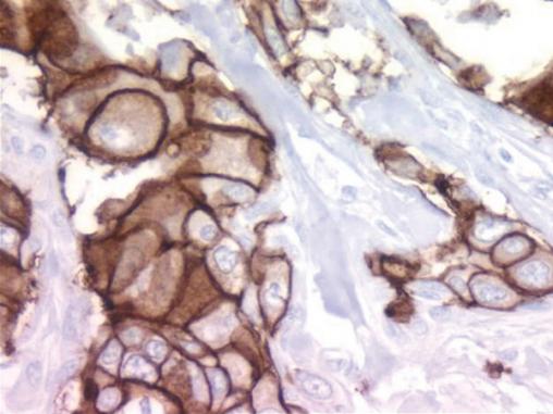
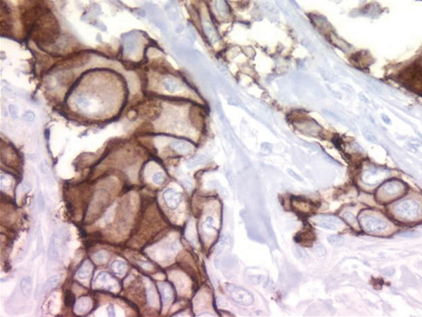
©Frédérique Penault-Llorca - La Revue du Praticien Marquage membranaire complet, intensité forte, 3+.