cicatrice rétractile. La durée du traitement n’excède pas un mois, le thalidomide n’ayant aucun effet préventif sur d’éventuelles récurrences.
Les traitements systémiques en traitement de fond pour limiter la fréquence des récidives sont inconstamment efficaces et leur effet est suspensif. La colchicine à la dose de 1 mg/j, généralement bien tolérée, a une efficacité inconstante et suspensive. Quelques essais ouverts de traitement par la pentoxifylline, effectués sur de petits échantillons, semblent confirmer une amé-lioration des aphtoses récidivantes avec, là encore, un effet suspensif, nécessitant un traitement continu. La corticothérapie systémique ne peut pas constituer un traitement de fond de l’aphtose buccale, elle expose les patients aux effets délétères d’un traitement prolongé. De nombreux autres traitements sont régulièrement rapportés dans l’aphtose récidivante (vitamine C, aciclovir, lévamisole, dapsone, sulfate de zinc, fer, vitamines B1, B6 et B12, homéopathie, acupuncture, patchs de nicotine…), aucun n’a fait l’objet d’études contrôlées.
Ulcération traumatique
L’ulcération traumatique est souvent unique, de taille variable, douloureuse à fond fibrineux et à bordure blanchâtre. Elle est souple, ne s’accompagne pas d’adénopathie satellite. L’agent traumatisant est souvent évident : carie, couronne dentaire défectueuse, prothèse inadaptée ou crochet blessant (fig. 4 ) ; sa suppression permet la cicatrisation en une dizaine de jours.
Lire aussi | Ulcérations de la muqueuse buccale
Stomatites infectieuses
Stomatites bactériennes
Les stomatites bactériennes sont le plus souvent d’origine dentaire, la gingivite simple due au tartre est la forme la plus commune, les languettes gingivales sont inflammatoires, puis hypertrophiées et saignent facilement, l’atteinte peut être sévère avec un tableau de gingivite ulcéro-nécrotique, puis de parodontite quand l’infection atteint le ligament parodontal puis l’os alvéolaire.
Dans la syphilis primaire, le chancre est une érosion unique ou une ulcération souvent sensible, sur la langue, les lèvres, l’amygdale ; sa base est cartonnée et il s’accompagne d’une volumineuse adénopathie sous-maxillaire. Dans la syphilis secondaire, les lésions linguales ont l’aspect de petites aires exfoliées, « plaques fauchées » pouvant simuler une langue géographique ou de grandes plages érythémateuses extrêmement contagieuses. Le diagnostic est sérologique.
La tuberculose buccale est rare, il s'agit le plus souvent d'un chancre d’inoculation chez un patient atteint d’une tuberculose pulmonaire (toux, expectorations, altération de l’état général) avec une ulcération chronique, linguale ou gingivale, douloureuse.
Dans la syphilis primaire, le chancre est une érosion unique ou une ulcération souvent sensible, sur la langue, les lèvres, l’amygdale ; sa base est cartonnée et il s’accompagne d’une volumineuse adénopathie sous-maxillaire. Dans la syphilis secondaire, les lésions linguales ont l’aspect de petites aires exfoliées, « plaques fauchées » pouvant simuler une langue géographique ou de grandes plages érythémateuses extrêmement contagieuses. Le diagnostic est sérologique.
La tuberculose buccale est rare, il s'agit le plus souvent d'un chancre d’inoculation chez un patient atteint d’une tuberculose pulmonaire (toux, expectorations, altération de l’état général) avec une ulcération chronique, linguale ou gingivale, douloureuse.
Stomatites virales
La primo-infection herpétique se traduit par une gingivostomatite aiguë survenant souvent pendant la petite enfance, mais elle n’est pas rare chez l’adolescent ou l’adulte jeune. Elle débute par de la fièvre, un malaise général, des douleurs pharyngées et gingivales ; des vésicules multiples parfois confluentes et polycycliques apparaissent sur une muqueuse érythémateuse. L’atteinte gingivale est constante (fig. 5 ) associée à des adénopathies cervicales sensibles. La guérison est spontanée en 2 à 3 semaines. L’herpès récurrent, dû à la réactivation du virus resté latent après la primo-infection, est souvent labial, classique « bouton de fièvre », précédé par une sensation de cuisson ou de prurit ; des vésicules groupées en bouquet se forment rapidement sur une zone érythémateuse, se rompent puis sèchent, formant une croûte jaunâtre. La fréquence est variable, favorisée par certains facteurs : stress, fièvre, cycles menstruels, traumatisme, exposition solaire… D’autres localisations bucco-faciales sont possibles telles que le seuil narinaire et les joues, la fréquence de la localisation intra-buccale est sous-estimée : gencives, palais (fig. 6 ). Le zona buccofacial est lié à la résurgence du virus varicelle-zona resté à l’état latent au niveau des ganglions sensitifs des nerfs crâniens (zona du nerf trijumeau) après la primo-infection varicelleuse. Il est plus fréquent chez les patients immunodéprimés. L’éruption, parfois précédée d’un syndrome infectieux modéré et de douleurs de topographie radiculaire, est vésiculeuse et intéresse le territoire d’un ou de deux troncs du nerf trijumeau. Le zona de la branche ophtalmique du trijumeau met en jeu le pronostic fonctionnel visuel.
Le virus d’Epstein-Barr (EBV) est responsable de la mononucléose infectieuse. Il reste ensuite à l’état latent dans les lymphocytes B et les cellules épithéliales de l’oropharynx et il est cofacteur du lymphome de Burkitt africain et du carcinome rhinopharyngien en Chine du Sud et en Afrique du Nord. La primo-infection, souvent inapparente, est une angine dont la guérison est spontanée en 15 à 20 jours. La leucoplasie orale chevelue est également due à l’EBV ; elle est vue essentiellement au cours de l’infection par le virus de l’immunodéficience humaine (VIH) ; elle réalise des stries kératosiques blanchâtres, indolores, disposées verticalement sur les bords latéraux de la langue.
L’Herpèsvirus humain de type 8 est impliqué dans la survenue de la maladie de Kaposi dans un contexte d’immunodépression. Elle se traduit d’abord par des plages rouge violacé (palais, gencive supérieure), indolores, planes, puis s’infiltrant progressivement pour devenir nodulaires, enfin tumorales et parfois ulcérées. Les lésions régressent avec la restauration de l’immunité.
Les virus Coxsackie sont responsables de stomatites vésiculeuses dont la guérison est spontanée. Les lésions buccales du syndrome pied-main-bouche (Coxsackie A16) sont associées à des vésicules de la pulpe des doigts et des orteils. Dans l’herpangine (Coxsackie A2-8, A10), les lésions siègent sur les piliers antérieurs des amygdales et le voile du palais, respectant les amygdales et la langue.
Les papillomavirus humains qui ont un tropisme pour les kératinocytes des épithéliums malpighiens sont responsables de tumeurs bénignes (verrues, papillomes, condylomes) ; certains d’entre eux sont oncogènes (col de l’utérus, carcinomes épidermoïdes pharyngolaryngés) ; leur implication dans la survenue de carcinomes épidermoïdes de la cavité buccale n’est pas démontrée. Les papillomes sont des élevures de quelques millimètres de diamètre, indolores à surface kératosique (fig. 7 ), des verrues digitales sont parfois à l’origine de l’auto-inoculation. Les condylomes acuminés sont rares sur la muqueuse buccale, leur transmission est sexuelle. L’évolution spontanée est variable, ils persistent ou se multiplient mais peuvent également régresser spontanément. La présence de papillomes multiples (fig. 8 ) fait rechercher une immunodépression. Le traitement repose sur la destruction des lésions (chirurgie, laser CO2) ; les récidives sont possibles.
Le virus d’Epstein-Barr (EBV) est responsable de la mononucléose infectieuse. Il reste ensuite à l’état latent dans les lymphocytes B et les cellules épithéliales de l’oropharynx et il est cofacteur du lymphome de Burkitt africain et du carcinome rhinopharyngien en Chine du Sud et en Afrique du Nord. La primo-infection, souvent inapparente, est une angine dont la guérison est spontanée en 15 à 20 jours. La leucoplasie orale chevelue est également due à l’EBV ; elle est vue essentiellement au cours de l’infection par le virus de l’immunodéficience humaine (VIH) ; elle réalise des stries kératosiques blanchâtres, indolores, disposées verticalement sur les bords latéraux de la langue.
L’Herpèsvirus humain de type 8 est impliqué dans la survenue de la maladie de Kaposi dans un contexte d’immunodépression. Elle se traduit d’abord par des plages rouge violacé (palais, gencive supérieure), indolores, planes, puis s’infiltrant progressivement pour devenir nodulaires, enfin tumorales et parfois ulcérées. Les lésions régressent avec la restauration de l’immunité.
Les virus Coxsackie sont responsables de stomatites vésiculeuses dont la guérison est spontanée. Les lésions buccales du syndrome pied-main-bouche (Coxsackie A16) sont associées à des vésicules de la pulpe des doigts et des orteils. Dans l’herpangine (Coxsackie A2-8, A10), les lésions siègent sur les piliers antérieurs des amygdales et le voile du palais, respectant les amygdales et la langue.
Les papillomavirus humains qui ont un tropisme pour les kératinocytes des épithéliums malpighiens sont responsables de tumeurs bénignes (verrues, papillomes, condylomes) ; certains d’entre eux sont oncogènes (col de l’utérus, carcinomes épidermoïdes pharyngolaryngés) ; leur implication dans la survenue de carcinomes épidermoïdes de la cavité buccale n’est pas démontrée. Les papillomes sont des élevures de quelques millimètres de diamètre, indolores à surface kératosique (
Stomatites mycosiques
Les stomatites mycosiques sont le plus souvent dues à Candida albicans, levure saprophyte du tube digestif, de la peau et des muqueuses ; l’infection est opportuniste à la faveur d’une modification du terrain entraînant un déficit immunitaire local : diabète, endocrinopathie, hémopathie maligne, infection par le VIH, déficit immunitaire transitoire ou permanent ; traitement médical (antibiothérapie, corticothérapie systémique ou locale avec les traitements inhalés) ; affection locale (sécheresse buccale, carcinome buccopharyngé, mauvais état dentaire, prothèses dentaires, tabagisme). La mycose aiguë se traduit par une efflorescence d’enduits ou de pseudo-membranes blanchâtres (joues, palais) appelée « muguet », détachables par grattage d’une muqueuse érythémateuse (fig. 9). Les signes fonctionnels sont peu intenses : sécheresse buccale, sensation de cuisson, goût métallique. La glossite losangique médiane traduit une infection chronique par Candida albicans. La lésion siège sur la partie médiane de la face dorsale de la langue, en avant du V lingual ; elle a une surface lisse, rosée ou rouge, plane ou mamelonnée, de forme grossièrement losangique à grand axe antéro- postérieur (fig. 10) avec peu de signes fonctionnels ; une lésion érythémateuse en miroir siège sur le palais. Un prélèvement pour culture mycologique est utile. Le traitement repose sur les antifongiques locaux, amphotéricine B, nystatine en suspensions buvables, miconazole en gel buccal. En cas d’inefficacité ou chez les patients immunodéprimés, un traitement systémique est instauré (fluconazole).
La perlèche (chéilite angulaire) mycosique (fig. 11) uni- ou bilatérale est localisée aux commissures labiales, qui sont érythémateuses et sèches ou alors érosives fissuraires, à la fois sur le versant cutané et sur le versant muqueux. Elle est fréquente chez le patient édenté, favorisée par la macération dans le pli commissural accentué par la perte de dimension verticale et parfois entretenue par un tic de léchage.
Le granulome moniliasique est un bourgeon d’aspect pseudo-tumoral siégeant sur la joue ou sur la langue, difficile à distinguer cliniquement d’un carcinome épidermoïde, nécessitant une biopsie pour un contrôle anatomopathologique.
La perlèche (chéilite angulaire) mycosique (fig. 11) uni- ou bilatérale est localisée aux commissures labiales, qui sont érythémateuses et sèches ou alors érosives fissuraires, à la fois sur le versant cutané et sur le versant muqueux. Elle est fréquente chez le patient édenté, favorisée par la macération dans le pli commissural accentué par la perte de dimension verticale et parfois entretenue par un tic de léchage.
Le granulome moniliasique est un bourgeon d’aspect pseudo-tumoral siégeant sur la joue ou sur la langue, difficile à distinguer cliniquement d’un carcinome épidermoïde, nécessitant une biopsie pour un contrôle anatomopathologique.
Lire aussi | Lésions blanches des muqueuses buccales
Sécheresse buccale
Le déficit salivaire peut être quantitatif et/ou qualitatif et pose toujours des problèmes de prise en charge thérapeutique. La sensation de bouche sèche ou xérostomie4 est ressentie différemment selon les patients, elle n’est pas forcément constante au cours de la journée. Présente au réveil et disparaissant au cours de la journée, elle oriente vers une respiration buccale nocturne ; survenant, au contraire, dans la journée et s’accentuant au moment des repas, elle évoque un réel déficit. Le patient ressent alors des difficultés pour parler longtemps, pour mastiquer, pour déglutir. Il ressent la nécessité de boire fréquemment de l’eau ou de sucer des bonbons, symptomatologie qu’il différencie nettement de la soif. Ses lèvres sont sèches, il tolère mal ses prothèses dentaires amovibles, il se plaint de mauvaise haleine, de dysgueusie, de brûlures buccales. L’interrogatoire doit préciser les prises médicamenteuses et la durée d’évolution de cette sécheresse. La recherche de signe associé, syndrome sec oculaire, sécheresse vaginale, douleurs articulaires… orientent vers une pathologie générale auto-immune.
Une hyposialie importante se traduit par une coloration rouge des muqueuses, sèches, vernissées, collant au miroir, une langue parfois dépapillée. La salive est rare, épaisse, voire quasi inexistante. Elle est parfois mousseuse car conservée et aérée dans la bouche par des mouvements linguaux. L’expression manuelle des glandes salivaires principales (parotides et submandibulaires) ne fait sourdre que très peu de salive aux ostiums. L’hypertrophie des glandes salivaires principales peut également s'accompagner d'une xérostomie. Parfois les signes sont moins francs, l’humidification buccale paraît satisfaisante, en contradiction avec ce que ressent le patient. Des complications peuvent être révélatrices : mycoses, polycaries rapidement évolutives et parodontopathie conduisant à une édentation précoce. Une dénutrition peut survenir, notamment chez les personnes âgées. Les conséquences psychologiques des sécheresses sévères entraînent parfois des ruptures sociales, refus de sortir, de parler longtemps, de manger à l’extérieur. Les tests diagnostiques ne sont ni sensibles ni spécifiques d’une cause. Le test au sucre, la mesure du pH intrabuccal, la scintigraphie au technétium-99m ne sont plus pratiqués. Les autres examens recherchent une cause ou le diagnostic des complications. Un contrôle ophtalmologique cherche un syndrome sec oculaire associé. Les examens biologiques sont surtout orientés en fonction du contexte vers les pathologies systémiques. L’examen histologique s’effectue sur une biopsie de glandes salivaires accessoires labiales,d’apport utile pour le diagnostic de certaines causes : syndrome de Gougerot-Sjögren, sarcoïdose, amylose. Le prélèvement est simple et peu invasif, effectué sous anesthésie locale sur le versant muqueux de la lèvre inférieure. Les hyposialies iatrogènes sont de loin les plus fréquentes, de nombreux médicaments étant responsables de 80 % des déficits salivaires : neuropsychotropes, antihypertenseurs sympathoplégiques, hypotenseurs centraux, antiarythmiques, diurétiques, anti-ulcéreux cholinergiques, antihistaminiques… La récupération après l’arrêt du traitement n’est pas constante et peut être longue. La radiothérapie cervico-faciale utilisée dans le traitement des cancers des voies aérodigestives supérieures provoque une nécrose glandulaire et une xérostomie durable. Parfois aucune cause n’est retrouvée, soulevant l’hypothèse de la sénescence glandulaire, diagnostic d’élimination.
Le déficit salivaire du sujet âgé, plus fréquent chez les femmes, peut être aggravé par une limitation des apports hydriques due à une perte de la sensation de soif, ou volontairement en raison de fuites urinaires. Le traitement causal est difficile, les mesures préventives visent à éviter les complications : hygiène buccodentaire rigoureuse, utilisation de pâtes dentifrices ou de gels fluorés qui limitent le risque de carie, nettoyage soigneux des prothèses mobiles, régime alimentaire équilibré et non cariogènes ; il convient d'éviter les bains de bouche antiseptiques irritants ainsi que les aliments épicés, acides. Alcool, tabac, café, thé en grandes quantités accentuent la sécheresse. L’hydra-tation doit être suffisante (1,5 L/j), des « petits moyens » peuvent stimuler la salivation : gommes à mâcher, bonbons acidulés, eau gazeuse, noyaux de fruits (stimulation mécanique), ne pas surchauffer les logements, placer des saturateurs d’eau sur les radiateurs ou humidificateurs d’atmosphère. Les traitements de stimulation salivaire, s’il persiste du tissu fonctionnel, sont des sialagogues à base de pilocarpine : teinture mère de jaborandi, gélules de pilocarpine (Salagen) dans les xérostomies postradiques. L’anétholtrithione (Sulfarlem S 25 mg) largement prescrit n’a pas fait la preuve de son efficacité. Les traitements substitutifs sont des salives artificielles (en gel ou en spray), elles améliorent le confort buccal mais transitoirement et leurs résultats sont insuffisants.
Une hyposialie importante se traduit par une coloration rouge des muqueuses, sèches, vernissées, collant au miroir, une langue parfois dépapillée. La salive est rare, épaisse, voire quasi inexistante. Elle est parfois mousseuse car conservée et aérée dans la bouche par des mouvements linguaux. L’expression manuelle des glandes salivaires principales (parotides et submandibulaires) ne fait sourdre que très peu de salive aux ostiums. L’hypertrophie des glandes salivaires principales peut également s'accompagner d'une xérostomie. Parfois les signes sont moins francs, l’humidification buccale paraît satisfaisante, en contradiction avec ce que ressent le patient. Des complications peuvent être révélatrices : mycoses, polycaries rapidement évolutives et parodontopathie conduisant à une édentation précoce. Une dénutrition peut survenir, notamment chez les personnes âgées. Les conséquences psychologiques des sécheresses sévères entraînent parfois des ruptures sociales, refus de sortir, de parler longtemps, de manger à l’extérieur. Les tests diagnostiques ne sont ni sensibles ni spécifiques d’une cause. Le test au sucre, la mesure du pH intrabuccal, la scintigraphie au technétium-99m ne sont plus pratiqués. Les autres examens recherchent une cause ou le diagnostic des complications. Un contrôle ophtalmologique cherche un syndrome sec oculaire associé. Les examens biologiques sont surtout orientés en fonction du contexte vers les pathologies systémiques. L’examen histologique s’effectue sur une biopsie de glandes salivaires accessoires labiales,d’apport utile pour le diagnostic de certaines causes : syndrome de Gougerot-Sjögren, sarcoïdose, amylose. Le prélèvement est simple et peu invasif, effectué sous anesthésie locale sur le versant muqueux de la lèvre inférieure. Les hyposialies iatrogènes sont de loin les plus fréquentes, de nombreux médicaments étant responsables de 80 % des déficits salivaires : neuropsychotropes, antihypertenseurs sympathoplégiques, hypotenseurs centraux, antiarythmiques, diurétiques, anti-ulcéreux cholinergiques, antihistaminiques… La récupération après l’arrêt du traitement n’est pas constante et peut être longue. La radiothérapie cervico-faciale utilisée dans le traitement des cancers des voies aérodigestives supérieures provoque une nécrose glandulaire et une xérostomie durable. Parfois aucune cause n’est retrouvée, soulevant l’hypothèse de la sénescence glandulaire, diagnostic d’élimination.
Le déficit salivaire du sujet âgé, plus fréquent chez les femmes, peut être aggravé par une limitation des apports hydriques due à une perte de la sensation de soif, ou volontairement en raison de fuites urinaires. Le traitement causal est difficile, les mesures préventives visent à éviter les complications : hygiène buccodentaire rigoureuse, utilisation de pâtes dentifrices ou de gels fluorés qui limitent le risque de carie, nettoyage soigneux des prothèses mobiles, régime alimentaire équilibré et non cariogènes ; il convient d'éviter les bains de bouche antiseptiques irritants ainsi que les aliments épicés, acides. Alcool, tabac, café, thé en grandes quantités accentuent la sécheresse. L’hydra-tation doit être suffisante (1,5 L/j), des « petits moyens » peuvent stimuler la salivation : gommes à mâcher, bonbons acidulés, eau gazeuse, noyaux de fruits (stimulation mécanique), ne pas surchauffer les logements, placer des saturateurs d’eau sur les radiateurs ou humidificateurs d’atmosphère. Les traitements de stimulation salivaire, s’il persiste du tissu fonctionnel, sont des sialagogues à base de pilocarpine : teinture mère de jaborandi, gélules de pilocarpine (Salagen) dans les xérostomies postradiques. L’anétholtrithione (Sulfarlem S 25 mg) largement prescrit n’a pas fait la preuve de son efficacité. Les traitements substitutifs sont des salives artificielles (en gel ou en spray), elles améliorent le confort buccal mais transitoirement et leurs résultats sont insuffisants.
Lire aussi | Syndrome de Gougerot-Sjögren
Glossodynies
Certains patients consultent pour des douleurs linguales ou de la cavité buccale alors que l’examen stomatologique est normal. Le diagnostic de glossodynie, stomatodynie ou de dysesthésies buccales psychogènes5 est alors retenu s’appuyant sur des arguments d’interrogatoire : la douleur, de la simple gêne à la brûlure insupportable, siège surtout sur la pointe et les bords de la langue. Elle débute dès le matin après le petit déjeuner, augmente progressivement au cours de la journée, disparaît totalement au cours des repas ; elle est maximale en fin de journée et disparaît pendant le sommeil. Cette symptomatologie très stéréotypée se reproduit, selon les jours ou les activités, avec quelquefois des périodes de rémission. L’hypothèse serait celle d’une atteinte des petites fibres sensitives buccales. Le traitement des glossodynies est difficile, relevant à la fois d’une prise en charge psychologique et stomatologique.
Lire aussi | Purpura vélo-palatin
INTERROGATOIRE ET EXAMEN SONT ESSENTIELS
Quel que soit le motif de la consultation, le plus souvent une douleur ou la découverte fortuite d’une lésion, la démarche diagnostique ne déroge pas aux règles d’un examen clinique médical. L’interrogatoire est essentiel et complété par un examen complet de la cavité orale ; l’analyse des lésions élémentaires oriente souvent rapidement vers des hypothèses diagnostiques devant être confirmées dans certains cas par des examens complémentaires orientés.
Références
1. Lehman JS, Rogers RS. Acute oral ulcers. Clin Dermatol 2016;34:470-4.
2. Saikaly SK, Saikaly TS, Saikaly LE. Recurrent aphthous ulceration: a review of potential causes and novel treatments. J Dermatolog Treat 2018:29:542-5.
3. Lewis MAO, William DW. Diagnosis and management of oral candidosis. Br Dent j 2017;223:675-81.
4. Millsop JW, Wang EA, Fazel N. Etiology, evaluation, and management of xerostomia. Clin Dermatol 2017;35:468-76.
5. Feller L, Fourie J, Bouckaert M, et al. Burning mouth syndrome: aetiopathogenesis and principles of management. PainRes Manag 2017;2017: 1926269.
2. Saikaly SK, Saikaly TS, Saikaly LE. Recurrent aphthous ulceration: a review of potential causes and novel treatments. J Dermatolog Treat 2018:29:542-5.
3. Lewis MAO, William DW. Diagnosis and management of oral candidosis. Br Dent j 2017;223:675-81.
4. Millsop JW, Wang EA, Fazel N. Etiology, evaluation, and management of xerostomia. Clin Dermatol 2017;35:468-76.
5. Feller L, Fourie J, Bouckaert M, et al. Burning mouth syndrome: aetiopathogenesis and principles of management. PainRes Manag 2017;2017: 1926269.