Recherche avancée

Précisez votre recherche

Par mots
Par parution

Affinez votre recherche en cliquant sur les rubriques (articles, dossiers, tests...)

Displaying 1 - 25 of 42

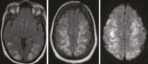
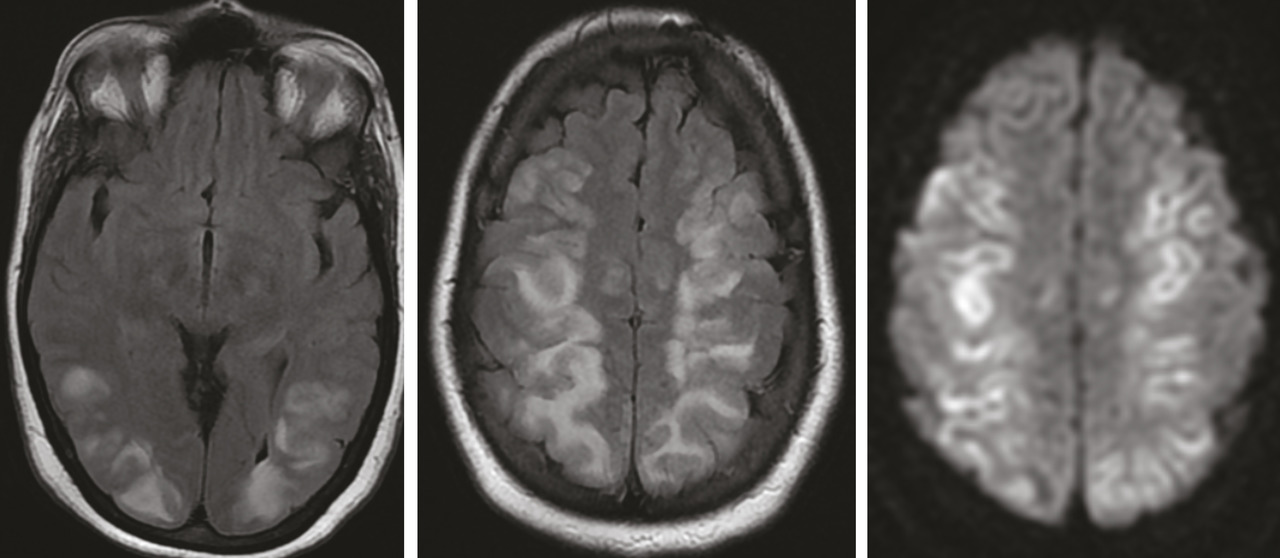
Encéphalopathie postérieure réversible

Siham Nasri, Mohammed Joudar
Cette femme de 36 ans avait une hypertension artérielle à 200/100 mmHg et une monoparésie du membre supérieur gauche post-critique, dans le cadre d’une toxémie gravidique. Une IRM encéphalique mettait en évidence des anomalies de signal cortico-sous-corticales et profondes, bilatérales et...
ENCEPHALOPATHIES
Article de revue
La Revue du Praticien
69(7):762

Microbiote intestinal : quels tests en pratique ?

Harry Sokol
De nombreuses études publiées ces dernières années suggèrent que le microbiote intestinal pourrait servir de biomarqueur diagnostique, pronostique ou thérapeutique dans de nombreuses pathologies. Néanmoins, ces études sont, pour la grande majorité, de petite taille et construites dans un objectif de...
MICROBIOME GASTRO-INTESTINAL
Article de revue
La Revue du Praticien
69(7):783
promo

Reconstruction mammaire après mastectomie : aspects actuels

Laure Delmond, Philippe Rouanet
La reconstruction mammaire permet d’améliorer la qualité de vie des patientes grâce à une restauration du schéma corporel et de la confiance en soi.
MASTECTOMIE
PLASTIE MAMMAIRE
TUMEURS DU SEIN
Article de revue
La Revue du Praticien
69(7):703-7
Aide à la décision
La Revue du Praticien
69(7):e239-247

Marqueurs cliniques du risque de malignité en présence d’un nodule thyroïdien

LADSOUS Miriam
GOITRE NODULAIRE
TUMEURS DE LA THYROIDE
Aide à la décision
La Revue du Praticien
69(7):e229-238

Caractéristiques biologiques des pleurésies parapneumoniques (PP)

FARTOUKH Muriel
INFECTIONS DE L'APPAREIL RESPIRATOIRE
Aide à la décision
La Revue du Praticien
69(7):e239-247
La crise du Levothyrox

Réponse aux auteurs de la réaction « Un cas d’école de méprise éditoriale »

Catherine Noël
La crise du Levothyrox
INDUSTRIE PHARMACEUTIQUE
THYROXINE
Article de revue
La Revue du Praticien
69(7):721-7

Rôle et prise en compte du microbiote intestinal dans d’autres indications

Joël Doré
Si le rôle du microbiote intestinal a été documenté de façon pionnière dans les maladies inflammatoires chroniques de l’intestin (MICI), il a été recherché par la suite dans un très grand nombre de conditions qui, à l’instar des MICI, ont une incidence qui ne cesse de croître, incontrôlée depuis...
MICROBIOME GASTRO-INTESTINAL
Article de revue
La Revue du Praticien
69(7):800-3

Microbiote intestinal : 10 messages « vrai/faux »

Harry Sokol
1 Le microbiome (ensemble des gènes du microbiote) représente une diversité estimée à environ 100 à 150 fois le génome humain : VRAI !
2 La composition du microbiote intestinal ne commence à être connu que depuis une vingtaine d’années : VRAI !
C’est l’avènement de la biologie moléculaire au début...
MICROBIOME GASTRO-INTESTINAL
Article de revue
La Revue du Praticien
69(7):804

Probiotiques disponibles en France avec études cliniques positives

MARTEAU Philippe
MICROBIOME GASTRO-INTESTINAL
PROBIOTIQUES
Aide à la décision
La Revue du Praticien
69(7):794-5

Facteurs de risque d’infection à Clostridioides difficile

BARBUT Frédéric
CLOSTRIDIUM
MICROBIOME GASTRO-INTESTINAL
Aide à la décision
La Revue du Praticien
69(7):784-90

Transplantation fécale

Caroline Trang-Poisson
Les premiers cas de transplantation fécale décrits remontent au IVe siècle après J.-C. et concernaient des soldats chinois ayant des symptômes digestifs sur les champs de bataille, alors améliorés par la prise empirique d’échantillons de selles de collègues bien portants. Il faut ensuite attendre...
TRANSPLANTATION DE MICROBIOTE FECAL
Article de revue
La Revue du Praticien
69(7):792-3

Santé des migrants en Europe : au-delà de la santé publique, un enjeu éthique et politique ?

Marc Gentilini*
« Tout homme a le droit de partir. C’est son pays qui doit le persuader de rester. »Amin Maalouf
Les migrations ne feront que croître. Quelle position adopter, conforme à nos valeurs ?
POPULATION DE PASSAGE ET MIGRANTS
Article de revue
La Revue du Praticien
69(7):715-9
La crise du Levothyrox

Un cas d’école de « méprise » éditoriale

Xavier Bertagna, Philippe Bouchard, André Grimaldi, Jean-Louis Wémeau, Jacques Young (endocrinologues)
La crise du Levothyrox
INDUSTRIE PHARMACEUTIQUE
THYROXINE
Article de revue
La Revue du Praticien
69(7):721-7

Antibiothérapie probabiliste des pneumonies aiguës communautaires de l’adulte

FARTOUKH Muriel
INFECTIONS DE L'APPAREIL RESPIRATOIRE
Aide à la décision
La Revue du Praticien
69(7):e239-247

Signes de gravité de la bronchiolite aiguë de l’enfant

FARTOUKH Muriel
ENFANT
INFECTIONS DE L'APPAREIL RESPIRATOIRE
Aide à la décision
La Revue du Praticien
69(7):e248-249

La jeune femme autiste : la reconnaître pour l’aider à prendre soin d’elle-même

Emmanuelle Houy-Durand

Les études épidémiologiques des troubles du spectre de l’autisme s’accordent toutes historiquement pour décrire un sex-ratio déséquilibré de ces troubles en défaveur des garçons. Le sex-ratio de 4 garçons atteints pour 1 fille reste admis mais récemment soumis à discussion. Il pourrait en effet s...

TROUBLE DU SPECTRE AUTISTIQUE
Article de revue
La Revue du Praticien
69(7):755-7

La surprenante disparition du choléra en Haïti

Renaud Piarroux*, ** Stanislas Rebaudet*, ***
Après l’analyse que nous avions consacrée en mai à l’ouvrage de Renaud Piarroux Choléra. Haïti 2010-2018 : histoire d’un désastre (Deleuze J. Le choléra en Haïti ou la faillite de l’ONU.
CHOLERA
EPIDEMIE
HAITI
Article de revue
La Revue du Praticien
69(7):763-5

L’autisme, un trouble du neurodéveloppement

Catherine Barthélémy
À l’heure où se concrétisent, dans notre pays, les premières mesures du 4e Plan national intitulé Stratégie autisme au sein des troubles du neurodéveloppement, certains termes qui définissent actuellement ce syndrome sont à replacer dans le contexte de nos pratiques médicales de diagnostic, de soins...
TROUBLE DU SPECTRE AUTISTIQUE
TROUBLES DU DEVELOPPEMENT NEUROLOGIQUE
Article de revue
La Revue du Praticien
69(7):738-42
La crise du Levothyrox

Le mépris des faits (comment réécrire l’histoire Levothyrox…)

Patrice Rodien*, Rachel Reynaud**
La crise du Levothyrox
INDUSTRIE PHARMACEUTIQUE
THYROXINE
Article de revue
La Revue du Praticien
69(7):721-7

Autisme : 10 messages clés

Catherine Barthélémy
1 L’autisme n’est pas un syndrome rare. Une personne sur 100 est atteinte, ce qui signifie 700 000 personnes en France, 7 500 nouveau-nés par an.
2 L’autisme est un trouble du neurodéveloppement qui apparaît dans les premiers semestres de vie et qui n’est pas dû à une mauvaise relation mère-bébé mais...
TROUBLE DU SPECTRE AUTISTIQUE
Article de revue
La Revue du Praticien
69(7):758

Comment et pourquoi faire le diagnostic d’autisme ?

Laura Ponson*, Adrien Gateau*, Joëlle Malvy*, **
L’année 2018 a été très particulière pour les troubles du spectre de l’autisme (TSA), avec la parution des recommandations de la Haute Autorité de santé1 (HAS) sur les signes d’alerte, repérage, diagnostic et évaluation chez l’enfant et l’adolescent en février et de la Stratégie nationale pour l...
DIAGNOSTIC
TROUBLE DU SPECTRE AUTISTIQUE
Article de revue
La Revue du Praticien
69(7):743-7

Prise en charge de l’enfant autiste

Frédérique Bonnet-Brilhault
La prise en charge des enfants autistes a particulièrement évolué ces dernières années. Grâce aux progrès réalisés dans le domaine des neurosciences mais également des sciences éducatives, la compréhension et l’approche des troubles neuro- développementaux se sont profondément transformées. Au-delà...
PRISE EN CHARGE DU PATIENT
TROUBLE DU SPECTRE AUTISTIQUE
Article de revue
La Revue du Praticien
69(7):748-51

Principales causes d’hyperéosinophilie

ACKERMANN Félix
SYNDROME HYPEREOSINOPHILIQUE
Aide à la décision
La Revue du Praticien
69(7):767-73

Syndromes hyperéosinophiliques

Matthieu Groh*, ** Guillaume Lefèvre*, # Félix Ackermann*, ** Nicolas Étienne*,# Jean-Emmanuel Kahn*, ##
Devant une hyperéosinophilie sanguine, la démarche du clinicien est double : évaluer son retentissement sur les organes, et déterminer sa cause ; mais 50 % des syndromes hyperéosinophiliques restent d’origine indéterminée.
SYNDROME HYPEREOSINOPHILIQUE
Article de revue
La Revue du Praticien
69(7):767-73